Презентация, доклад Лекции Пневмонии Профессиональный модуль 01. Диагностическая деятельность по специальности среднего профессионального образования 060101 Лечебное дело углубленной подготовки.

Содержание

Содержание лекции:Пневмонии. Определение, этиология, патогенез, классификация, клиника, современные методы диагностики.

Слайд 1Диагностика внутренних болезней

Тема 2.2 Пневмонии. Гнойные заболевания легких. Плевриты, рак легкого.

Аллергические заболевания.
Диагностика внутренних болезнейТема 2.2 Пневмонии. Гнойные заболевания легких. Плевриты, рак легкого. Аллергические заболевания.

Слайд 2Содержание лекции:
Пневмонии. Определение, этиология, патогенез, классификация, клиника, современные методы диагностики.

Содержание лекции:Пневмонии. Определение, этиология, патогенез, классификация, клиника, современные методы диагностики.

Слайд 3ПНЕВМОНИИ.
Пневмония - острый неспецифический инфекционно - воспалительный процесс с поражением

нижних дыхательных путей, диагностическим критерием которого является синдром воспалительной инфильтрации легочной ткани, сопровождающееся симптомами инфекции нижних дыхательных путей (лихорадка, кашель, выделение мокроты, возможно гнойной, боли в груди, одышка) и верифицированный рентгеновскими методами.
ПНЕВМОНИИ. Пневмония - острый неспецифический инфекционно - воспалительный процесс с поражением нижних дыхательных путей, диагностическим критерием которого

Слайд 4МКБ - 10
J13   Пневмония , вызванная Streptococcus pneumoniae 
J14   Пневмония , вызванная Haemophilus influenzae 
J15 

Бактериальная пневмония , не классифицированная в других рубриках (исключены пневмония , вызванная Chlamydia spp., — J16.0 и «болезнь легионеров» — А48.1) 
J15.0   Пневмония , вызванная Klebsiella pneumoniae 
J15.1   Пневмония , вызванная Pseudomonas spp. 
J15.2   Пневмония , вызванная Staphylococcus spp. 
J15.3   Пневмония , вызванная стрептококками группы В 
J15.4   Пневмония , вызванная другими стрептококками 
J15.5   Пневмония , вызванная Escherichia coli 
J15.6  Пневмония , вызванная другими аэробными грамотрицательными бактериями 
J15.7   Пневмония , вызванная Mycoplasma pneumoniae 
J15.8  Другие бактериальные пневмонии 
J15.9  Бактериальная пневмония неуточнённой этиологии 
J16   Пневмония , вызванная возбудителями, не классифицированными в других рубриках (исключены орнитоз — А70, пневмоцистная пневмония;— В59) 
J16.0   Пневмония , вызванная Chlamydia spp. 
J16.8   Пневмония , вызванная другими установленными возбудителями 
J17*   Пневмония при заболеваниях, классифицированных в других рубриках 
J17.0*   Пневмония при заболеваниях бактериальной природы, классифицированных в других рубриках: пневмония при актиномикозе (А42.0), сибирской язве (А22.1), гонорее (А54.8), нокардиозе (А43.0), сальмонеллёзе (А02.2), туляремии (А21.2), брюшном тифе (A01.0), коклюше (А37) 
J17.1*   Пневмония при вирусных заболеваниях, классифицированных в других рубриках: пневмония при цитомегаловирусной болезни (В25.0), кори (В05.2), краснухе (В06.8), ветряной оспе (В01.2) 
J17.2*   Пневмония при микозах 
J17.3*   Пневмония при паразитозах 
J17.8*   Пневмония при заболеваниях, классифицированных в других рубриках: пневмония при орнитозе (А70), ку-лихорадке (А78), острой ревматической лихорадке (I00), спирохетозе (А69.8) 
J18  Пневмония без уточнения возбудителя 

* Указаны пневмонии при заболеваниях, классифицированных в других рубриках.

МКБ - 10J13   Пневмония , вызванная Streptococcus pneumoniae J14   Пневмония , вызванная Haemophilus influenzae J15  Бактериальная пневмония , не классифицированная в других

Слайд 5ЭПИДЕМИОЛОГИЯ
Заболеваемость внебольничной пневмонией у лиц молодого и среднего возраста варьирует в

пределах 0.1-1,16%, а в старших возрастных группах (65 лет и более) –в пределах 2.5-4.4%.
У лиц молодого возраста без сопутствующих заболеваний отмечают наименьшую летальность при внебольничной пневмонии (1-3%).
У пациентов старших возрастных групп при наличии сопутствующих заболеваний (ХОБЛ, злокачественные новообразования, алкоголизм, сахарный диабет, заболевания почек и печени, сердечно-сосудистые заболевания и другие болезни), а также в случаях тяжелого течения пневмонии этот показатель достигает 15-30%.
Пневмония занимает 4 место в структуре летальности.
ЭПИДЕМИОЛОГИЯЗаболеваемость внебольничной пневмонией у лиц молодого и среднего возраста варьирует в пределах 0.1-1,16%, а в старших возрастных

Слайд 6ЭТИОЛОГИЯ
Типичными бактериальными возбудителями внебольничных пневмоний являются:
пневмококк (30% и более),
гемофильная палочка

(чаще у курильщиков, в 5-18% слу­чаев),
Атипичными возбудителями внебольничных пневмоний являются:
микоплазма (чаще у лиц моложе 35 лет)
хламидия,
легионелла.
При госпитальных пневмониях ведущую роль играют следующие патогены:
клебсиелла или палочка Фридлендера;
синегнойная палочка;
стафилококк.
Для пневмонии у лиц с тяжелыми иммунологически­ми нарушениями характерно:
цитомегаловирусная инфекция,
пневмоциста (род грибов-аскомицетов),
патогенные грибы (аспергиллюс, криптококк).
 
Способствующий фактор— переохлаждение.

ЭТИОЛОГИЯТипичными бактериальными возбудителями внебольничных пневмоний являются:пневмококк (30% и более), гемофильная палочка (чаще у курильщиков, в 5-18% слу­чаев),

Слайд 7ПАТОГЕНЕЗ
Классическое описание патологоанатомической картины крупозной пневмонии включает следующие этапы:
1. Стадия прилива.
Характеризуется

гиперемией легочной ткани, нарушением проходимости капилляров с нарастанием воспалительного отека. В отечной жидкости определяется большое количество микроорганизмов. Эта стадия длится от 12 часов до 3 суток.
2. Стадия красного опеченения.
Вследствие диапедеза эритроцитов и выпота белков плазмы (фибриноген) в альвеолы и мелкие бронхи пораженный участок становится безвоздушным, плотным, красного цвета, с характерной зернистостью на разрезе. Продолжительность этой стадии от 1 до 3 суток.
3. Стадия серого опеченения.
Происходит заполнение альвеол большим количеством нейтрофилов (эритроциты встречаются редко, вследствие чего легкое на разрезе имеет серовато-желтый цвет), сохраняется выраженная зернистость. При микроскопическом исследовании обнаруживаются нейтрофилы с фагоцитированными пневмококками. Продолжительность стадии от 2 до 6 суток.
4. Стадия разрешения.
Характеризуется постепенным растворением фибрина, происходит слущивание альвеолярного эпителия, заполнение альвеол макрофагами, которые фагоцитируют нейтрофилы, содержащие пневмококки. Зернистость постепенно исчезает. Продолжительность этой стадии зависит от распространенности процесса, проводимой терапии, вирулентности возбудителя и других причин.

ПАТОГЕНЕЗКлассическое описание патологоанатомической картины крупозной пневмонии включает следующие этапы:1. Стадия прилива.Характеризуется гиперемией легочной ткани, нарушением проходимости капилляров

Слайд 8КЛАССИФИКАЦИЯ ПНЕВМОНИИ
1. Этиологические группы пневмоний:
Бактериальная (пневмококковая, стафилококковая, стрептококковая, вызванная протеем, синегнойной

или кишечной палочкой);
Вирусная (гриппозная, аденовирусная, парагриппозная, вызванная синцитиально-респираторным вирусом);
Микоплазменная или риккетсиозная;
Обусловленная химическими или физическими факторами;
Смешанная;
Неуточненной этиологии.
2. Варианты пневмоний в зависимости от эпидемиологических условий возникновения:
Внегоспитальная (внебольничная, домашняя) пневмония — приобретенная вне лечебного учреждения.
Госпитальная (внутрибольничная) пневмония, которая характеризуется появлением нового легочного инфильтрата, спустя 48—72 часа после госпитализации в стационар.
Аспирационная пневмония.
Пневмония у лиц с тяжелыми дефектами иммунитета (врожденный иммунодефицит, ВИЧ-инфекция).
3. Локализация и протяженность пневмонии.
Односторонняя (тотальная, долевая, сегментарная).
Двусторонняя.
4. Степень тяжести пневмонии.
Легкое течение
Средней тяжести.
Тяжелая.

КЛАССИФИКАЦИЯ ПНЕВМОНИИ1. Этиологические группы пневмоний:Бактериальная (пневмококковая, стафилококковая, стрептококковая, вызванная протеем, синегнойной или кишечной палочкой);Вирусная (гриппозная, аденовирусная, парагриппозная,

Слайд 9КЛАССИФИКАЦИЯ ПНЕВМОНИИ (продолжение)
5. Осложнения.
Легочные (плеврит, абсцесс, гангре­на легких, острая дыхательная недостаточность).


Внелегочные (острое легочное сердце, инфекционно-токсический шок, миокардит, психозы, острый гломерулонефрит, ДВС- синдром и др.).
6. Фаза заболевания:
разгар,
разрешение,
реконвалесценция,
четырехнедельное и более затяжное течение. (в сроки до 4 недель не происходит полного разрешения пневмонии).
 
Первичная острая пневмония - самостоятельный острый воспалительный процесс преимущественно инфекционной этиологии.
Вторичные острая пневмония возникают как осложнение других болезней:
болезни сердечно-сосудистой системы с нарушением кровообращения в малом круге кровообращения,
хронические болезни почек,
системы крови, обмена веществ,
инфекционные болезни и пр.
на фоне хронических заболеваний органов дыхания: опухоль, бронхоэктазы и пр.
 
Затяжная пневмония — это пневмония, при которой разрешение патологического процесса не происходит в соки до четырех недель.

КЛАССИФИКАЦИЯ ПНЕВМОНИИ (продолжение)5. Осложнения.Легочные (плеврит, абсцесс, гангре­на легких, острая дыхательная недостаточность). Внелегочные (острое легочное сердце, инфекционно-токсический шок,

Слайд 10КЛИНИЧЕСКАЯ КАРТИНА
КРУПОЗНАЯ ПНЕВМОНИЯ начинается внезапно, часто с озноба, иногда потрясающего, головной

боли и боли в грудной клетке на стороне поражения, усиливающейся при дыхании и кашле. Боли в грудной клетке могут быть настолько сильными, что больной задерживает дыхание и подавляет кашель. При локализации пневмонии в нижней доле и при вовлечении в процесс диафрагмальной плевры боли могут иррадировать в брюшную полость, симулируя картину «острого живота» (аппендицит, холецистит, почечная и печеночная колика).
Больных беспокоят также одышка, сухой кашель, чувство разбитости, повышение температуры до 39-40 °С (постоянного типа лихорадка). Больной крупозной пневмонией часто возбужден, у него нарушен сон, нередко имеется тошнота и рвота. В ряде случаев на фоне нарастающей интоксикации возникает картина острого психоза.
 
Осмотр выявляет резкую одышку в покое, умеренный или резко выраженный цианоз лица. Характерно участие крыльев носа в дыхании, а при осмотре грудной клетки — отставание дыхательной подвижности той стороны, где имеется пневмония.
Перкуссия грудной клетки: в первый день могут быть нечеткие данные — выявляется укорочение перкуторного звука.
Аускультация: в области укорочения перкуторного звука выслушивается так называемая начальная крепитация, ослабление дыхания над зоной поражения.
КЛИНИЧЕСКАЯ КАРТИНАКРУПОЗНАЯ ПНЕВМОНИЯ начинается внезапно, часто с озноба, иногда потрясающего, головной боли и боли в грудной клетке

Слайд 11КЛИНИЧЕСКАЯ КАРТИНА (продолжение)
На 3—4-й день картина болезни несколько меняется. Больной жалуется

на головную боль, разбитость, слабость, кашель становится влажным, отделяется мокрота, которая имеет характерные признаки. Она скудная, очень вязкая, прилипает к посуде, в которую ее собирают (из-за примеси значительных количеств фибрина); цвет мокроты бурый, «ржавый» (из-за наличия эритроцитов). Одышка (до 40 в 1 мин), боли в боку держатся, могут нарастать. На губах, крыльях носа появляются герпетические высыпания.
Перкуторно отмечается притупление (позже — тупость), соответствующее целой доле или долям.
Аускулътативно над местом тупости бронхиальное дыхание, может выслушиваться шум трения плевры (признак перехода воспалительного процесса с ткани легкого на плевру).
Голосовое дрожание и бронхофония усилены, держится цианоз. Температура (лихорадка постоянного типа) держится 5 -7 дней, общее состояние пациента тяжелое или средней тяжести, беспокоит бессонница.
Отмечаются изменения со стороны ряда других органов и систем. При тяжелом течении заболевания могут наблюдаться снижение артериального давления, тахикардия, нарушения сердечного ритма. У пожилых или при наличии сопутствующих сердечно-сосудистых заболеваний могут развиваться или усугубляться явления сердечной и коронарной недостаточности.

КЛИНИЧЕСКАЯ КАРТИНА (продолжение)На 3—4-й день картина болезни несколько меняется. Больной жалуется на головную боль, разбитость, слабость, кашель

Слайд 12КЛИНИЧЕСКАЯ КАРТИНА (продолжение)
В разгар заболевания при тяжелой крупозной пневмонии наблюдается увеличение

размеров печени. В этих случаях при пальпации она болезненна. Появляется желтушность склер, иногда — белок и эритроциты в моче (токсическая почка).
Аппетит отсутствует, отмечается обложенность языка, сухость слизистой рта, запор, олигурия. Со стороны нервной системы, помимо бредовых состояний, могут наблюдаться менингиальные явления с ригидностью затылочных мышц, помрачением сознания.
 
К концу недели картина болезни вновь несколько изменяется: падает температура, общее состояние улучшается, уменьшаются головная боль, одышка и тахикардия. Кашель беспокоит меньше, в то же время увеличивается количество мокроты, которая отхаркивается легче и уже теряет «ржавый цвет», светлеет.
При осмотре герпетические высыпания начинают заживать, образуются корки, цианоз не выражен, пораженная сторона грудной клетки хорошо участвует в акте дыхания, больной не отмечает болей при дыхании.
При аускультации вновь выслушиваются крепитация разрешения, влажные и сухие хрипы, бронхофония становятся слабее, голосовое дрожание уменьшается
Перкуторно тупость уменьшается.
При благоприятном течении постепенно все патологические явления проходят.

КЛИНИЧЕСКАЯ КАРТИНА (продолжение)В разгар заболевания при тяжелой крупозной пневмонии наблюдается увеличение размеров печени. В этих случаях при

Слайд 13КЛИНИЧЕСКАЯ КАРТИНА (продолжение)
ОЧАГОВАЯ ПНЕВМОНИЯ (БРОНХОПНЕВМОНИЯ) отличается от крупозной пневмонии тем, что

отсутствует одновре­менная стадийность патанатомической картины (4 стадии).
В пневмоническом очаге могут наблюдаться в различных участках разные стадии (гиперемии, опеченения, разрешения), поэтому на разрезе очаг воспаления имеет пестрый вид (серый, красный, розовый цвета).
Начинается заболевание остро — с повышения температуры, озноба или постепенно на фоне продромальных явлений. Наиболее частыми жалобами являются кашель сухой или с мокротой, боли в грудной клетке при дыхании, общая слабость, головная боль. Мокрота может быть слизистой, слизисто-гнойной или гнойной, количество ее варьирует в широких пределах, что зависит от наличия сопутствующих заболеваний дыхательной системы.
У большинства больных наблюдается повышение температуры до 38-39 °С, у лиц пожилого возраста и у ослабленных больных она может оставаться нормальной или повышаться до субфебрильных цифр.
Результаты физикального исследования характеризуются большим разнообразием.
Перкуторно - выявляется участок притупления, соответствующий участку уплотнения легочной ткани.
Аускулътативно - на фоне жесткого дыхания на ограниченных участках выслушиваются звучные влажные хрипы, а также сухие рассеянные хрипы вследствие наличия сопутствующего бронхита.
При благоприятном течении рассасывание пневмонического очага заканчивается к концу 3-4-й недели. Однако нередко наблюдаются случаи вялого, затяжного течения пневмонии с наличием осложнений (легочных и внелегочных).

КЛИНИЧЕСКАЯ КАРТИНА (продолжение)ОЧАГОВАЯ ПНЕВМОНИЯ (БРОНХОПНЕВМОНИЯ) отличается от крупозной пневмонии тем, что отсутствует одновре­менная стадийность патанатомической картины (4

Слайд 14ОСОБЕННОСТИ ТЕЧЕНИЯ ОЧАГОВЫХ ПНЕВМОНИЙ В ЗАВИСИМОСТИ ОТ ВОЗБУДИТЕЛЯ

ОСОБЕННОСТИ ТЕЧЕНИЯ ОЧАГОВЫХ ПНЕВМОНИЙ В ЗАВИСИМОСТИ ОТ ВОЗБУДИТЕЛЯ

Слайд 15ОСЛОЖНЕНИЯ ПНЕВМОНИЙ
Наиболее частыми осложнениями пневмоний являются серозно-фибринозные и гнойные плевриты. Нарастание

одышки, цианоза, тупости при перкуссии, ослабление дыхания должны наводить на мысль о плеврите. Гектическая лихорадка — свидетельство гнойного экссудата (гнойный плеврит).
Может развиться отек легких (приступ удушья, кашель с отделением пенистой, розового цвета мокроты, цианоз, коллаптоидное состояние).
Острое легочное сердце часто осложняет крупозную и сливные тотальные пневмонии.
Бактериально-септический шок возникает в лихорадочный период крупозной пневмонии (слабость, тахикардия, нитевидный пульс, низкое АД).
Инфекционно-аллергические миокардиты могут развиваться при всех видах пневмоний, что приводит к прогрессированию сердечной недостаточности и летальному исходу;
Перикардит, нефрит.
Пневмосклероз. При неполном рассасывании экссудата происходит склерозирование участка легочной ткани на месте пневмонии.

ОСЛОЖНЕНИЯ ПНЕВМОНИЙНаиболее частыми осложнениями пневмоний являются серозно-фибринозные и гнойные плевриты. Нарастание одышки, цианоза, тупости при перкуссии, ослабление

Слайд 16КРИТЕРИИ ДИАГНОЗА ПНЕВМОНИИ
Анамнез. Имеют значение такие факты, как переохлаждение, стресс, острое

респираторное заболевания, предшествовавшие началу заболевания, эпидемиологическая ситуация в семье или коллективе ( при подозрении на пневмонию, вызванную внутриклеточными патогенами), вероятная аспирация, стоматологические манипуляции, незадолго предшествовавшие началу данного заболевания. Особого внимания заслуживают пациенты с врожденным или приобретенным иммунодефицитом, больные, длительно получающие ГКС и цитостатики, а также страдающие хроническими болезнями органов дыхания, декомпенсацией тяжелых сопутствующих заболеваний, таких как артериальная гипертония, ИБС, хроническая почечная и печеночная недостаточность. Пребывание в стационаре, особенно в реанимационном отделении, искусственная вентиляция легких являются факторами высокого риска развития госпитальной пневмонии.
КРИТЕРИИ ДИАГНОЗА ПНЕВМОНИИАнамнез. Имеют значение такие факты, как переохлаждение, стресс, острое респираторное заболевания, предшествовавшие началу заболевания, эпидемиологическая

Слайд 17КРИТЕРИИ ДИАГНОЗА ПНЕВМОНИИ (продолжение)
Клинические проявления:
Повышение температуры тела от субфебрильной до

фебрильной, возможно с ознобом. У ослабленных больных, лиц пожилого возраста и страдающих иммунодефицитом температура может оставаться нормальной.
Кашель разной интенсивности, в начале заболевания – малопродуктивный, в дальнейшем – с выделением мокроты. Большое количество мокроты, особенно гнойной, указывает в пользу деструкции легочной ткани. Кашель может сопровождаться кровохарканьем.
Плевральные боли на стороне поражения.
Появление или усиление имевшейся прежде одышки.
Симптомы интоксикации разной степени выраженности: немотивированная утомляемость, снижение аппетита, тошнота, повышенное потоотделение.
У некоторых больных превалируют внелегочные проявления, например спутанность сознания или дезориентация, абдоминальные боли. У пожилых, а также лиц, страдающих алкоголизмом или нейтропенией, легочная симптоматика может вообще отсутствовать, а диагноз устанавливается по данным рентгенологического исследования.

КРИТЕРИИ ДИАГНОЗА ПНЕВМОНИИ (продолжение)Клинические проявления: Повышение температуры тела от субфебрильной до фебрильной, возможно с ознобом. У ослабленных

Слайд 18КРИТЕРИИ ДИАГНОЗА ПНЕВМОНИИ (продолжение)
Физикальные признаки консолидации легочной ткани: укорочение перкуторного звука,

ограничение подвижности легочного края, усиление голосового дрожания, изменение дыхания (ослабленное, жесткое, бронхиальное), мелкопузырчатые влажные хрипы или крепитация в зоне поражения, возможен шум трения плевры. У 20% больных какие-либо физикальные признаки пневмонии могут отсутствовать. Важной особенностью большинства внебольничных пневмоний бактериальной природы является односторонность поражения. Первично двусторонние внебольничные пневмонии встречаются исключительно редко. При наличии симметричных симптомов (хрипы или крепитация) следует думать о вирусном поражении бронхов и/или интерстициальной ткани легкого, левожелудочковой недостаточности, дебюте фиброзирующего альвеолита.
КРИТЕРИИ ДИАГНОЗА ПНЕВМОНИИ (продолжение)Физикальные признаки консолидации легочной ткани: укорочение перкуторного звука, ограничение подвижности легочного края, усиление голосового

Слайд 19КРИТЕРИИ ДИАГНОЗА ПНЕВМОНИИ (продолжение)
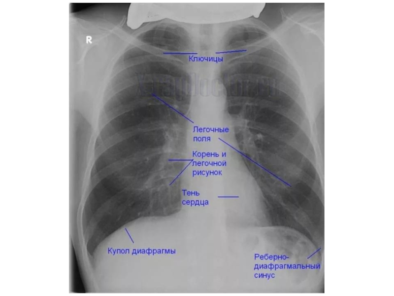
Рентгенологические признаки пневмонии – рентгенография является наиважнейшим и

незаменимым методом исследования для подтверждения клинического диагноза пневмонии.
При подозрении на пневмонию рентгенография грудной клетки выполняется в двух проекциях: прямой и боковой проекциях. Типичным рентгенологическим признаком пневмонии является затемнение легочной ткани, которое может быть очаговым, сливным, сегментарным (полисегментарным), долевым или еще более распространенным (тотальным). Изменения на рентгенограмме (распространенность инфильтрации, наличие или отсутствие плеврального выпота, полостей деструкции) указывают на тяжесть заболевания, помогают в выборе антибактериальной, симптоматической и другой (например, плевральная пункция) терапии.
КРИТЕРИИ ДИАГНОЗА ПНЕВМОНИИ (продолжение)Рентгенологические признаки пневмонии – рентгенография является наиважнейшим и незаменимым методом исследования для подтверждения клинического

Слайд 20ЛАБОРАТОРНЫЕ И ИНСТРУМЕНТАЛЬНЫЕ ИССЛЕДОВАНИЯ
Основные методы исследования.
ОАК: характерным является наличие нейтрофильного лейкоцитоза

более 10-12*109/л, сдвига лейкоцитарной формулы влево с увеличением числа палочкоядерных нейтрофилов, встречаются лейкоциты с токсической зернистостью. Лейкоцитоз выше 25*109/ л или лейкопения ниже 3*109 /л являются прогностически неблагоприятным признаком. СОЭ обычно увеличена, нередко достигает 50—70 мм/час.
БАК: повышается содержание фибриногена (до 6,0 - 8,0 г/л и выше), сиаловых кислот, мукопротеинов, сывороточных глобулинов и снижение альбуминов. Реакция на С-реактивный белок положительная.
ОAM: во время лихорадочного периода отмечается умеренная протенурия, цилиндрурия, определяются единичные эритроциты.
Рентгенография органов грудной клетки. Рентгенологически характерным для крупозной пневмонии является гомогенное затемнение той или иной доли, или ее сегментов. При очаговой пневмонии у большинства больных выявляются очаговые тени средней или малой интенсивности, часто с неровными контурами.
ЭКГ: имеет место снижение вольтажа, появление отрицательного зубца «Т» во II и III стандартных отведениях. Возможны нарушения ритма (экстрасистолия, мерцательная аритмия).
Микробиологическое исследование мокроты: бактериоскопия с окраской мазка мокроты по Грамму и посев мокроты с определением количества колониеобразующих единиц в 1 мл и чувствительности к антибиотикам.

ЛАБОРАТОРНЫЕ И ИНСТРУМЕНТАЛЬНЫЕ ИССЛЕДОВАНИЯОсновные методы исследования.ОАК: характерным является наличие нейтрофильного лейкоцитоза более 10-12*109/л, сдвига лейкоцитарной формулы влево

Слайд 21ЛАБОРАТОРНЫЕ И ИНСТРУМЕНТАЛЬНЫЕ ИССЛЕДОВАНИЯ (продолжение)
Дополнительные методы исследования.
Пульсоксиметрия (с целью определения насыщения

крови кислородом). Сатурация кислородом менее 88% - прогностически неблагоприятный признак, указывающий на необходимость помещения больного в отделение интенсивной терапии.
Серологическое исследование (определение антител к грибкам, микоплазме, хламидии и легионелле, цитомегаловирусу) при нетипичном течении пневмонии ,в группе риска у алкоголиков, наркоманов, при иммунодефиците (включая СПИД), стариков.
Исследование плевральной жидкости - при наличии плеврального выпота. Необходимо произвести подсчет лейкоцитов с лейкоцитарной формулой, определить рН, активность лактатдегидрогеназы, содержание белка, окрасить мазки по Граму и на кислотоустойчивые бактерии, выполнить посев на аэробы, анаэробы и микобактерии.
Фибробронхоскопия выполняется при подозрении на туберкулез легких при отсутствии продуктивного кашля, «обструктивной пневмонии» на почве бронхогенной опухоли, аспирированного инородного тела бронха и т.д.

ЛАБОРАТОРНЫЕ И ИНСТРУМЕНТАЛЬНЫЕ ИССЛЕДОВАНИЯ (продолжение)Дополнительные методы исследования.Пульсоксиметрия (с целью определения насыщения крови кислородом). Сатурация кислородом менее 88%

Слайд 22КРИТЕРИИ СТЕПЕНИ ТЯЖЕСТИ ПНЕВМОНИИ
Для определения степени тяжести пневмонии используются критерии:


 
Легкая степень: T до 38С , ЧД до 25 в 1 мин., ЧСС до 90 в 1 мин.
 
Средняя степень тяжести: Т=38-39С, ЧД более25-30 в 1 мин., ЧСС=90-100 в 1 мин.,
 
Тяжелая степень тяжести: Т более 39С; ЧД более30 в 1 мин., ЧСС более120 в 1 мин., систолическое АД менее 90 мм рт. ст., диастолическое АД менее 60 мм рт. ст., SatO2 – 88%


КРИТЕРИИ СТЕПЕНИ ТЯЖЕСТИ ПНЕВМОНИИДля определения степени тяжести пневмонии используются критерии:   Легкая степень: T до 38С ,

Слайд 23ДИФФЕРЕНЦИАЛЬНАЯ ДИАГНОСТИКА
Внебольничную пневмонию следует дифференцировать со следующими заболеваниями.
Подозревать туберкулез легких следует

в случаях «стертого» начала заболевания и клинических симптомов, отсутствия эффекта от антибактериальной терапии в течении 7-10 сут. Необходимо учитывать социальный статус пациента, контакт с больным туберкулезом, особенности рентгенологических изменений в легких. В случае проведения антибактериальной терапии больным на этапе дифференциальной диагностики исключают препараты с антимикобактериальной активностью (фторхинолоны, рифампицин, аминогликозиды).
С целью исключения новообразования всем курящим лицам в возрасте старше 40 лет, а также пациентам из других групп риска развития онкологического процесса, при медленном обратном развитии пневмонии, следует выполнять бронхоскопию с биопсией, а при необходимости КТ.
ТЭЛА необходимо исключать у больных, страдающих тромбофлебитом глубоких вен нижних конечностей.
Для дифференциальной диагностики с застойной сердечной недостаточностью следует провести ЭКГ, ЭхоКГ, консультацию кардиолога.

ДИФФЕРЕНЦИАЛЬНАЯ ДИАГНОСТИКАВнебольничную пневмонию следует дифференцировать со следующими заболеваниями.Подозревать туберкулез легких следует в случаях «стертого» начала заболевания и

Слайд 24ПОКАЗАНИЯ К КОНСУЛЬТАЦИИ ДРУГИХ СПЕЦИАЛИСТОВ
При подозрении на туберкулез легких больного направляют

на консультацию к фтизиатру.
Для дифференциальной диагностики с хронической сердечной недостаточностью необходима консультация кардиолога.
При подозрении на рак легких больного направляют на консультацию а онкологу.



ПОКАЗАНИЯ К КОНСУЛЬТАЦИИ ДРУГИХ СПЕЦИАЛИСТОВПри подозрении на туберкулез легких больного направляют на консультацию к фтизиатру.Для дифференциальной диагностики

Слайд 25ПРОГНОЗ
В большинстве случаев при внебольничной пневмонии у иммунокомпитентных пациентов молодого или

среднего возраста нормализация температуры тела происходит на 2-4 день лечения, а нормализацию рентгенологической картины наблюдают в сроки от 2 до 4 недель.
К факторам риска затяжного течения заболевания относят возраст пациента старше 55 лет, алкоголизм, сопутствующие инвалидизирующие заболевания внутренних органов (ХОБЛ, хроническую сердечную недостаточность, сахарный диабет и др.), тяжелое течение внебольничной пневмонии, мультилобарная инфильтрация, вирулентные возбудители заболевания (легионелла, золотистый стафилококк, грамотрицательные энтеробактерии), курение, клиническая неэффективность проводимой терапии (сохраняющиеся лейкоцитоз и лихорадка), вторичная бактериемия.
Если факторы риска затяжного течения заболевания присутствуют и одновременно наблюдается клиническое улучшение, целесообразно провести контрольное рентгенографическое исследование спустя 4 недели. Если же клинического улучшения не отмечают и/или у пациента отсутствуют факторы риска медленного разешения пневмонии, то показано незамедлительное проведение дополнительного обследования (КТ органов грудной клетки, фибробронхоскопия и др. методы исследования).
ПРОГНОЗВ большинстве случаев при внебольничной пневмонии у иммунокомпитентных пациентов молодого или среднего возраста нормализация температуры тела происходит

Слайд 26ПРИМЕР ФОРМУЛИРОВКИ ДИАГНОЗА
Формулировка диагноза осуществляется в соответствии с рассмотренной выше классификацией.


В диагнозе должны содержаться сведения об этиологии (вирусная, бактериальная и т.д.), о клинико-рентгенологических особенностях пневмонии (очаговая, сливная, долевая), ее локализации по долям и сегментам и недостаточности систем (органов), а также наличие осложнений (с их указанием) и тяжести заболевания.
Внутрибольничное происхождение пневмонии или аспирационный ее генез должны быть отражены в диагнозе.
У больных с исходно тяжелыми нарушениями иммунитета, диагноз пневмония, являющийся по своей сути осложнением основного заболевания, должен быть приведен на втором месте.
При обычном, укладывающемся в приемлемые сроки течении пневмонии, соответствующая характеристика не указывается в диагнозе.
ПРИМЕР ФОРМУЛИРОВКИ ДИАГНОЗАФормулировка диагноза осуществляется в соответствии с рассмотренной выше классификацией. В диагнозе должны содержаться сведения об

Слайд 27ПРИМЕР ФОРМУЛИРОВКИ ДИАГНОЗА (продолжение)
Основной диагноз: Внебольничная очаговая пневмония (S IХ) правого

легкого, средней степени тяжести, затяжное течение.
Осложнение основного диагноза: ДН I степени.
Сопутствующий диагноз: Сахарный диабет II типа, субкомпенсированный.

Основной диагноз: Нозокомиальная (внутрибольничная), правосторонняя нижнедолевая пневмония ( в S8, S9, S10 ), тяжелой степени.
Осложнение основного диагноза: Правосторонний экссудативный плеврит. ДН III степени.
 
Основной диагноз: Аспирационная пневмония базальных сегментов правого легкого, тяжелого течения.
Осложнение основного диагноза: Абсцесс правого легкого. ДН III степени.

Основной диагноз: СПИД. Двусторонняя полисегментарная пневмония, осложненная абсцедированием и эмпиемой плевры справа, тяжелое течение. ДН III степени.

Основной диагноз: Внебольничная, правосторонняя, пневмококковая (крупозная) пневмония нижней доли правого легкого (в S8, S9, S10) тяжелой степени, затяжного течения.
Осложнение основного диагноза: Инфекционно-токсический шок. Правосторонний парапневмонический экссудативный плеврит. ДН III степени.

Основной диагноз: Внебольничная, очаговая пневмония верхней доли левого легкого (в S4, S5), средней степени тяжести.
Осложнение основного диагноза: ДН II степени.

ПРИМЕР ФОРМУЛИРОВКИ ДИАГНОЗА (продолжение)Основной диагноз: Внебольничная очаговая пневмония (S IХ) правого легкого, средней степени тяжести, затяжное течение.Осложнение

Слайд 48
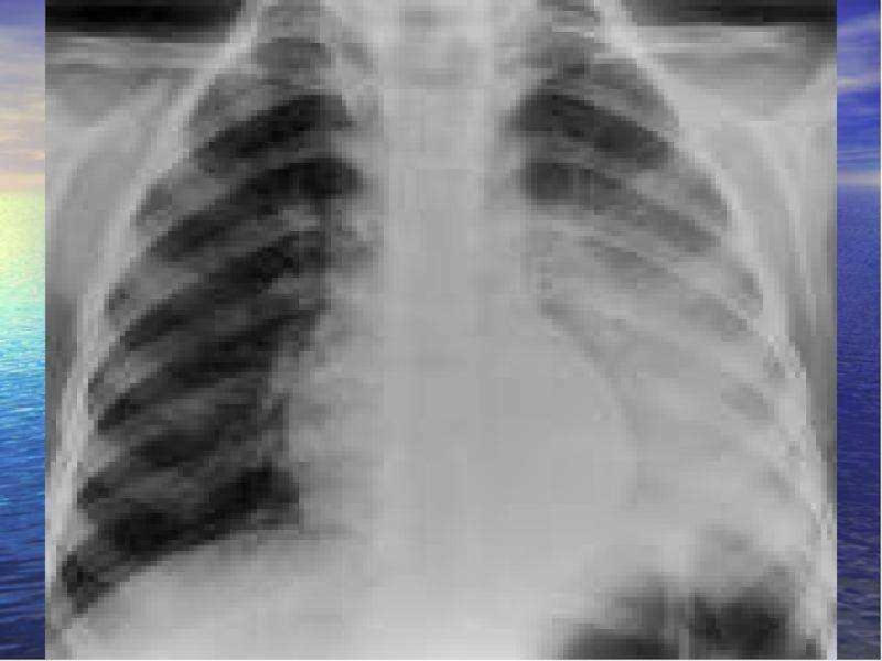
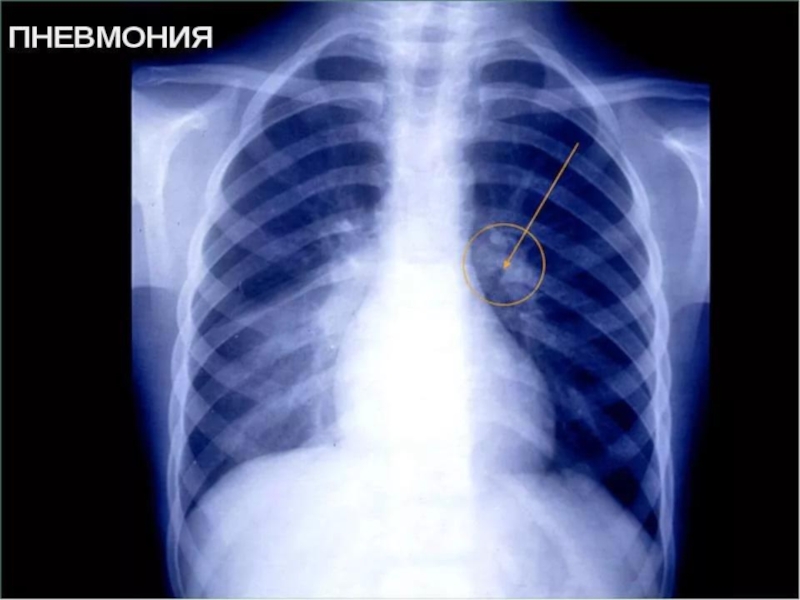
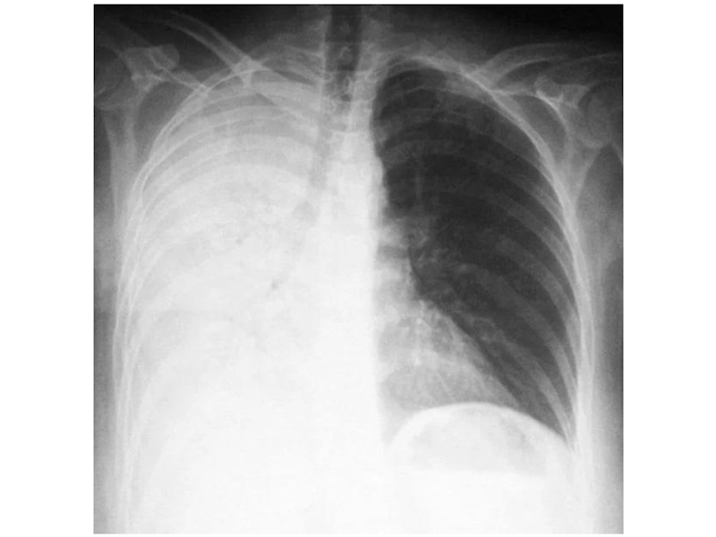
Крупозная пневмония (процесс захватывает целую долю, иногда все легкое, сопровождается воспалением

плевры):
На стадии прилива (первые 2-3 дня болезни альвеолы расширены и заполняются экссудатом) воздушность легочной ткани несколько снижена, легочный рисунок усилен, корень легкого расширен на стороне поражения.
На стадии опеченения (длится 3-5 дней, в альвеолах откладывается фибрин, в экссудат проникают клетки крови — сначала эритроциты, затем лейкоциты) воздушность резко снижена, корень легкого на стороне патологии расширен, прилежащая плевра утолщена, в плевральной полости может определяться экссудат. На снимке видна интенсивная тень в проекции одной или нескольких долей.
На стадии разрешения (наступает обычно к 7-10-му дню болезни) легочный рисунок усилен, корень легкого расширен, тень уменьшена и фрагментирована.
Обогащение легочного рисунка и расширение корня легкого сохраняется еще на протяжении месяца после исчезновения клинических проявлений.


а — красное опеченение; б — серое опеченение

Крупозная пневмония (процесс захватывает целую долю, иногда все легкое, сопровождается воспалением плевры): На стадии прилива (первые 2-3

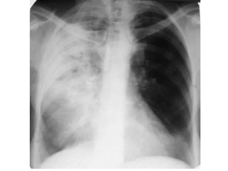
Слайд 51Интерстициальная аденовирусная пневмония

Острая интерстициальная пневмония (вирусная, атипичная). Отмечается значительное усиление легочного

рисунка, корни не изменены, плевра уплотнена. По мере прогрессирования болезни на рентгене становятся видны очаговые затемнения в нижних и средних отделах легких.

Интерстициальная аденовирусная пневмонияОстрая интерстициальная пневмония (вирусная, атипичная). Отмечается значительное усиление легочного рисунка, корни не изменены, плевра уплотнена.

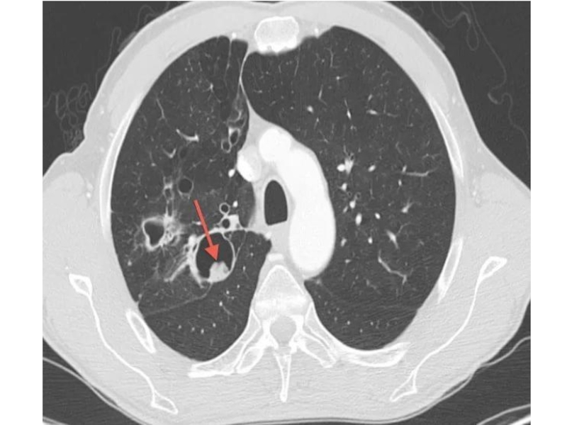
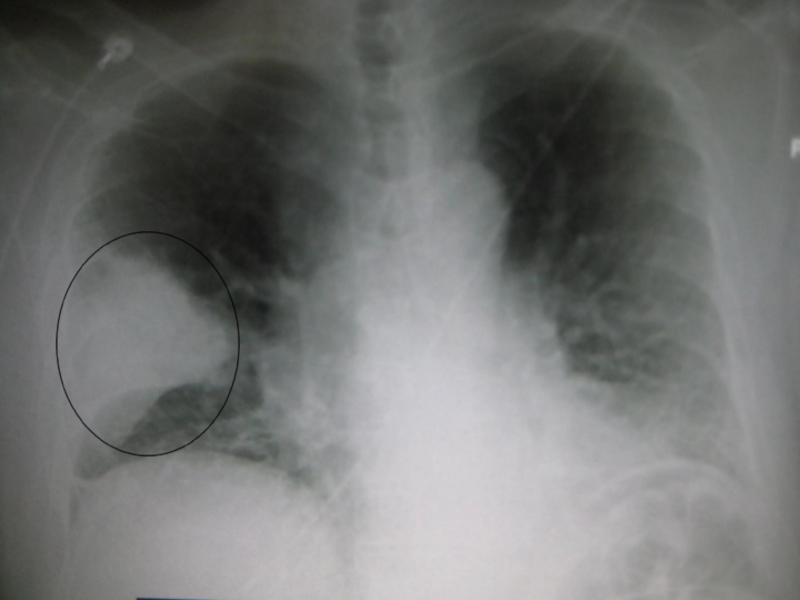
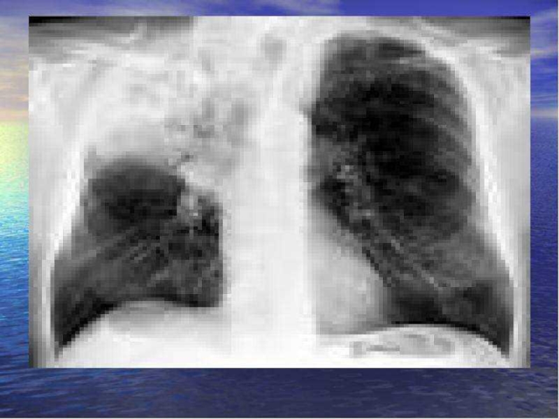
Слайд 52Абсцедирующая пневмония

Абсцесс выглядит как кольцевидная тень с уровнем жидкости.

Абсцедирующая пневмонияАбсцесс выглядит как кольцевидная тень с уровнем жидкости.

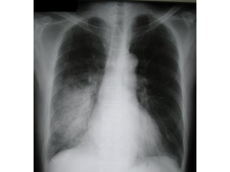
Слайд 60Очаговая бронхопневмония (уплотнение легочного рисунка в прикорневой зоне в нижней доле

правого легкого)
Очаговая бронхопневмония (уплотнение легочного рисунка в прикорневой зоне в нижней доле правого легкого)

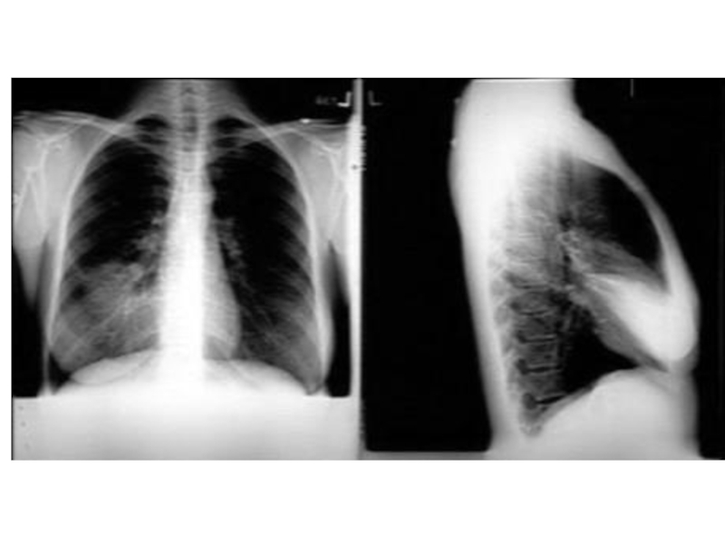
Слайд 61Правосторонний плеврит

Правосторонний плеврит

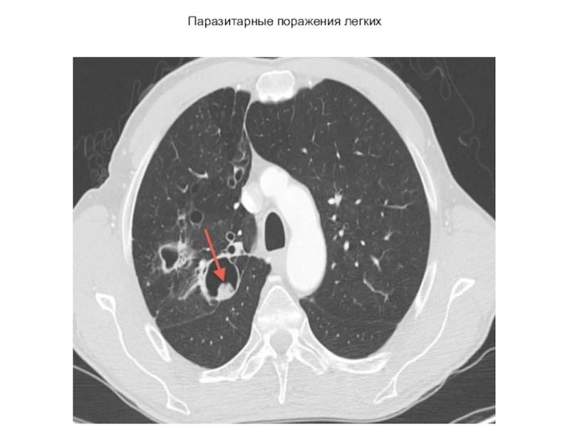
Слайд 63Паразитарные поражения легких

Паразитарные поражения легких

Что такое shareslide.ru?

Это сайт презентаций, где можно хранить и обмениваться своими презентациями, докладами, проектами, шаблонами в формате PowerPoint с другими пользователями. Мы помогаем школьникам, студентам, учителям, преподавателям хранить и обмениваться учебными материалами.


Для правообладателей

Яндекс.Метрика

Обратная связь

Email: Нажмите что бы посмотреть