Презентация, доклад для студентов медицинского колледжа Пневмония

Содержание

СТРОЕНИЕ ДЫХАТЕЛЬНОЙ СИСТЕМЫ ЧЕЛОВЕКА

Слайд 1 ПНЕВМОНИЯ


ПНЕВМОНИЯ

Слайд 2СТРОЕНИЕ ДЫХАТЕЛЬНОЙ СИСТЕМЫ ЧЕЛОВЕКА

СТРОЕНИЕ ДЫХАТЕЛЬНОЙ СИСТЕМЫ ЧЕЛОВЕКА

Слайд 3ПНЕВМОНИЯ

– это острое инфекционное заболевание, при котором происходит поражение альвеол,

сопровождающееся экссудацией и инфильтрацией клетками воспаления паренхимы как ответ на внедрение и пролиферацию микроорганизмов в стерильные в норме отделы респираторного тракта
ПНЕВМОНИЯ – это острое инфекционное заболевание, при котором происходит поражение альвеол, сопровождающееся экссудацией  и инфильтрацией клетками

Слайд 4 
АВЛ КОРНЕЛИЙ ЦЕЛЬС (I век до н. эры) – первые упоминания

о воспалении в респираторных отделах дыхательного тракта;
 
ВИЛЛИС (1684 г.) – подробно описал симптомы острой лихорадки, кашля и затрудненного дыхания;
 
ЛАЭННЕК (1781- 1826 г.) – описал аускультативную картину пневмонии.
 
РОКИТАНСКИЙ (1804-1878 г.)- выделил 2 морфологических варианта пневмонии – долевую и бронхопневмонию.
 
РЕНТГЕН (1845-1923г.)- открыл рентгеновские лучи и исследовал их свойства.
 АВЛ КОРНЕЛИЙ ЦЕЛЬС (I век до н. эры) – первые упоминания о воспалении в респираторных отделах дыхательного

Слайд 5РАСПРОСТРАНЕННОСТЬ
3-15 ЧЕЛОВЕК НА 1000 НАСЕЛЕНИЯ
СМЕРТНОСТЬ
от внебольничных пневмоний – 5%;
от

нозокомиальных пневмоний – 20%;
у пожилых – 30%

ОШИБКИ В ДИАГНОСТИКЕ
20%
ДИАГНОЗ ПНЕВМОНИИ В ПЕРВЫЕ 3 ДНЯ СТАВИТСЯ У 35% ЗАБОЛЕВШИХ

РАСПРОСТРАНЕННОСТЬ3-15 ЧЕЛОВЕК НА 1000 НАСЕЛЕНИЯСМЕРТНОСТЬ от внебольничных пневмоний – 5%; от нозокомиальных пневмоний – 20%; у пожилых

Слайд 6ЭТИОЛОГИЯ
Mycoplasma pneumoniae
Streptococcus pneumoniae
Haemophilus influenza
Chlamydia pneumoniae
Legionella pneumoniae
Staphilococcus aureus

ЭТИОЛОГИЯMycoplasma pneumoniaeStreptococcus pneumoniaeHaemophilus influenzaChlamydia pneumoniaeLegionella pneumoniaeStaphilococcus aureus

Слайд 7 
ВНЕБОЛЬНИЧНАЯ ПНЕВМОНИЯ


 
Streptococcus pneumoniae (30-90%);
 
Mycoplasma pneumoniae (до 30% до 45 лет и

до 9% старше 45 лет);
 
Haemophilus influenza (5-18%);
 
Chlamydia pneumoniae (2-8%);
 
Legionella pneumoniae (2-10%);
 
Staphilococcus aureus (менее 5%);
 
Грамотрицательные микроорганизмы (редко);
 
Вирус гриппа (в период эпидемии);
 
20-30% этиология пневмонии не устанавливается
 

ЭТИОЛОГИЧЕСКАЯ КЛАССИФИКАЦИЯ. 1

 ВНЕБОЛЬНИЧНАЯ ПНЕВМОНИЯ Streptococcus pneumoniae (30-90%); Mycoplasma pneumoniae (до 30% до 45 лет и до 9% старше 45 лет); Haemophilus influenza

Слайд 8ЭТИОЛОГИЯ
Pseudomonas aeruginosa
Klebsiella pneumoniae
Enterobacter spp.
Staphilococcus aureus

ЭТИОЛОГИЯPseudomonas aeruginosaKlebsiella pneumoniaeEnterobacter spp.Staphilococcus aureus

Слайд 9 
ВНУТРИБОЛЬНИЧНАЯ ПНЕВМОНИЯ


 
Развивается через 48 и более часов после поступления больного в

стационар
 
Грамотрицательные аэробные микроорганизмы, особенно:
 
Pseudomonas aeruginosa;
 
Klebsiella pneumoniae;
 
Enterobacter spp.
 
Грамположительные:
 
Staphilococcus aureus  





ЭТИОЛОГИЧЕСКАЯ КЛАССИФИКАЦИЯ. 2

 ВНУТРИБОЛЬНИЧНАЯ ПНЕВМОНИЯ Развивается через 48 и более часов после поступления больного в стационар Грамотрицательные аэробные микроорганизмы, особенно: Pseudomonas aeruginosa; Klebsiella pneumoniae; Enterobacter

Слайд 10Цитомегаловирус;
 
Патогенные грибы;

ВИЧ-ассоциированные пневмонии:


Pneumocystis carinii;
 

Mycobacterium tuberculosis;
 


Streptococcus pneumoniae;
 

Haemophilus

influenze.







ЭТИОЛОГИЧЕСКАЯ КЛАССИФИКАЦИЯ. 3

Цитомегаловирус; Патогенные грибы;ВИЧ-ассоциированные пневмонии:Pneumocystis   carinii; Mycobacterium    tuberculosis; Streptococcus pneumoniae; Haemophilus influenze. ЭТИОЛОГИЧЕСКАЯ КЛАССИФИКАЦИЯ. 3

Слайд 11ПАТОГЕНЕЗ
Этиологические факторы
Выброс эндо- и экзотоксинов
Колонизация эпителиальных клеток
Клинические проявления болезни
Воспаление альвеол и

бронхиол

Инвазия и внутриклеточная персистенция возбудителя

Адгезия к эпителиальным клеткам

Активация условно-патогенной микрофлоры

Нарушение лег. кровообращения

Снижение общей неспец. защиты

Подавление местных защитных мех-мов

Способствующие фак-ры и фак-ры риска

Образование АТ и иммунных комплексов

ПАТОГЕНЕЗЭтиологические факторыВыброс эндо- и экзотоксиновКолонизация эпителиальных клетокКлинические проявления болезниВоспаление альвеол и бронхиолИнвазия и внутриклеточная персистенция возбудителяАдгезия к

Слайд 12КЛАССИФИКАЦИЯ
(Международный консенсус и Российский терапевтический протокол, приказ Минздрава РФ № 300,

1998).

ВНУТРИБОЛЬНИЧНАЯ ПНЕВМОНИЯ
(ГОСПИТАЛЬНАЯ, НОЗОКОМИАЛЬНАЯ).

ВНЕБОЛЬНИЧНАЯ ПНЕВМОНИЯ
(ПЕРВИЧНАЯ, ДОМАШНЯЯ).

 
АСПИРАЦИОННАЯ ПНЕВМОНИЯ.

ПНЕВМОНИЯ У ЛИЦ С ИММУНОДЕФИЦИТОМ
(врожденным или приобретенным).






КЛАССИФИКАЦИЯ(Международный консенсус и Российский терапевтический протокол, приказ Минздрава РФ № 300, 1998).ВНУТРИБОЛЬНИЧНАЯ ПНЕВМОНИЯ (ГОСПИТАЛЬНАЯ, НОЗОКОМИАЛЬНАЯ).ВНЕБОЛЬНИЧНАЯ ПНЕВМОНИЯ (ПЕРВИЧНАЯ,

Слайд 13КЛИНИЧЕСКАЯ КЛАССИФИКАЦИЯ

 
Очаговая пневмония
(бронхопневмония)

Крупозная (долевая)
пневмония

Интерстициальная пневмония



КЛИНИЧЕСКАЯ КЛАССИФИКАЦИЯ  Очаговая пневмония (бронхопневмония)Крупозная (долевая) пневмония Интерстициальная пневмония

Слайд 14 
ЭТАПЫ ДИАГНОСТИКИ ПНЕВМОНИИ

Установить факт наличия пневмонии.

Провести дифференциальную диагностику с целью исключения

синдромно сходных состояний.

Ориентировочно (эмпирически) определить этиологический вариант для выбора оптимальной программы лечения.  




 ЭТАПЫ ДИАГНОСТИКИ ПНЕВМОНИИУстановить факт наличия пневмонии.Провести дифференциальную диагностику с целью исключения синдромно сходных состояний.Ориентировочно (эмпирически) определить этиологический

Слайд 15 
КЛИНИЧЕСКАЯ КАРТИНА


 
ОБЩИЕ СИМПТОМЫ (ВНЕЛЕГОЧНЫЕ): слабость, вялость, адинамия, снижение аппетита, лихорадка, ознобы,

потливость, головная боль, симптомы поражения органов и систем при инфекционно-токсических проявлениях.


 
МЕСТНЫЕ СИМПТОМЫ (ЛЕГОЧНЫЕ): кашель, наличие мокроты, ее характер (слизистая, гнойная, слизисто-гнойная, ржавая, кровохарканье), боль в грудной клетке, ее связь с дыханием, одышка.


 КЛИНИЧЕСКАЯ КАРТИНА ОБЩИЕ СИМПТОМЫ (ВНЕЛЕГОЧНЫЕ): слабость, вялость, адинамия, снижение аппетита, лихорадка, ознобы, потливость, головная боль, симптомы поражения органов

Слайд 16 
КЛИНИЧЕСКАЯ КАРТИНА
долевой пневмонии



 
ФИЗИКАЛЬНЫЕ ДАННЫЕ:

ОСМОТР:
бледность кожных покровов,
румянец на

стороне поражения легких,
герпес,
отставание пораженной стороны грудной клетки при дыхании


 КЛИНИЧЕСКАЯ КАРТИНАдолевой пневмонии ФИЗИКАЛЬНЫЕ ДАННЫЕ: ОСМОТР: бледность кожных покровов, румянец на стороне поражения легких,  герпес, отставание пораженной

Слайд 17Вынужденное
положение больного
Herpes nasalis, labialis
Румянец на стороне
поражения легких

Вынужденное положение больногоHerpes nasalis, labialisРумянец на стороне поражения легких

Слайд 18 
КЛИНИЧЕСКАЯ КАРТИНА
долевой пневмонии



 ФИЗИКАЛЬНЫЕ ДАННЫЕ:

ПАЛЬПАЦИЯ:
усиление голосового дрожания,
ПЕРКУССИЯ:
- притупление перкуторного

звука (в I и III стадии),
тупой (бедренный) перкуторный звук (во II стадию),
АУСКУЛЬТАЦИЯ:
- бронховезикулярное (жесткое) дыхание (в I и III стадии),
бронхиальное дыхание (во II стадию),
крепитация (в I и III стадии),
шум трения плевры (во II стадию),
усиление бронхофонии


 КЛИНИЧЕСКАЯ КАРТИНАдолевой пневмонии ФИЗИКАЛЬНЫЕ ДАННЫЕ: ПАЛЬПАЦИЯ: усиление голосового дрожания, ПЕРКУССИЯ:- притупление перкуторного звука (в I и III стадии),

Слайд 19 
КЛИНИЧЕСКАЯ КАРТИНА
очаговой пневмонии



 ФИЗИКАЛЬНЫЕ ДАННЫЕ:

ПАЛЬПАЦИЯ:
усиление голосового дрожания,
ПЕРКУССИЯ:
притупление перкуторного звука


АУСКУЛЬТАЦИЯ:
бронховезикулярное (жесткое) дыхание,
звонкие мелкопузырчатые хрипы
усиление бронхофонии
 КЛИНИЧЕСКАЯ КАРТИНАочаговой пневмонии ФИЗИКАЛЬНЫЕ ДАННЫЕ: ПАЛЬПАЦИЯ: усиление голосового дрожания, ПЕРКУССИЯ:притупление перкуторного звука АУСКУЛЬТАЦИЯ:бронховезикулярное (жесткое) дыхание, звонкие мелкопузырчатые хрипыусиление

Слайд 20 
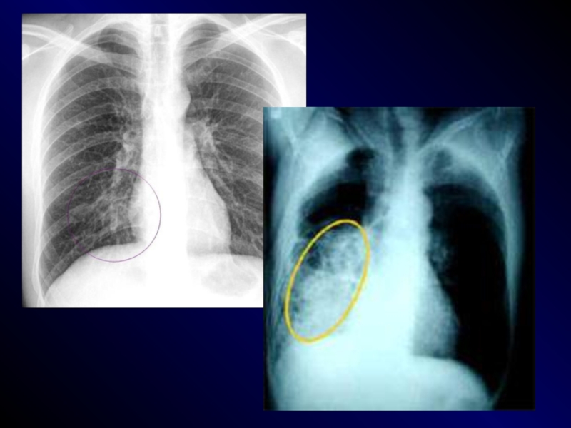
ИНСТРУМЕНТАЛЬНЫЕ МЕТОДЫ ДИАГНОСТИКИ


 
- РЕНТГЕНОГРАФИЯ ОРГАНОВ ГРУДНОЙ КЛЕТКИ в 2-х проекциях (назначается

и при неполном наборе клинических симптомов)
 


 ИНСТРУМЕНТАЛЬНЫЕ МЕТОДЫ ДИАГНОСТИКИ - РЕНТГЕНОГРАФИЯ ОРГАНОВ ГРУДНОЙ КЛЕТКИ в 2-х проекциях (назначается и при неполном наборе клинических симптомов) 

Слайд 22 
ИНСТРУМЕНТАЛЬНЫЕ МЕТОДЫ ДИАГНОСТИКИ


 КЛИНИЧЕСКИЙ АНАЛИЗ КРОВИ

МИКРОБИОЛОГИЧЕСКОЕ ИССЛЕДОВАНИЕ:
- окраска по Граму;
- посев

мокроты для выделения возбудителя и определения его чувствительности к антибиотикам


Staphylococcus aureus в гное.
Окраска по Граму.

Культура,
чувствительная
(слева)
и малочувствительная (справа)
к антибиотику

 ИНСТРУМЕНТАЛЬНЫЕ МЕТОДЫ ДИАГНОСТИКИ КЛИНИЧЕСКИЙ АНАЛИЗ КРОВИМИКРОБИОЛОГИЧЕСКОЕ ИССЛЕДОВАНИЕ:-  окраска по Граму;- посев мокроты для выделения возбудителя и определения

Слайд 23 
ЗАБОЛЕВАНИЯ И СИНДРОМЫ ДЛЯ
ДИФФЕРЕНЦИАЛЬНОГО ДИАГНОЗА ПНЕВМОНИИ


Рак легкого
Инфаркт легкого

Ателектаз
Ушиб легкого
Туберкулез легких
ОРВИ
Бронхит
«Непневмонический» плевральный выпот
Пневмониты (лекарственные, токсические, радиационные, при системных васкулитах)
Инфекционные заболевания (тиф)




 ЗАБОЛЕВАНИЯ И СИНДРОМЫ ДЛЯ ДИФФЕРЕНЦИАЛЬНОГО ДИАГНОЗА ПНЕВМОНИИ Рак легкого Инфаркт легкого Ателектаз Ушиб легкого Туберкулез легких ОРВИ

Слайд 24 
ДОПОЛНИТЕЛЬНЫЕ ОБЪЕКТИВНЫЕ КРИТЕРИИ, ДЛЯ ДИФФЕРЕНЦИАЛЬНОЙ ДИАГНОСТИКИ ПНЕВМОНИЙ


-Рентгенотомография, компьютерная томография (при

поражении верхних долей, лимфатических узлов, средостения, уменьшения объема доли, подозрении на абсцедирование, при неэффективности адекватной антибактериальной терапии).

-Микробиологическое исследование мокроты, плевральной жидкости, мочи, крови, включая и микологическое исследование при продолжающемся лихорадочном состоянии, подозрении на сепсис, туберкулез, суперинфекцию, СПИД.
 
-Серологическое исследование (определение антител к грибам, микоплазме, хламидии, легионелле, цитомегало-вирусу) при нетипичном течении пневмонии в группе риска у алкоголиков, наркоманов, при иммунодефиците (включая СПИД), у людей преклонного возраста.
 



 ДОПОЛНИТЕЛЬНЫЕ ОБЪЕКТИВНЫЕ КРИТЕРИИ, ДЛЯ ДИФФЕРЕНЦИАЛЬНОЙ ДИАГНОСТИКИ ПНЕВМОНИЙ -Рентгенотомография, компьютерная томография (при поражении верхних долей, лимфатических узлов, средостения,

Слайд 25
 
ПНЕВМОКОККОВЫЕ ПНЕВМОНИИ (30-95%)

 
Наиболее часто зимой и ранней весной

Во время эпидемии

ОРВИ и гриппа

У больных с хроническими заболеваниями легких

Наиболее часто поражаются нижние доли и задние сегменты верхней доли

Часто «классическая» картина крупозной пневмонии

ДО 25% таких пневмоний протекают с бактериемией и эти случаи дают летальный исход.

 ПНЕВМОКОККОВЫЕ ПНЕВМОНИИ (30-95%)  Наиболее часто зимой и ранней веснойВо время эпидемии ОРВИ и гриппаУ больных с хроническими

Слайд 26 
СТАФИЛОКОККОВЫЕ ПНЕВМОНИИ

 
Часто осложняет вирусные инфекции

Часто нозокомиальная и развивается у

больных с тяжелым фоновым заболеванием, после недавней операции

Развитие по типу многофокусной бронхо-пневмонии с перибронхиальными легко дренирующимися абсцессами

Часто осложняется плевритом и пиопневмо-тораксом

Госпитальные штаммы стафилококка резистентны к большинству антибиотиков






 СТАФИЛОКОККОВЫЕ  ПНЕВМОНИИ  Часто осложняет вирусные инфекцииЧасто нозокомиальная и развивается у больных с тяжелым фоновым заболеванием, после

Слайд 27 
МИКОПЛАЗМЕННАЯ ПНЕВМОНИЯ


Развивается чаще в детском, юношеском и молодом возрасте

Эпидемические вспышки в

организованных коллективах (школьники, военнослужащие)

В дебюте заболевания симптоматика ОРВИ

Часто внелегочная симптоматика – озноб, мышечные и головные боли, симптомы ОРВИ

Нередко шейная лимфаденопатия, полиморфная кожная сыпь, гепатоспленомегалия

Физикальная симптоматика скудная: часто отсутствует изменение перкуторного звука, локально – мелко-пузырчатые хрипы

Быстрая декомпенсация сопутствующих заболеваний
прогрессирование пневмонии







АТИПИЧНЫЕ ПНЕВМОНИИ 1


 МИКОПЛАЗМЕННАЯ ПНЕВМОНИЯРазвивается чаще в детском, юношеском и молодом возрастеЭпидемические вспышки в организованных коллективах (школьники, военнослужащие)В дебюте заболевания

Слайд 28 
ХЛАМИДИЙНЫЕ ПНЕВМОНИИ


C.trachomona – отдельные случаи пневмонии у новорожденных

C.psittaci – поражение легких

в рамках пситтакоза (орнитоза)

C. pneumoniae – один из основных возбудителей АП

Начало заболевания с сухого кашля, болей в горле, осиплости голоса (фарингит, ларингит), недомогания

Лихорадка

При рентгенологическом исследовании чаще мелкоочаговая размером 2-3 см., нередко многофокусная инфильтрация

Лобарная инфильтрация, образование полостей и плевральный выпот нетипичны, нетяжелое, но затяжное течение







АТИПИЧНЫЕ ПНЕВМОНИИ 3


 ХЛАМИДИЙНЫЕ ПНЕВМОНИИC.trachomona – отдельные случаи пневмонии у новорожденныхC.psittaci – поражение легких в рамках пситтакоза (орнитоза)C. pneumoniae –

Слайд 29 
ЛЕГИОНЕЛЛЁЗНАЯ ПНЕВМОНИЯ


Чаще наблюдается в больших зданиях (гостиницы, больницы)

Болеют чаще лица среднего

и пожилого возраста

Клинический дебют характеризуется немотивированной общей слабостью, анорексией, заторможенностью, упорными головными болями

Кровохарканье и боли в груди у каждого 3-го больного

Фебрильная лихорадка, одышка

Физикальная симптоматика: притупление, бронхиальное дыхание, крепитация, влажные хрипы








АТИПИЧНЫЕ ПНЕВМОНИИ 5

 ЛЕГИОНЕЛЛЁЗНАЯ ПНЕВМОНИЯЧаще наблюдается в больших зданиях (гостиницы, больницы)Болеют чаще лица среднего и пожилого возрастаКлинический дебют характеризуется немотивированной

Слайд 30 
ЛЕГИОНЕЛЛЁЗНАЯ ПНЕВМОНИЯ


Описаны случаи синусита, парапроктита, панкреатита, абсцесса мозга

Рентгенологически в начале –

очаговые инфильтраты, в последующем их консолидация. Прилегающие к плевре инфильтраты могут напоминать инфаркт легкого.

Плевральный выпот у 1/3 больных

Часто брадикардия, гипотония

Может быть мочевой синдром
 






АТИПИЧНЫЕ ПНЕВМОНИИ 6

 ЛЕГИОНЕЛЛЁЗНАЯ ПНЕВМОНИЯОписаны случаи синусита, парапроктита, панкреатита, абсцесса мозгаРентгенологически в начале – очаговые инфильтраты, в последующем их консолидация.

Слайд 31Общее для всех атипичных пневмоний
- Невозможность выявления возбудителя в мокроте

- Специфические

серологические данные (иммуно-ферментный анализ с обнаружением специфических IgG, IgM)

- Неэффективность ß-лактамных антибиотиков

- Эффективность макролидов, тетрациклинов, фторхинолонов
Общее для всех атипичных пневмоний- Невозможность выявления возбудителя в мокроте- Специфические серологические данные (иммуно-ферментный анализ с обнаружением

Слайд 32 
ФОРМУЛИРОВКА ДИАГНОЗА 1
НОЗОЛОГИЧЕСКАЯ ФОРМА :
Очаговая пневмония (бронхопневмония)
(воспалительный процесс захватывает отдельные

участки легочной ткани – альвеолы и смежные с ними бронхи.)
Крупозная (долевая) пневмония
( характеризуется быстрым вовлечением в процесс доли или части и прилежащего участка плевры.)
Интерстициальная пневмония
(обусловлена преимущественным поражением соединительной (межуточной) ткани легких)

ВНЕБОЛЬНИЧНАЯ или ВНУТРИБОЛЬ-НИЧНАЯ




 ФОРМУЛИРОВКА ДИАГНОЗА 1НОЗОЛОГИЧЕСКАЯ ФОРМА : Очаговая пневмония (бронхопневмония)(воспалительный процесс захватывает отдельные участки легочной ткани – альвеолы и

Слайд 33 
ФОРМУЛИРОВКА ДИАГНОЗА 2
ЭТИОЛОГИЧЕСКИЙ ВАРИАНТ (ориентировочный или верифицированный)
 
РАСПРОСТРАНЕННОСТЬ

СТЕПЕНЬ ТЯЖЕСТИ

НАЛИЧИЕ ОСЛОЖНЕНИЙ

(легочных и внелегочных)

ФАЗА ЗАБОЛЕВАНИЯ (разгар, разрешение, затяжное течение)
 







 ФОРМУЛИРОВКА ДИАГНОЗА 2ЭТИОЛОГИЧЕСКИЙ ВАРИАНТ (ориентировочный или верифицированный) РАСПРОСТРАНЕННОСТЬ СТЕПЕНЬ ТЯЖЕСТИ НАЛИЧИЕ ОСЛОЖНЕНИЙ (легочных и внелегочных)ФАЗА ЗАБОЛЕВАНИЯ (разгар, разрешение,

Слайд 34 
ТАКТИКА ЛЕЧЕНИЯ БОЛЬНЫХ
ОСТРОЙ ПНЕВМОНИЕЙ
Выбор места лечения (амбулаторное или стационарное)
-определяется

тяжестью состояния, в том числе наличием сопутствующих заболеваний и степенью их компенсации

Выбор первоначального АБ определяется:
клинической и эпидемиологической ситуацией
предшествующим путешествием
пребыванием в больнице
возрастом
фоновой патологией
степенью тяжести
рентгенологической картиной
результатами бактериологического исследования мокроты




 ТАКТИКА ЛЕЧЕНИЯ БОЛЬНЫХ ОСТРОЙ ПНЕВМОНИЕЙ Выбор места лечения (амбулаторное или стационарное)-определяется тяжестью состояния, в том числе наличием

Слайд 35АЛГОРИТМ ЛЕЧЕНИЯ БОЛЬНОГО ВНУТРИБОЛЬНИЧНОЙ ПНЕВМОНИЕЙ С УЧЕТОМ ТЯЖЕСТИ ЗАБОЛЕВАНИЯ

КЛИНИКО-РЕНТГЕНОЛОГИЧЕСКИЕ ПРИЗНАКИ ПНЕВМОНИИ

ОЦЕНКА

ТЯЖЕСТИ И ПРОГНОЗА

ПНЕВМОНИЯ ЛЕГКОГО ТЕЧЕНИЯ

Пероральная а/б терапия

МАКРОЛИДЫ, РЕСПИРАТОРНЫЕ ФТОРХИНОЛОНЫ


ПНЕВМОНИЯ ТЯЖЕЛОГО И СРЕДНЕТЯЖЕЛОГО ТЕЧЕНИЯ

Парентеральная а/б терапия

ЦЕФАЛОСПОРИНЫ III + МАКРОЛИДЫ


АЛГОРИТМ ЛЕЧЕНИЯ БОЛЬНОГО ВНУТРИБОЛЬНИЧНОЙ ПНЕВМОНИЕЙ С УЧЕТОМ ТЯЖЕСТИ ЗАБОЛЕВАНИЯКЛИНИКО-РЕНТГЕНОЛОГИЧЕСКИЕ ПРИЗНАКИ ПНЕВМОНИИОЦЕНКА ТЯЖЕСТИ И ПРОГНОЗА ПНЕВМОНИЯ ЛЕГКОГО ТЕЧЕНИЯ

Слайд 36 
 АНТИМИКРОБНЫЕ ПРЕПАРАТЫ 1

 
ПЕНИЦИЛЛИНЫ:

ПРИРОДНЫЕ – бензилпенициллин
ПОЛУСИНТЕТИЧЕСКИЕ –
метициллин, оксациллин,
клоксациллин, ампициллин,


амоксициллин, карбенициллин,
азлоцилин и др.

Комбинированные антибиотики
(ампиокс, амоксиклав,
аугментин)


  АНТИМИКРОБНЫЕ ПРЕПАРАТЫ 1  ПЕНИЦИЛЛИНЫ:ПРИРОДНЫЕ – бензилпенициллинПОЛУСИНТЕТИЧЕСКИЕ – метициллин, оксациллин, клоксациллин, ампициллин, амоксициллин, карбенициллин, азлоцилин и др.

Слайд 37 
 АНТИМИКРОБНЫЕ ПРЕПАРАТЫ 2

 
 
ЦЕФАЛОСПОРИНЫ:
ЦФС 1 – высоко активные в отношение грам (+),

стабильны к действию стафилококковой бета-лактамазы, но гидролизуются бета-лактамазами
грам (-) бактериями (цефазолин)


ЦФС II – высоко активны в отношение грам (-) (цефамандол, цефатаксим – клафоран и др.)


ЦФС III – с наибольшей активностью против синегнойной палочки (цефтазидим – фортум)


ЦФС IV– активны против бактероидов и др. анаэробов, стабильны к действию бета-лактамаз ( моксалактам –моксам)


  АНТИМИКРОБНЫЕ ПРЕПАРАТЫ 2  ЦЕФАЛОСПОРИНЫ:ЦФС 1 – высоко активные в отношение грам (+), стабильны к действию стафилококковой бета-лактамазы, но

Слайд 39 
 АНТИМИКРОБНЫЕ ПРЕПАРАТЫ 3

 
КАРБАПЕНЕМЫ:
Высоко активны против грам (-), в том числе
возбудителей

госпитальной пневмонии
(имипенем – целастин, меропенем)


ГЛИКОПЕПТИДЫ:
Действуют на грам (+)
– ванкомицин, ристомицин
 

АМИНОГЛИКОЗИДЫ:
широкий спектр действия,
в том числе на грам (-).
1поколение (мономицин)
2 поколение (гентамицин)
3 поколение (амикацин)
 




  АНТИМИКРОБНЫЕ ПРЕПАРАТЫ 3 КАРБАПЕНЕМЫ:Высоко активны против грам (-), в том числе возбудителей госпитальной пневмонии (имипенем – целастин, меропенем)ГЛИКОПЕПТИДЫ:Действуют

Слайд 40 
 АНТИМИКРОБНЫЕ ПРЕПАРАТЫ 4


МАКРОЛИДЫ:
Накапливаются внутри клетки и применяются при атипичных пневмониях (эритромицин,

спирамицин, сумамед , рулид и др.)
 

ТЕТРАЦИКЛИНЫ:
Широкого спектра действия, в том числе, на внутриклеточно расположенные микроорганизмы (доксициклин, моноциклин и др.)


ФТОРХИНОЛОНЫ:
Широкого спектра действия (ципрофлоксацин, абактал и др)
 




  АНТИМИКРОБНЫЕ ПРЕПАРАТЫ 4МАКРОЛИДЫ:Накапливаются внутри клетки и применяются при атипичных пневмониях (эритромицин, спирамицин, сумамед , рулид и др.) ТЕТРАЦИКЛИНЫ:Широкого

Слайд 41ДЛИТЕЛЬНОСТЬ А/Б ТЕРАПИИ ВНЕБОЛЬНИЧНОЙ ПНЕВМОНИИ
Определяется ответом на терапию, тяжестью пневмонии, наличием

осложнений, этиологическим вариантом

При неосложненном течении пневмонии, вызванной S.pneumoniae или H.influence длительность а/б терапии 7-10 дней

При пневмонии, вызванной внутриклеточными возбудителями, при наличии осложнений (абсцесс и др.) продолжительность лечения может достигать 21 дня




ДЛИТЕЛЬНОСТЬ А/Б ТЕРАПИИ ВНЕБОЛЬНИЧНОЙ ПНЕВМОНИИ	Определяется ответом на терапию, тяжестью пневмонии, наличием осложнений, этиологическим вариантом	При неосложненном течении пневмонии,

Слайд 42РЕНТГЕНОЛОГИЧЕСКОЕ РАЗРЕШЕНИЕ ПНЕВМОНИИ И НОРМАЛИЗАЦИЯ СОЭ ПРОИСХОДЯТ

ПОЗЖЕ, ЧЕМ ИСЧЕЗНОВЕНИЕ ПРИЗНАКОВ ИНТОКСИКАЦИИ И ФИЗИКАЛЬНЫХ СИМПТОМОВ

РЕНТГЕНОЛОГИЧЕСКОЕ РАЗРЕШЕНИЕ   ПНЕВМОНИИ   И НОРМАЛИЗАЦИЯ СОЭ ПРОИСХОДЯТ ПОЗЖЕ, ЧЕМ  ИСЧЕЗНОВЕНИЕ ПРИЗНАКОВ

Что такое shareslide.ru?

Это сайт презентаций, где можно хранить и обмениваться своими презентациями, докладами, проектами, шаблонами в формате PowerPoint с другими пользователями. Мы помогаем школьникам, студентам, учителям, преподавателям хранить и обмениваться учебными материалами.


Для правообладателей

Яндекс.Метрика

Обратная связь

Email: Нажмите что бы посмотреть