Презентация, доклад на тему Урок ЖИТС -ғасыр дерті

Содержание

Ей ұрпағым, есіңді жи, азбаңдарҚиыршық құмдай үгітіліп тозбаңдар,Бойыңдағы қуатыңды жоғалтып,Жақсы үмітпен сеніміңнен таймаңдар,Салауатты өмір салтын сақтаңдар!Болашаққа нықты қадам басыңдар.

Слайд 11-желтоқсан халықаралық ЖИТС пен күрес күні

1-желтоқсан халықаралық ЖИТС пен күрес күні

Слайд 3Ей ұрпағым, есіңді жи, азбаңдар
Қиыршық құмдай үгітіліп тозбаңдар,
Бойыңдағы қуатыңды жоғалтып,
Жақсы үмітпен

сеніміңнен таймаңдар,
Салауатты өмір салтын сақтаңдар!
Болашаққа нықты қадам басыңдар.

Ей ұрпағым, есіңді жи, азбаңдарҚиыршық құмдай үгітіліп тозбаңдар,Бойыңдағы қуатыңды жоғалтып,Жақсы үмітпен сеніміңнен таймаңдар,Салауатты өмір салтын сақтаңдар!Болашаққа нықты

Слайд 4 XXI ғасырда қоғам тек жалаң адамдар тобынан ғана емес,

сонымен бірге денсаулығы мықты, рухани дүниесі бай, жаны мен тәні кіршіксіз таза, танымдық белсенділігі мен өздігінен білім алуға деген ынтасы мен шығармашылық қабілеті ерекше тұлғалардан тұруы тиіс. Олай болса, біз «Салауатты омір салтын» насихаттау, келеңсіз жағдайлардың алдын алып «XXI ғасыр - салауатты қоғам ғасырын» құруымыз керек.
XXI ғасырда қоғам тек жалаң адамдар тобынан ғана емес, сонымен бірге денсаулығы мықты, рухани дүниесі

Слайд 5Соңғы бұқаралық ақпарат құралдарының деректеріне сүйенсек, республика бойынша ерлердің 57 пайызы,

жасөспірімдердің 40 пайызы шылым тартса, ересек адамдардың 55 пайызы үнемі арақ ішеді екен.
Соңғы бұқаралық ақпарат құралдарының деректеріне сүйенсек, республика бойынша ерлердің 57 пайызы, жасөспірімдердің 40 пайызы шылым тартса, ересек

Слайд 6 Мектеп оқушыларының 29,5 пайызы нашақорлыққа ауызданған. Осы әлеуметтік дерт салдарынан

қоғамымызда 10 мыңнан астам жетім, әрбір үшінші сәби өлі немесе кемтар болып өмірге келетінін, балалар үйіндегі балалардың 85 пайызы тірі жетімдер екенін көреміз.

Мектеп оқушыларының 29,5 пайызы нашақорлыққа ауызданған. Осы әлеуметтік дерт салдарынан қоғамымызда 10 мыңнан астам жетім, әрбір

Слайд 8
Олай болса, «салауатты өмір салты» осы келеңсіз жағдайлардың алдын

алу , адамдардың денсаулығын күшейту мен олардың жан-жақты үйлесімді дамуына қалыпты жағдайды туғызуды көздейді.
Олай болса, «салауатты өмір салты» осы келеңсіз жағдайлардың алдын алу , адамдардың денсаулығын күшейту

Слайд 9ЖИТС - ғасыр обасы. ЖИТС - Жұқтырылған Қорғаныш Тапшылығының Белгісі ,

яғни ЖҚТБ. Адам денесінде Т - лимфоцит деп аталатын қан клеткаларының саны күрт төмендейді. Қазақстанда 4,5 мыңнан астам жүре пайда болған иммунитет тапшылығы синдромы, яғни ЖИТС - ке шалдыққан.
Міне, достар өмірдің мәнін мен енді түсінген сияқтымын, сендерге айтарым:
Тек жүзіңді төмен салма,
Нашақорға жолдас болма
Тек көзіңді жасауратпа,
Сенің көзің заман үшін бағалы.
Сеннің әнің асқақ шықса,
Қоғам даңқы жоғары.

ЖИТС - ғасыр обасы. ЖИТС - Жұқтырылған Қорғаныш Тапшылығының Белгісі , яғни ЖҚТБ. Адам денесінде Т -

Слайд 10Бул ауру қашан пайда болды ?
Алғаш белгісіз ауру дүниежүзінде 1978

жылы тіркелген. Кейінірек осы ауруға ғалымдар ЖИТС және оны қоздыратын вирусты АИТВ (АИТВ- адамның иммунды тапшылық қоздырғышы) ашты. Әлі күнге ЖИТС қайдан шыққандығы жөнінде нақты пікір жоқ. Біреулері дерт маймылдан жұқты десе, екінші пікірлер бойынша бұл дерт адам қолдан жасаған жасанды вирустан таралған.
Тек белгілі нәрсе біреу ол: АИТВ/ЖИТС – өлімге апаратын дерт, оған ем болатын әлі дәрі-дәрмек те екпе вакцина да табылмаған. Бұл жұқпалы дерт барлық елдер мен континенттерге таралған. Осы аурудан 14 пен 29 арасындағы жастар көп зардап шегуде.

Бул ауру қашан пайда болды ?  Алғаш белгісіз ауру дүниежүзінде 1978 жылы тіркелген. Кейінірек осы ауруға

Слайд 11Queen рок-группасының көшбасшысы Фредди Меркьюри 1991 жылы ЖИТС-тен қайтыс болды.

Queen рок-группасының көшбасшысы Фредди Меркьюри 1991 жылы ЖИТС-тен қайтыс болды.

Слайд 12
АИВ (ВИЧ) – бұл Адамның Иммундық Тапшылық Вирусы.
ВИЧ - Вирус

Иммунодефицита Человека.
ЖИТС - Жүре пайда болған Иммундық тапшылық синдромы
СПИД - Синдром Приобретенного Иммунодефицита. Есіне сақта: АИВ және ЖИТС – түрлі ұғымдар.
АИВ (ВИЧ) – бұл Адамның Иммундық Тапшылық Вирусы. ВИЧ - Вирус Иммунодефицита Человека. ЖИТС -

Слайд 15Жұқпайды

Жұқпайды

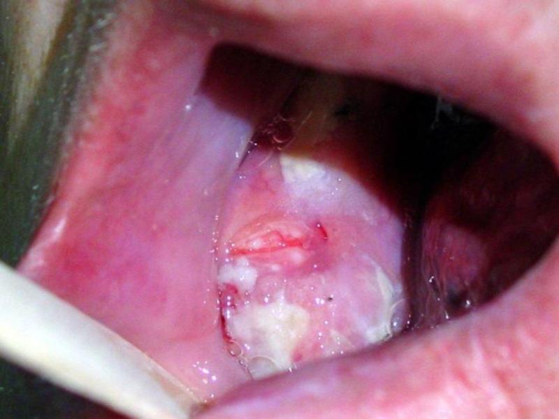
Слайд 19ЖИТС-пен ауырған адамдар

ЖИТС-пен ауырған адамдар

Слайд 29Татуировка-бұл ашық жара, зарарсызданды р-ылмаған құралдар ЖИТС, гепатит жұқтыруы мүмкін

Татуировка-бұл ашық жара, зарарсызданды р-ылмаған құралдар ЖИТС, гепатит жұқтыруы мүмкін

Слайд 31ЖИТС Маңғыстау облыстық орталығы Ақтау қ. мен облыс халқы мен қонақтарының

назарына мынаны жеткізеді. Соңғы кездері ЖЖБЖ (жыныстық жолмен берілетін инфекция), оның ішінде халықтың осал топтары СҚ (секс қызметшілері) арасында АИТВ/ЖИТС ауруының тіркелген жағдайлары орын алды. Қорғаныш құралдарын пайдалану қажеттілігі туралы СҚ қызметін пайдаланатын клиенттерінің естеріне саламыз. Мына телефондар бойынша консультация алуға болады: 50-40-49, 34-12-58.
ЖИТС Маңғыстау облыстық орталығы Ақтау қ. мен облыс халқы мен қонақтарының назарына мынаны жеткізеді. Соңғы кездері ЖЖБЖ

Слайд 32АУЫРЫП ЕМ ІЗДЕГЕНШЕ АУЫРМАЙТЫН ЖОЛ ІЗДЕЙІК

АУЫРЫП ЕМ ІЗДЕГЕНШЕ АУЫРМАЙТЫН ЖОЛ ІЗДЕЙІК

Что такое shareslide.ru?

Это сайт презентаций, где можно хранить и обмениваться своими презентациями, докладами, проектами, шаблонами в формате PowerPoint с другими пользователями. Мы помогаем школьникам, студентам, учителям, преподавателям хранить и обмениваться учебными материалами.


Для правообладателей

Яндекс.Метрика

Обратная связь

Email: Нажмите что бы посмотреть