Презентация, доклад по дисциплине: Основы патологии на тему: Воспаление

Содержание

Альтеративное воспаление

Слайд 1



ВОСПАЛЕНИЕ


Преподаватель анатомии и физиологии человека
Сокор Анна Викторовна

2018г.

ГАПОУ СО «Балашовский медицинский

колледж»
ВОСПАЛЕНИЕ Преподаватель анатомии и физиологии человекаСокор Анна Викторовна2018г.ГАПОУ СО «Балашовский медицинский колледж»

Слайд 4Альтеративное воспаление

Альтеративное воспаление

Слайд 5Экссудативное воспаление

Экссудативное воспаление

Слайд 6Экссудативное воспаление

Экссудативное воспаление

Слайд 7Экссудат

Экссудат

Слайд 8Экссудативное воспаление

Экссудативное воспаление

Слайд 9Гнойный экссудат

Гнойный экссудат

Слайд 10Фагоцитоз при гнойном воспалении

Фагоцитоз при гнойном воспалении

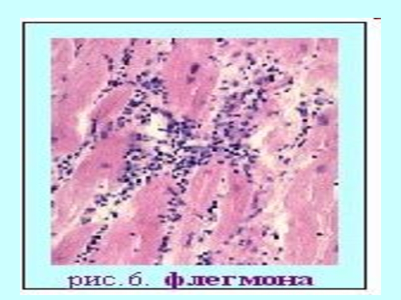
Слайд 11Флегмона
Флегмона (диффузное гнойное воспаление подкожной, за брюшинной, межмышечной жировой клетчатки -,

или стенки полого органа -желудка, аппендикса и др.). Некоторые флегмоны имеют собственные названия:
Паронихий - острое гнойное воспаление околоногтевой клетчатки.
Панариций - острое гнойное воспаление подкожной клетчатки пальца.
Различают мягкую и твердую флегмону. Мягкая флегмона характеризуется отсутствием видимых очагов некроза ткани, в твердой флегмоне возникает коагуляционный некроз клетчатки, ткань становится очень плотной и не подвергается лизису. Погибшая ткань может отторгаться, возникают кровотечения. Обширные флегмоны сопровождаются выраженной интоксикацией и могут приводить к сепсису.
Параметрит- гнойное воспаление около маточной клетчатки.
Парапроктит - воспаление клетчатки, окружающей прямую кишку. Причинами его могут быть, трещины заднего прохода, геморрой.
ФлегмонаФлегмона (диффузное гнойное воспаление подкожной, за брюшинной, межмышечной жировой клетчатки -, или стенки полого органа -желудка, аппендикса

Слайд 15Абсцесс
абсцесс - очаговое гнойное воспаление с расплавлением ткани и образованием полости,

заполненной гноем
.Абсцессы бывают острые и хронические. Стенкой острого абсцесса является пропитанная лейкоцитами ткань органа, в котором он развивается. В хроническом абсцессе стенка трехслойна : пиоидная мембрана, затем слой молодой (грануляционной) соединительной ткани и далее - слой зрелой фиброзной ткани.
При прогрессировании абсцессов гнойное воспаление может распространяться на соседние ткани, полости (возникают эмпиемы). При хроническом течении абсцессов может развиться амилоидоз.
Абсцессабсцесс - очаговое гнойное воспаление с расплавлением ткани и образованием полости, заполненной гноем.Абсцессы бывают острые и хронические.

Слайд 19 Эмпиема - гнойное воспаление с накоплением гноя в полостях (в

плевральной, околосердечной, брюшной, гайморовой, фаллопиевой трубе, червеобразном отростке)
Эмпиема - гнойное воспаление с накоплением гноя в полостях (в плевральной, околосердечной, брюшной, гайморовой, фаллопиевой трубе,

Слайд 20Фурункул
Фурункул - это острое гнойно-некротическое воспаление волосяного фолликула с окружающими

тканями дермы. Вначале фурункул - это красный болезненный узелок около 1 см. К 3-4 дню в его центре образуется желтоватый участок гнойного расплавления ткани. К 7-8 дню фурункул прорывается с отторжением гнойно-некротического "стержня". Позже на месте фурункула развивается рубец.
Карбункул - это группа тесно лежащих фурункулов - обширный плотный гнойный инфильтрат в коже
Наиболее опасны фурункулы и карбункулы лица - они могут привести к менингиту.
Фурункул Фурункул - это острое гнойно-некротическое воспаление волосяного фолликула с окружающими тканями дермы. Вначале фурункул - это

Слайд 21фурункул

фурункул

Слайд 23гидраденит

гидраденит

Слайд 24Ангина

Ангина

Слайд 25Фибринозное воспаление
Одним из самых тяжелых вариантов экссудативного воспаления является также

и фибринозное воспаление Чаще всего оно вызывается возбудителями дифтерии, дизентерии, туберкулеза; эндо- токсинами (при уремии); экзотоксинами (отравление сулемой). В зоне погибших тканей образуется фибрин. Если фибринозное воспаление захватывает большие участки легких (доли), то возникает пневмония с дыхательной недостаточностью
Фибринозное воспаление Одним из самых тяжелых вариантов экссудативного воспаления является также и фибринозное воспаление Чаще всего оно

Слайд 26
Несколько иное значение имеет понятие "крупозное фибринозное воспаление" когда оно развивается

на слизистых. Здесь под "крупозным"воспалением понимают ситуацию, когда фибринозная пленка находится в поверхностных участках слизистых и при ее отторжении нет изъязвлений.
Если альтерация слизистой глубокая и при отторжении фибринозной пленки обнаруживаются кровоточащие глубокие изъязвления, говорят о "дифтеритическом" воспалении.
Несколько иное значение имеет понятие

Слайд 27
В серозных оболочках фибринозное воспаление приводит к образованию спаек (слипчивый перикардит,

плеврит)
Фибринозное воспаление это "знак опасности" оно характерно для дизентерии, дифтерии, почечной недостаточности (уремии).
В серозных оболочках фибринозное воспаление приводит к образованию спаек (слипчивый перикардит, плеврит)  Фибринозное воспаление это

Слайд 31Фибринозное воспаление

Фибринозное воспаление

Слайд 32Геморрагическое воспаление
При геморрагическом воспалении в экссудате преобладают эритроциты. Причины :

опасные инфекции (сибирская язва, чума, геморрагические лихорадки, гипертоксический грипп); тяжелые отравления; последствия лучевых поражений. Исход - как правило смерть.
Геморрагическое воспаление При геморрагическом воспалении в экссудате преобладают эритроциты. Причины : опасные инфекции (сибирская язва, чума, геморрагические

Слайд 33Геморрагическое воспаление кишечника

Геморрагическое воспаление кишечника

Слайд 34Геморрагический васкулит

Геморрагический васкулит

Слайд 35Продуктивное воспаление
Интерстициальное (межуточное)
Воспаление вокруг инородных тел и паразитов с образованием капсулы
Гранулематозное

воспаление
Продуктивное воспалениеИнтерстициальное (межуточное)Воспаление вокруг инородных тел и паразитов с образованием капсулыГранулематозное воспаление

Слайд 38Межуточное воспаление

Межуточное воспаление

Слайд 39Продуктивное воспаление сосуда

Продуктивное воспаление сосуда

Слайд 40Очаги продуктивного воспаления

Очаги продуктивного воспаления

Слайд 41Воспаление вокруг гельминтов

Воспаление вокруг гельминтов

Слайд 44Формирование гранулемы

Формирование гранулемы

Слайд 45Хронический гранулематозный орхит

Хронический гранулематозный орхит

Слайд 47Специфическое воспаление
Специфический возбудитель
Хроническое волнообразное течение
Продуктивное воспаление (гранулематозное) с некрозом, рубцевание, деформацией
Развитие

иммунных реакций
Специфическое воспалениеСпецифический возбудительХроническое волнообразное течениеПродуктивное воспаление (гранулематозное) с некрозом, рубцевание, деформациейРазвитие иммунных реакций

Слайд 48актиномикоз

актиномикоз

Слайд 49бруцеллез

бруцеллез

Слайд 50проказа

проказа

Слайд 51проказа

проказа

Слайд 52проказа

проказа

Слайд 53Туберкулезная гранулема с казеозным некрозом

Туберкулезная гранулема с казеозным некрозом

Слайд 54Туберкулезная гранулема в легком

Туберкулезная гранулема в легком

Слайд 55Структура туберкулезной гранулемы

Структура туберкулезной гранулемы

Слайд 56Милиарный туберкулез легких

Милиарный туберкулез легких

Слайд 57Милиарный туберкулез кожи

Милиарный туберкулез кожи

Слайд 58Третичный сифилис. Формирующаяся гумма

Третичный сифилис. Формирующаяся гумма

Слайд 59Гумма твердого неба

Гумма твердого неба

Что такое shareslide.ru?

Это сайт презентаций, где можно хранить и обмениваться своими презентациями, докладами, проектами, шаблонами в формате PowerPoint с другими пользователями. Мы помогаем школьникам, студентам, учителям, преподавателям хранить и обмениваться учебными материалами.


Для правообладателей

Яндекс.Метрика

Обратная связь

Email: Нажмите что бы посмотреть