Презентация, доклад по физике на тему Звуки,ультразвуки.Применение в медицине

Содержание

История изучения звука. Звуки начали изучать ещё в далёкой древности. Первые наблюдения по акустике были проведены в VI веке до нашей эры. Пифагор установил связь между высотой тона и длиной струны или трубы издающей

Слайд 1«Звуки,ультразвуки .Применение ультразвука в медицине»



«Звуки,ультразвуки .Применение ультразвука в медицине»

Слайд 2
История изучения звука.
Звуки начали изучать ещё в далёкой

древности. Первые наблюдения по акустике были проведены в VI веке до нашей эры. Пифагор установил связь между высотой тона и длиной струны или трубы издающей звук.

В IV в. до н.э. Аристотель первый правильно представил, как распространяется звук в воздухе. Он сказал, что звучащее тело вызывает сжатие и разрежение воздуха и объяснил эхо отраже нием звука от препятствий.

В XV веке Леонардо да Винчи сформулировал принцип независимости звуковых волн от различных источников.

История изучения звука. Звуки начали изучать ещё в далёкой древности. Первые наблюдения по акустике были

Слайд 3Звук - распространяющиеся в упругих средах, газах, жидкостях и твердых телах

механические колебания, воспринимаемые ухом.

Звук (звуковые волны) - это упругие волны, способные вызвать у человека слуховые ощущения.

Процесс распространения звука также представляет собой волну. Впервые это предположение сделал знаменитый английский физик Исаак Ньютон (1643 –1727).

Звук.

Звук - распространяющиеся в упругих средах, газах, жидкостях и твердых телах механические колебания, воспринимаемые ухом.Звук (звуковые волны)

Слайд 4Источники звука.
Мир, в котором мы живем, полон всевозможных звуков. Наш мир

даже научился воспроизводить их, чтобы приманивать птиц и зверей. Шелест листвы, раскаты грома, шум морского прибоя, свист ветра, звериное рычание, пение птиц... Эти звуки слышал еще древний человек.

Мы живем в мире звуков, которые позволяют нам получать информацию о том, что происходит вокруг.

Источники звука.Мир, в котором мы живем, полон всевозможных звуков. Наш мир даже научился воспроизводить их, чтобы приманивать

Слайд 5Камертон -  представляет собой металлическую "рогатку", укрепленную на ящичке, у которого

нет одной стенки. Если специальным резиновым молоточком ударить по "ножкам" камертона, то он будет издавать звук, называемый музыкальным тоном.

Камертон.
Изобретен в 18 веке для настройки музыкальных инструментов.

Камертон -  представляет собой металлическую

Слайд 6Что такое ультразвук?

Что такое ультразвук?

Слайд 7Области практического применения ультразвука.

Области практического применения ультразвука.

Слайд 9Капиллярный эффект.
Кавитация.
Биологический эффект.
Электрические эффекты.
Химические эффекты.
Механические эффекты.
Эффекты вызываемые ультразвуком.

Капиллярный эффект.Кавитация.Биологический эффект.Электрические эффекты.Химические эффекты.Механические эффекты.Эффекты вызываемые ультразвуком.

Слайд 10Доплерографическое исследование в импульсном режиме, регистрирующее скорость кровотока чуть выше уровня

бифуркации аорты.

Эффект Доплера. Доплерография.

Доплерографическое исследование в импульсном режиме, регистрирующее скорость кровотока чуть выше уровня бифуркации аорты.Эффект Доплера. Доплерография.

Слайд 11Ультразвуковые колебания могут разрушать клетку или стимулировать ее жизненные процессы.
Уничтожение

различных болезнетворных бактерий под действием ультразвука.
В мощном ультразвуковом поле погибают такие стойкие бактерии как туберкулезная палочка, разрушается яд дифтерийных бактерий.

Действие ультразвука на живые клетки.

Ультразвуковые колебания могут разрушать клетку или стимулировать ее жизненные процессы. Уничтожение различных болезнетворных бактерий под действием ультразвука.

Слайд 12 Мягкие ткани 1540 м/с
Кость 4620 м/с

Скорость распространения ультразвука.
Распространение звуковой

волны.
Мягкие ткани 1540 м/с	 Кость 4620 м/с Скорость распространения ультразвука.Распространение звуковой волны.

Слайд 13Составляющие системы ультразвуковой диагностики.
Генератор ультразвуковых волн.
Генератором ультразвуковых волн является

передатчик, который одновременно играет роль приемника отраженных эхосигналов.
Генератор работает в импульсном режиме, посылая около 1000 импульсов в секунду.
В промежутках между генерированием ультразвуковых волн пьезодатчик фиксирует отраженные сигналы.

Составляющие системы ультразвуковой диагностики.Генератор ультразвуковых волн.  Генератором ультразвуковых волн является передатчик, который одновременно играет роль приемника

Слайд 14Фокусировка.


Фокусировка.

Слайд 15Чистка ультразвуком.

Чистка ультразвуком.

Слайд 16Низкочастотные ультразвуковые волны в жировой ткани.

Низкочастотные ультразвуковые волны в жировой ткани.

Слайд 18Применение в медицине.
Терапевтическое применение ультразвука в медицине.

Помимо широкого использования в диагностических целях , ультразвук применяется в медицине как лечебное средство.
Ультразвук обладает действием:
противовоспалительным,
рассасывающим
анальгезирующим,
спазмолитическим,
кавитационным усилением проницаемости кожи.

Применение в медицине. Терапевтическое применение ультразвука в медицине.    Помимо широкого использования в диагностических целях

Слайд 19Действие ультразвука.

Под действием ультразвука происходит микромассаж тканей.

Действие ультразвука.Под действием ультразвука происходит микромассаж тканей.

Слайд 20 Эхоэнцефалография.
Применение ультразвука для диагноза при серьезных повреждениях головы позволяет хирургу

определить места кровоизлияний. При использовании переносного зонда можно установить положение срединной линии головного мозга примерно в течение одной минуты. Принцип работы такого зонда основывается на регистрации ультразвукового эха от границы раздела полушарий.
Эхоэнцефалография.Применение ультразвука для диагноза при серьезных повреждениях головы позволяет хирургу определить места кровоизлияний. При использовании переносного

Слайд 21Ультразвуковые зонды применяются для измерения размеров глаза и определения положения хрусталика.
Офтальмология..

Ультразвуковые зонды применяются для измерения размеров глаза и определения положения хрусталика.Офтальмология..

Слайд 224. Внутренние болезни.
Ультразвуковое исследование играет важную роль в постановке

диагноза заболеваний внутренних органов, таких как:
брюшная полость и забрюшинное пространство
печень
жёлчный пузырь и желчевыводящие пути
поджелудочная железа
селезёнка
почки
органы малого таза
мочеточники
мочевой пузырь
предстательная железа
4. Внутренние болезни.  Ультразвуковое исследование играет важную роль в постановке диагноза заболеваний внутренних органов, таких как:брюшная

Слайд 23Срез, сделанный под неправильным углом.
Срез сделанный под правильным углом.
Изображение иглы.
Биопсия под

контролем ультразвука.
Срез, сделанный под неправильным углом.Срез сделанный под правильным углом.Изображение иглы.Биопсия под контролем ультразвука.

Слайд 24Это быстрая и безболезненная процедура по очищению кожи лица с эффектом

микромассажа, рекомендуется аллергикам и людям с чувствительной кожей.

Ультразвуковая чистка.

Это быстрая и безболезненная процедура по очищению кожи лица с эффектом микромассажа, рекомендуется аллергикам и людям с

Слайд 25ПЕЧЕНЬ.
Ультразвуковое исследование печени является достаточно высокоинформативным. Врачом оцениваются размеры печени, её

структура и однородность, наличие очаговых изменений а также состояние кровотока. УЗИ позволяет с достаточно высокой чувствительностью и специфичностью выявить как диффузные изменения печени (жировой гепатоз, хронический гепатит и цирроз), так и очаговые (жидкостные и опухолевые образования). Обязательно следует добавить что любые ультразвуковые заключения исследования как печени, так и других органов, необходимо оценивать только вместе с клиническими, анамнестическими данными, а также данными дополнительных обследований.
ПЕЧЕНЬ.Ультразвуковое исследование печени является достаточно высокоинформативным. Врачом оцениваются размеры печени, её структура и однородность, наличие очаговых изменений

Слайд 26Щитовидная железа.
В исследовании щитовидной железы ультразвуковое исследование является ведущим и позволяет

определить наличие узлов, кист, изменения размера и структуры железы.
Щитовидная железа.В исследовании щитовидной железы ультразвуковое исследование является ведущим и позволяет определить наличие узлов, кист, изменения размера

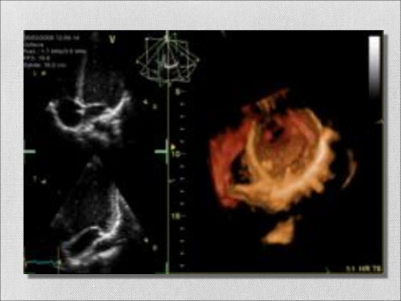
Слайд 27Кардиология, сосудистая кардиохирургия.
Эхокардиография (ЭхоКГ) — это ультразвуковая диагностика заболеваний сердца.
В

этом исследовании оцениваются размеры сердца и его отдельных структур (желудочки, предсердия, межжелудочковая перегородка, толщина миокарда желудочков, предсердий и т. д.), наличие и объем жидкости в перикарде — «сердечной сорочке», состояние клапанов сердца.
С помощью специальных расчетов и измерений Эхокардиография позволяет определить массу сердца, сократительную способность сердца — фракцию выброса и т. д.
Существуют зонды, которые помогают во время операций на сердце следить за работой митрального клапана, расположенного между желудочком и предсердием.
Кардиология, сосудистая кардиохирургия.Эхокардиография (ЭхоКГ) — это ультразвуковая диагностика заболеваний сердца. В этом исследовании оцениваются размеры сердца и

Слайд 29Акушерство, гинекология. Перинатальная диагностика.
Ультразвуковое исследование используется для изучения внутренних половых органов

женщины, состояния беременной матки, анатомии и мониторинга внутриутробного развития плода.
Этот эффект широко применяется в акушерстве, так как звуки, идущие от матки, легко регистрируются. На ранней стадии беременности звук проходит через мочевой пузырь. Когда матка наполняется жидкостью, она сама начинает проводить звук.
Положение плаценты определяется по звукам протекающей через нее крови, а через 9 — 10 недель с момента образования плода прослушивается биение его сердца.
С помощью ультразвукового исследования можно также определять количество зародышей или констатировать смерть плода.
Акушерство, гинекология.  Перинатальная диагностика.Ультразвуковое исследование используется для изучения внутренних половых органов женщины, состояния беременной матки, анатомии

Слайд 30
Воздействие ультразвуком на нижнюю ветвь троичного нерва (аппарат УЗ-Т5).
Различные способы лечения

ультразвуком.
Воздействие ультразвуком на нижнюю ветвь троичного нерва (аппарат УЗ-Т5).Различные способы лечения ультразвуком.

Слайд 31Физиокабинет. УЗИ.

Физиокабинет. УЗИ.

Слайд 32 Проведение ультразвуковых исследований быстро распространяется во всем мире; особо важное значение

такие исследования имеют в акушерстве, они также дают полезную информацию в отношении брюшной полости и мягких тканей. В связи с отсутствием ионизирующей радиации ультразвуковое исследование должно быть предпочтительным методом, обеспечивающим изображение, в случаях получения полезной клинической информации.

Заключение.

ВЫЯВЛЕНЫ СВОЙСТВА УЛЬТРАЗВУКА:
Уменьшает трение по колеблющейся поверхности.
Оказывает тепловое действие.
Уменьшает вязкость вещества.
Образует ветер.
Генерирует стоячую волну.
Выбивает пыль.
Образует в жидкостях кавитационные пузырьки.
Дегазирует жидкость.
Разрушает кристаллы.
Способствует перемешиванию жидкостей.
Распыляет воду.


Проведение ультразвуковых исследований быстро распространяется во всем мире; особо важное значение такие исследования имеют в акушерстве, они

Слайд 33Ультразвук в нашей жизни.

Ультразвук в нашей жизни.

Что такое shareslide.ru?

Это сайт презентаций, где можно хранить и обмениваться своими презентациями, докладами, проектами, шаблонами в формате PowerPoint с другими пользователями. Мы помогаем школьникам, студентам, учителям, преподавателям хранить и обмениваться учебными материалами.


Для правообладателей

Яндекс.Метрика

Обратная связь

Email: Нажмите что бы посмотреть