Презентация, доклад на тему Строение растительной клетки

Клетка – основная структурно – функциональная единица всех живых организмов, элементарная живая система.

Слайд 1


Слайд 2Клетка – основная структурно – функциональная единица всех живых организмов, элементарная

живая система.
Клетка – основная структурно – функциональная единица всех живых организмов, элементарная живая система.

Слайд 3Первые микроскопы появились в начале XVII столетия.

Первые микроскопы появились в начале XVII столетия.

Слайд 81838 г.

1838 г.

Слайд 9Клеточная теория постулирует:
Клетка – элементарная единица живого;
Клетки разных организмов

гомологичны по своему строению;
Размножение клеток происходит путем деления исходной клетки;
Многоклеточные организмы представляют собой сложные ансамбли клеток, объединенные в целостные, интегрированные системы тканей и органов, подчиненных и связанных между собой межклеточными, гуморальными и нервными формами регуляции.
С современных позиций можно добавить еще одно положение:
В клетке содержится вся генетическая информация о строении и функциях организма.
Клеточная теория постулирует: Клетка – элементарная единица живого; Клетки разных организмов гомологичны по своему строению; Размножение клеток

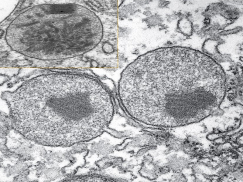
Слайд 29Лизосомы под микроскопом

Лизосомы под микроскопом

Слайд 32Митохондрии

Митохондрии

Что такое shareslide.ru?

Это сайт презентаций, где можно хранить и обмениваться своими презентациями, докладами, проектами, шаблонами в формате PowerPoint с другими пользователями. Мы помогаем школьникам, студентам, учителям, преподавателям хранить и обмениваться учебными материалами.


Для правообладателей

Яндекс.Метрика

Обратная связь

Email: Нажмите что бы посмотреть