Презентация, доклад по биологии на тему Зубы

Содержание

Важной частью речевого и жевательного аппарата человека являются зубы. Они принимают участие в дыхании и жевании, в формировании голоса и речи.

Слайд 1ЗУБЫ

ЗУБЫ

Слайд 2Важной частью речевого и жевательного аппарата человека являются зубы. Они принимают

участие в дыхании и жевании, в формировании голоса и речи.
Важной частью речевого и жевательного аппарата человека являются зубы. Они принимают участие в дыхании и жевании, в

Слайд 3Зубы неспособны к самовосстановлению, а их прочность — весьма кажущаяся. Знание

строения зубов помогает человеку правильно о них заботиться и ориентироваться в рекомендациях стоматологов.
Зубы неспособны к самовосстановлению, а их прочность — весьма кажущаяся. Знание строения зубов помогает человеку правильно о

Слайд 4Зуб состоит преимущественно из дентина с полостью, покрытого снаружи эмалью и

цементом. Зуб имеет характерную форму и строение, занимает определенное положение в зубном ряду, построен из специальных тканей, имеет собственный нервный аппарат, кровеносные и лимфатические сосуды. В норме у человека имеется от 28 до 32 зубов. Отсутствие третьих моляров, называемых «зубами мудрости» является нормой, а сами третьи моляры увеличивающимся числом учёных уже считаются атавизмом, но это на данный момент спорный вопрос.
Зуб состоит преимущественно из дентина с полостью, покрытого снаружи эмалью и цементом. Зуб имеет характерную форму и

Слайд 6Внутри зуба находится рыхлая соединительная ткань, пронизанная нервами и кровеносными сосудами

(пульпа).
Внутри зуба находится рыхлая соединительная ткань, пронизанная нервами и кровеносными сосудами (пульпа).

Слайд 7Различают молочные и постоянные зубы — временный и постоянный прикус.
Во

временном прикусе присутствует :
8 резцов
4 клыка
8 моляров
всего 20 зубов.
Постоянный прикус состоит из 8 резцов, 4 клыков, 8 премоляров и 8—12 моляров.

Различают молочные и постоянные зубы — временный и постоянный прикус. Во временном прикусе присутствует :8 резцов 4

Слайд 9 Полный их набор включает 32 зуба: 8 (четыре верхних и

четыре нижних), 4 клыка (два верхних и два нижних), восемь премоляров (четыре верхних и четыре нижних) и 12 (шесть верхних и шесть нижних).
Полный их набор включает 32 зуба: 8 (четыре верхних и четыре нижних), 4 клыка (два верхних

Слайд 10У детей молочные зубы начинают прорезаться в возрасте от 3 месяцев.

В период от 6 до 13 лет молочные зубы постепенно заменяются постоянными
У детей молочные зубы начинают прорезаться в возрасте от 3 месяцев. В период от 6 до 13

Слайд 11Типы и функции зубов
По основной функции зубы делятся на 4 типа:
Резцы —

передние зубы, которые прорезаются первыми у детей, служат для захватывания и разрезания пищи
Клыки — конусовидные зубы, которые служат для разрывания и удержания пищи
Премоляры (малые коренные)
Моляры (большие коренные) — задние зубы, которые служат для перетирания пищи, имеют чаще три корня на верхней челюсти и два — на нижней

Типы и функции зубовПо основной функции зубы делятся на 4 типа:Резцы — передние зубы, которые прорезаются первыми у

Слайд 12Коронка — это часть, которая выступает над десной.

Коронка — это часть, которая выступает над десной.

Слайд 13Шейка зуба соединяет коронку и корень.

Шейка зуба соединяет коронку и корень.

Слайд 14Корень расположен в небольшом углублении — зубной альвеоле.

Корень расположен в небольшом углублении — зубной альвеоле.

Слайд 15Биохимический состав тканей зуба человека (% влажной массы тканного компонента)

Биохимический состав тканей зуба человека (% влажной массы тканного компонента)

Слайд 16Биохимический состав тканей зуба человека (% сухой массы тканного компонента)

Биохимический состав тканей зуба человека (% сухой массы тканного компонента)

Слайд 17Органические компоненты зуба — это белки, углеводы, липиды, нуклеиновые кислоты, витамины,

ферменты, гормоны, органические кислоты.
Органические компоненты зуба — это белки, углеводы, липиды, нуклеиновые кислоты, витамины, ферменты, гормоны, органические кислоты.

Слайд 18Биохимическая характеристика отдельных тканных компонентов зуба
Эмаль — наиболее твёрдая минерализованная ткань,

которая размещается поверх дентина и внешне покрывает коронку зуба. Эмаль составляет 20-25 % зубной ткани, толщина её шара максимальная в участке жевательных вершин, где она достигает 2,3-3,5 мм, а на латеральных поверхностях — 1,0-1,3 мм.
Высокая твердость эмали обуславливается высокой ступенью минерализации ткани. Эмаль содержит 96 % минеральных веществ, 1,2 % органических соединений и 2,3 % воды. Часть воды находится в связанной форме, формируя гидратную оболочку кристаллов, а часть (в форме свободной воды) заполняет микропространства.

Биохимическая характеристика отдельных тканных компонентов зубаЭмаль — наиболее твёрдая минерализованная ткань, которая размещается поверх дентина и внешне

Слайд 19Дентин — минерализованная, бесклеточная, бессосудистая ткань зуба, которая образует основную его

массу и по строению принимает промежуточное положение между костной тканью и эмалью. Он твёрже кости и цемента, но в 4-5 раз мягче эмали. Зрелый дентин содержит 69 % неорганических веществ, 18 % органических и 13 % воды (что соответственно в 10 и в 5 раз больше, чем у эмали).
Дентин — минерализованная, бесклеточная, бессосудистая ткань зуба, которая образует основную его массу и по строению принимает промежуточное

Слайд 20Пульпа зуба — это сильно васкуляризированная и иннервированная специализированная волокнистая соединительная

ткань, которая заполняет пульповую камеру коронки и канала корня. Она состоит из клеток (одонтобластов, фибробластов, микрофагов, дендритных клеток, лимфоцитов, тучных клеток) и межклеточного вещества, а также содержит волокнистые структуры.
Пульпа зуба — это сильно васкуляризированная и иннервированная специализированная волокнистая соединительная ткань, которая заполняет пульповую камеру коронки

Слайд 21Общие функции зубов
Механическая обработка пищи
Удержание пищи
Участие в образовании звуков речи
Эстетическая — являются

важной частью рта

Общие функции зубовМеханическая обработка пищиУдержание пищиУчастие в образовании звуков речиЭстетическая — являются важной частью рта

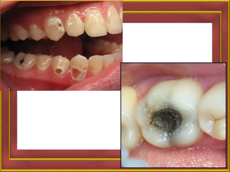
Слайд 22Заболевания зубов
Кариес
Патологическая стираемость зубов
Пульпит
Периодонтит
Пародонтит
Зубной камень
Цементома

Заболевания зубовКариесПатологическая стираемость зубовПульпитПериодонтитПародонтитЗубной каменьЦементома

Что такое shareslide.ru?

Это сайт презентаций, где можно хранить и обмениваться своими презентациями, докладами, проектами, шаблонами в формате PowerPoint с другими пользователями. Мы помогаем школьникам, студентам, учителям, преподавателям хранить и обмениваться учебными материалами.


Для правообладателей

Яндекс.Метрика

Обратная связь

Email: Нажмите что бы посмотреть