Презентация, доклад по биологии на тему Кровь (8 класс)

Внутренняя среда организмаКровьМежклеточная жидкостьЛимфа

Слайд 1Кровь и остальные компоненты внутренней среды организма

Кровь и остальные компоненты внутренней среды организма

Слайд 2
Внутренняя среда организма
Кровь
Межклеточная жидкость
Лимфа

Внутренняя среда организмаКровьМежклеточная жидкостьЛимфа

Слайд 3Межклеточная жидкость

Межклеточная жидкость

Слайд 4Лимфа

Лимфа

Слайд 8Плазма

Плазма

Слайд 9Форменные элементы крови

Форменные  элементы  крови

Слайд 15Лейкоциты

Лейкоциты

Слайд 18Тромбоциты

Тромбоциты

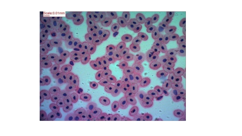
Слайд 21«Микроскопическое строение крови человека и лягушки»

«Микроскопическое строение крови человека и лягушки»

Что такое shareslide.ru?

Это сайт презентаций, где можно хранить и обмениваться своими презентациями, докладами, проектами, шаблонами в формате PowerPoint с другими пользователями. Мы помогаем школьникам, студентам, учителям, преподавателям хранить и обмениваться учебными материалами.


Для правообладателей

Яндекс.Метрика

Обратная связь

Email: Нажмите что бы посмотреть