Презентация, доклад по биологии Лабораторная работа Микроскопическое строение крови человека и лягушки. (8 класс)

Кровь лягушки

Слайд 1Лабораторная работа «Микроскопическое строение крови человека и лягушки».
Цель: изучить строение крови человека

и лягушки. Сравнить и определить, чья кровь способна переносить больше кислорода.



Лабораторная работа «Микроскопическое строение крови человека и лягушки».Цель: изучить строение крови человека и лягушки. Сравнить и определить,

Слайд 2Кровь лягушки



Кровь лягушки

Слайд 3Кровь человека



Кровь человека

Слайд 4Ход работы
Кровь человека
1. Рассмотреть препарат крови человека под большим увеличением

2. Какова форма, относительная величина и количество
эритроцитов и лейкоцитов?
3. Зарисуйте 3 – 4 эритроцита и 1 лейкоцит, обозначьте клетки и
ядро лейкоцита.
Кровь лягушки
1. При том же увеличении микроскопа рассмотрите препарат крови
лягушки.
2. Какова относительная величина, форма и количество эритроцитов и
лейкоцитов в препарате?
3. Зарисуйте 3 – 4 эритроцита и 1 лейкоцит, обозначьте клетки и их ядра.




Ход работыКровь человека 1. Рассмотреть препарат крови человека под большим увеличением 2. Какова форма, относительная величина и

Слайд 6Эритроциты
клеточная мембрана
цитоплазма



Кровь человека

Эритроцитыклеточная мембранацитоплазмаКровь человека

Слайд 7Эритроциты (от греч. ἐρυθρός — красный и κύτος — вместилище, клетка)

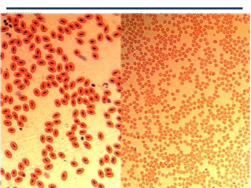
- красные кровяные клетки крови. Имеют форму двояковогнутых дисков и напоминают сплющенный шаровидный предмет или круг с уплощенными краями. У млекопитающих эритроциты не имеют ядра. Переносят кислород от органов дыхания к тканям и диоксид углерода от тканей к органам дыхания. Содержимое эритроцитов представлено главным образом дыхательным пигментом – гемоглобином, обуславливающим красный цвет крови. Количество эритроцитов в крови в норме поддерживается на постоянном уровне (у человека в 1 мм³ крови 4,5 – 5 млн. эритроцитов). Продолжительность жизни эритроцитов до 130 дней, после чего они разрушаются в печени и селезенке.
Эритроциты (от греч. ἐρυθρός — красный и κύτος — вместилище, клетка) - красные кровяные клетки крови. Имеют

Слайд 8Эритроциты
клеточная мембрана
цитоплазма
ядро




Кровь лягушки

Эритроцитыклеточная мембранацитоплазмаядроКровь лягушки

Слайд 9Эритроциты лягушки – это клетки правильной овальной формы с гомогенной цитоплазмой

интенсивно розового цвета. В центре клетки расположено ядро, имеющее вытянутую овальную форму.
Эритроциты лягушки – это клетки правильной овальной формы с гомогенной цитоплазмой интенсивно розового цвета. В центре клетки

Слайд 10Сравните эритроциты лягушки и человека
?
?
?
Клеточная мембрана
Цитоплазма
Ядро

Сравните эритроциты лягушки и человека???Клеточная мембранаЦитоплазмаЯдро

Слайд 11Вывод


Вывод

Слайд 12Наличие ядра
Форма вогнутого диска
Функция – перенос кислорода
Форма выпуклого диска
Наличие гемоглобина
Большое количество
Наличие

клеточной мембраны

Клетки крупные

Клетки мелкие


Характерные для лягушки

Общие для двух организмов

Характерные для человека

Распределите признаки эритроцитов в три колонки

Наличие ядраФорма вогнутого дискаФункция – перенос кислородаФорма выпуклого дискаНаличие гемоглобинаБольшое количествоНаличие клеточной мембраныКлетки крупныеКлетки мелкиеХарактерные для лягушкиОбщие

Слайд 13Сделайте вывод
Каково значение выявленных различий в строении эритроцитов лягушки и человека?

Сделайте выводКаково значение выявленных различий в строении эритроцитов лягушки и человека?

Слайд 14ПРАВИЛЬНЫЙ ОТВЕТ
Эритроциты человека,
в отличие от эритроцитов лягушки,
не имеют ядра

и приобрели двояковогнутую форму.
Двояковогнутая форма эритроцита человека
увеличивает поверхность клетки,
а место ядра в них заполняется гемоглобином,
поэтому каждый эритроцит человека
может захватывать больше кислорода,
чем эритроциты лягушки.

Эритроциты человека меньше по размерам, чем эритроциты лягушки, поэтому в крови человека в единице объема количество эритроцитов больше (в 1 мм3 5 млн.), чем в крови у лягушки.
Исходя из особенностей строения эритроцитов и большого их количества в крови человека, следует, что кровь человека содержит больше кислорода, чем кровь лягушки. Дыхательная функция крови человека значительно эффективнее, чем у земноводных животных.


ПРАВИЛЬНЫЙ ОТВЕТ  Эритроциты человека, в отличие от эритроцитов лягушки, не имеют ядра и приобрели двояковогнутую форму.

Что такое shareslide.ru?

Это сайт презентаций, где можно хранить и обмениваться своими презентациями, докладами, проектами, шаблонами в формате PowerPoint с другими пользователями. Мы помогаем школьникам, студентам, учителям, преподавателям хранить и обмениваться учебными материалами.


Для правообладателей

Яндекс.Метрика

Обратная связь

Email: Нажмите что бы посмотреть