Презентация, доклад ПМ 02 МДК 02.01 УТ Лечение пациентов неврологического профиля по теме Наследственне дегенеративные заболевания нервной системы. Опухоли ЦНС. Интоксикационныен поражения ЦНС

Содержание

ПЛАН ЛЕКЦИИ 1. Наследственные, демиелинизирующие болезни ЦНС(Хорея Гентингтона, наследственная атаксия, рассеянный склероз, болезнь Паркинсона, паркинсонизм, спастическая кривошея, миастения, миопатия, миотония, сирингомиелия, боковой амиотрофический склероз). 2.Интоксикационные поражения нервной системы . 3.Объемные процессы центральной нервной системы.

Слайд 1НАСЛЕДСТВЕННЫЕ, ДЕМИЕЛИНИЗИРУЮЩИЕ БОЛЕЗНИ ЦНС. ИНТОКСИКАЦИОННЫЕ ПОРАЖЕНИЯ ЦНС. ОБЪЕМНЫЕ ПРОЦЕССЫ ЦНС

НАСЛЕДСТВЕННЫЕ, ДЕМИЕЛИНИЗИРУЮЩИЕ БОЛЕЗНИ ЦНС. ИНТОКСИКАЦИОННЫЕ ПОРАЖЕНИЯ ЦНС.  ОБЪЕМНЫЕ ПРОЦЕССЫ ЦНС

Слайд 2ПЛАН ЛЕКЦИИ
1. Наследственные, демиелинизирующие болезни ЦНС(Хорея Гентингтона, наследственная атаксия, рассеянный склероз,

болезнь Паркинсона, паркинсонизм, спастическая кривошея, миастения, миопатия, миотония, сирингомиелия, боковой амиотрофический склероз). 2.Интоксикационные поражения нервной системы . 3.Объемные процессы центральной нервной системы.
ПЛАН ЛЕКЦИИ 1. Наследственные, демиелинизирующие болезни ЦНС(Хорея Гентингтона, наследственная атаксия, рассеянный склероз, болезнь Паркинсона, паркинсонизм, спастическая кривошея,

Слайд 3
Наследственные, демиелинизирующие болезни ЦНС

Наследственные, демиелинизирующие болезни ЦНС

Слайд 4 ХОРЕЯ ГЕНТИНГТОНА
Хроническая прогрессирующая хорея, хореическая деменция, хроническое

прогрессирующее заболевание. Основной признак -хореический гиперкинез и деградация интеллекта. Наследственное заболевание, передается по аутосомно-доминантному типу. Передают болезнь детям только больные родители.
ХОРЕЯ ГЕНТИНГТОНА  Хроническая прогрессирующая хорея, хореическая деменция, хроническое прогрессирующее заболевание. Основной признак -хореический

Слайд 5
Средний возраст начала заболевания 35 лет.
Течение болезни - хроническое, прогрессирующее;

заболевание может тянуться десятилетиями.
Средняя продолжительность жизни больных около 53 лет.

Средний возраст начала заболевания 35 лет. Течение болезни - хроническое, прогрессирующее; заболевание может тянуться десятилетиями. Средняя продолжительность

Слайд 6КЛИНИКА
Хореический гиперкинез с объемистыми, быстрыми, неритмичными непроизвольными движениями, возникающими беспорядочно в

различных мышечных группах, все произвольные движения кажутся причудливо измененными - больные гримасничают, нелепо жестикулируют, при ходьбе раскачиваются, пританцовывают, широко разбрасывают руки.
Речь медленная, неравномерная, сопровождается лишними звуками.

КЛИНИКАХореический гиперкинез с объемистыми, быстрыми, неритмичными непроизвольными движениями, возникающими беспорядочно в различных мышечных группах, все произвольные движения

Слайд 7
Психические нарушения проявляются в виде эмоциональной неустойчивости, повышенной раздражительности, двигательного беспокойства,

иногда апатии или возбуждения, бредовых идей (асоциальные поступки, суицидальные попытки). Деградирует интеллект, память,внимание, резко сужается круг интересов, утрачивается возможность умственной работы, больные становятся дементными.
Психические нарушения проявляются в виде эмоциональной неустойчивости, повышенной раздражительности, двигательного беспокойства, иногда апатии или возбуждения, бредовых идей

Слайд 8ЛЕЧЕНИЕ
Специфической фармакотерапии ХГ не существует. Симтоматическая терапия: 1.Антипсихотики(галоперидол, рисперидон таблетки).

2.Бензодиазепины(при сопутствующих тревожных расстройствах- клоназепам, диазепам) .
3. Препараты вальпроевой кислоты(антиконвульсанты- депакин, конвулекс) .
4. Антидепрессанты( пароксетин,таблетки).




ЛЕЧЕНИЕ Специфической фармакотерапии ХГ не существует.  Симтоматическая терапия: 1.Антипсихотики(галоперидол, рисперидон таблетки).  2.Бензодиазепины(при сопутствующих тревожных расстройствах-

Слайд 9ПРОФИЛАКТИКА
Генные исследования не выявляют патологический ген. Лицам с изменениями психики, происходящим из

семей со случаями ХГ, иметь детей не рекомендуется, так как вероятность заболевания их хореей Гентингтона равна 50%. При отсутствии каких-либо патологических признаков у лиц, имеющих родителей, страдающих хореей Гентингтона, вероятность заболевания их детей составляет 25%.
ПРОФИЛАКТИКАГенные исследования не выявляют патологический ген. Лицам с изменениями психики, происходящим из семей со случаями ХГ, иметь

Слайд 13 АТАКСИЯ НАСЛЕДСТВЕННАЯ МОЗЖЕЧКОВАЯ ПЬЕРА-МАРИ
Хроническое прогрессирующее заболевание, основным проявлением которого служит

мозжечковая атаксия. Заболевание наследственное, передается по аутосомно-доминантному типу.
Средний возраст начала болезни-34 года, в отдельных семьях- более раннее начало в последующих поколениях. Течение заболевания - неуклонно прогрессирующее, различные инфекции и другие экзогенные вредности оказывают неблагоприятное влияние на проявляемость и течение заболевания.

АТАКСИЯ НАСЛЕДСТВЕННАЯ МОЗЖЕЧКОВАЯ ПЬЕРА-МАРИХроническое прогрессирующее заболевание, основным проявлением которого служит мозжечковая атаксия. Заболевание наследственное, передается по

Слайд 14КЛИНИКА
Нарушения походки--- атаксия в руках---нарушение речи, мимики ---дисметрия---адиадохокинез--- стреляющие боли в

ногах и в области поясницы--- непроизвольные мышечные вздрагивания--- снижение силы в мышцах конечностей ---спастическое повышение мышечного тонуса--- птоз--- атрофия зрительных нервов ---сужение полей зрения и остроты зрения изменения психики(снижение интеллекта, депрессивные состояния).
КЛИНИКАНарушения походки--- атаксия в руках---нарушение речи, мимики ---дисметрия---адиадохокинез--- стреляющие боли в ногах и в области поясницы--- непроизвольные

Слайд 15ЛЕЧЕНИЕ
Симптоматическое

ЛЕЧЕНИЕСимптоматическое

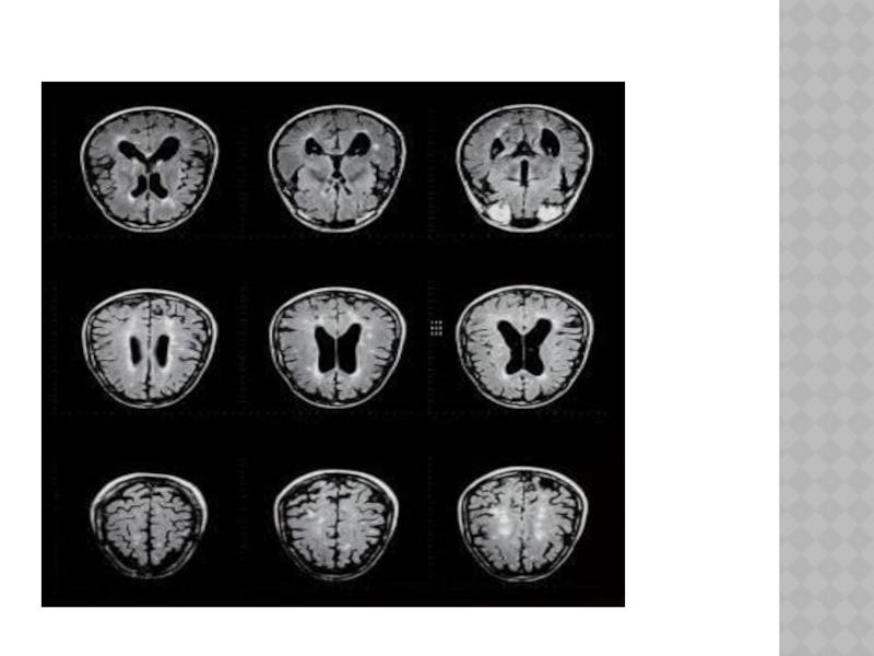
Слайд 17РАССЕЯННЫЙ СКЛЕРОЗ
Хроническое демиелинизирующее заболевание, характеризующееся признаками многоочагового поражения нервной системы, протекающее

с обострениями и ремиссиями.
Ж. Шарко в 1866 г. Частота заболевания 2-7 на 10 000 населения.
Женщины болеют почти в 2 раза чаще.

Заболевают преимущественно в возрасте от 15 до 40 лет, реже - в детском и пожилом возрасте.

РАССЕЯННЫЙ СКЛЕРОЗХроническое демиелинизирующее заболевание, характеризующееся признаками многоочагового поражения нервной системы, протекающее с обострениями и ремиссиями. Ж. Шарко

Слайд 18ПРИЧИНЫ РАЗВИТИЯ РАССЕЯННОГО СКЛЕРОЗА
Полиэтиологическое заболевание.
1.Вирусная инфекция (ретровирусы, человеческий вирус герпес-6,

парамиксовирусы кори, коронавирусы, аденовирусы и др.) . 2. Бактериальная инфекция .
ПРИЧИНЫ РАЗВИТИЯ РАССЕЯННОГО СКЛЕРОЗА Полиэтиологическое заболевание. 1.Вирусная инфекция (ретровирусы, человеческий вирус герпес-6, парамиксовирусы кори, коронавирусы, аденовирусы и др.)

Слайд 19КЛИНИКА
Начало незаметное, моносимптомное/ остро с множественными неврологическими симптомами.
Ретробульбарный неврит(ощущение нечеткости

изображения, преходящая слепота, снижение остроты зрения, скотомы)---диплопия, косоглазие ---моно-, геми- или парапарез с высокими глубокими рефлексами, клонусами стоп--- мозжечковые нарушения(шаткость при ходьбе, интенционное дрожание)---расстройства чувствительности в конечностях (онемение, парестезии)---нарушение функции тазовых органов--- эмоциональная неустойчивость(эйфория,депрессия, раздражительности, вялость, апатия, снижение интеллекта различной степени вплоть до дементации).

КЛИНИКАНачало незаметное, моносимптомное/ остро с множественными неврологическими симптомами. Ретробульбарный неврит(ощущение нечеткости изображения, преходящая слепота, снижение остроты зрения,

Слайд 20
В зависимости от локализации бляшек рассеянного склероза различают клинические формы заболевания:

церебральную, цереброспинальную, мозжечковую, стволовую, спинальную, а также оптическую.
В зависимости от локализации бляшек рассеянного склероза различают клинические формы заболевания: церебральную, цереброспинальную, мозжечковую, стволовую, спинальную, а

Слайд 21ДИАГНОСТИКА
-анамнез(начало болезни в раннем возрасте); -обнаружение клинических симптомов, указывающих на поражения

не менее 2-3 систем (например, мозжечковой, пирамидной, глазодвигательной и др.).
ДИАГНОСТИКА-анамнез(начало болезни в раннем возрасте);  -обнаружение клинических симптомов, указывающих на поражения не менее 2-3 систем (например,

Слайд 22ЛЕЧЕНИЕ
1.Группа гормональных противовоспалительных средств - кортикостероиды и кортикотропный гормон.
2.Препараты действующие непосредственно

на клетки иммунной системы - иммуносупрессоры и интерфероны.
3.Вещества, улучшающие проведение нервных импульсов и питание нейронов - биополимеры, нестероидные противовоспалительные средства. В комплекс лечебных мер входят так же плазмоферез, массаж, профилактика воспалительных осложнений кожи, дыхательных и мочевых путей.

ЛЕЧЕНИЕ1.Группа гормональных противовоспалительных средств - кортикостероиды и кортикотропный гормон.2.Препараты действующие непосредственно на клетки иммунной системы - иммуносупрессоры

Слайд 23 БОЛЕЗНЬ ПАРКИНСОНА
Впервые заболевание описано Дж. Паркинсоном в 1817 г.

Заболеваемость паркинсонизмом в Европе составляет 1 % среди населения до 60 лет, 5-10% в группе 60-80 лет, свыше 20% после 80 лет и составляет величину от 60 до 140 случаев на 100000 населения. Тип наследования для основных семейных форм - доминантный, для редких ювенильных вариантов - аутосомно- рецессивный.
БОЛЕЗНЬ ПАРКИНСОНА Впервые заболевание описано Дж. Паркинсоном в 1817 г. Заболеваемость паркинсонизмом в Европе составляет 1

Слайд 24РАЗЛИЧАЮТ
Первичный(семейный)паркинсонизм- болезнь Паркинсона.
Вторичный (симптоматический) паркинсонизм. Он обусловлен воспалительными заболеваниями

головного мозга, атеросклерозом, интоксикациями, приемом нейролептиков.
РАЗЛИЧАЮТПервичный(семейный)паркинсонизм- болезнь Паркинсона.  Вторичный (симптоматический) паркинсонизм. Он обусловлен воспалительными заболеваниями головного мозга, атеросклерозом, интоксикациями, приемом нейролептиков.

Слайд 25КЛИНИКА
Пластическая ригидность, гипокинезия (акинезия), тремор, шаркающая походка, маскообразное лицо, монотонная тихая

речь, микрография, вегетативные расстройства, «сгибательная» поза, симптом «зубчатого колеса», пропульсия, ретропульсия, латеропульсия.
КЛИНИКАПластическая ригидность, гипокинезия (акинезия), тремор, шаркающая походка, маскообразное лицо, монотонная тихая речь, микрография, вегетативные расстройства, «сгибательная» поза,

Слайд 26ДИАГНОСТИКА
Специфических инструментально-лабораторных критериев нет.

ДИАГНОСТИКАСпецифических инструментально-лабораторных критериев нет.

Слайд 27ЛЕЧЕНИЕ
1.Центральные холинолитики, блокирующие М-холинорецепторы в ЦНС: циклодол, паркопан, динезин, тропацин, норакин,

амедин - назначаются в постепенно нарастающей дозе.
2. Мидантан (амантадин) стимулирует выделение дофамина из пресинаптических окончаний. 3. Трициклические антидепрессанты (амитриптилин, имипрамин) .
4. Ингибиторы моноаминооксидазы (МАО)-юмекс (селегилин, L-деnренил).
5. ЛФК, массаж, общеукрепляющая терапия. В среднем через 3-6 лет развивается резистентность к медикаментозной терапии, сопровождающаяся появлением побочных эффектов.

ЛЕЧЕНИЕ1.Центральные холинолитики, блокирующие М-холинорецепторы в ЦНС: циклодол, паркопан, динезин, тропацин, норакин, амедин - назначаются в постепенно нарастающей

Слайд 30
Десять известных людей, с болезнью Паркинсона

Десять известных людей, с болезнью Паркинсона

Слайд 41ДЕТСКИЙ ЦЕРЕБРАЛЬНЫЙ ПАРАЛИЧ (ДЦП).
Группа заболеваний возникающих в перинатальном периоде, с различной

этиологией, патогенезом и общим клиническим признаком в виде двигательных расстройств.
Причиной заболевания могут быть самые разнообразные неблагоприятные воздействия на плод во время беременности: травмы живота, токсикоз, асфиксия плода, вирусные заболевания у беременной, внутримозговая гематома плода.
ДЕТСКИЙ ЦЕРЕБРАЛЬНЫЙ ПАРАЛИЧ (ДЦП). Группа заболеваний возникающих в перинатальном периоде, с различной этиологией, патогенезом и общим клиническим

Слайд 42
Симптомы заболевания проявляются с рождения. В зависимости от их характера, проводимого

лечения, влияния дополнительных вредных факторов они могут нарастать, уменьшаться или оставаться на прежнем уровне.
Различают четыре основные клинические формы: диплегическую, гемиплегическую, гиперкинетическую и мозжечковую.

Симптомы заболевания проявляются с рождения. В зависимости от их характера, проводимого лечения, влияния дополнительных вредных факторов они

Слайд 43ДИПЛЕГИЧЕСКАЯ ФОРМА (БОЛЕЗНЬ ЛИТТЛЯ)
Родовая травма/асфиксия.
Поражаются верхние отделы прецентральных извилин- спастические

парезы/параличи ног. Проявляется малоподвижностью ребенка при пеленании, купании. Ножки ребенка приведены одна к другой, перекрещены, стопы согнуты, тонус в них резко повышен. Дети плохо развиваются физически, поздно начинают держать голову, переворачиваться, сидеть, ходить. При попытке ходьбы ноги максимально выпрямлены, прижаты друг к другу, стопа ставится на кончики пальцев.

ДИПЛЕГИЧЕСКАЯ ФОРМА (БОЛЕЗНЬ ЛИТТЛЯ)Родовая травма/асфиксия. Поражаются верхние отделы прецентральных извилин- спастические парезы/параличи ног. Проявляется малоподвижностью ребенка при

Слайд 44ГЕМИПЛЕГИЧЕСКАЯ ФОРМА
Характеризуется односторонними или двусторонними (тетраплегическая) спастическими параличами,нарушаются двигательные функции всех

конечностей или конечностей одной половины тела.

ГЕМИПЛЕГИЧЕСКАЯ ФОРМАХарактеризуется односторонними или двусторонними (тетраплегическая) спастическими параличами,нарушаются двигательные функции всех конечностей или конечностей одной половины тела.

Слайд 45ГИПЕРКИНЕТИЧЕСКАЯ ФОРМА
Врожденная хорея, врожденный двойной атетоз, атипичные гиперкинезы.

ГИПЕРКИНЕТИЧЕСКАЯ ФОРМАВрожденная хорея, врожденный двойной атетоз, атипичные гиперкинезы.

Слайд 46МОЗЖЕЧКОЕАЯ ФОРМА
Обусловлена поражением мозжечка и выражается нарушением координации, гипотонией мышц, скандированной

речью.

МОЗЖЕЧКОЕАЯ ФОРМАОбусловлена поражением мозжечка и выражается нарушением координации, гипотонией мышц, скандированной речью.

Слайд 47
При всех формах ДЦП -поражение черепных нервов и чувствительности. Интеллект страдает

в разной степени - от задержек умственного развития до идиотии.

При всех формах ДЦП -поражение черепных нервов и чувствительности. Интеллект страдает в разной степени - от задержек

Слайд 48ЛЕЧЕНИЕ.
Планомерное, длительное, комплексное.
ЛФК и массаж проводятся 1-2 раза вдень по 40-50

мин систематически в течение ряда лет. Физиотерапевтическое лечение состоит из тепловых процедур, ванн, электростимуляuии.
При наличии контрактур используют ортопедические методы лечения, в том числе и хирургические.

ЛЕЧЕНИЕ.Планомерное, длительное, комплексное.ЛФК и массаж проводятся 1-2 раза вдень по 40-50 мин систематически в течение ряда лет.

Слайд 49
Медикаментозное воздействие направлено на снижение мышечного тонуса (мелликтин, мидокалм, баклофен), уменьшение

гиперкинезов (динезин, циклодол, галоперидол), улучшение внутримозгового метаболизма (ноотропил, иеребролизин, пирацетам, витамины).
Медикаментозное воздействие направлено на снижение мышечного тонуса (мелликтин, мидокалм, баклофен), уменьшение гиперкинезов (динезин, циклодол, галоперидол), улучшение внутримозгового

Слайд 55СПАСТИЧЕСКАЯ КРИВОШЕЯ (ЦЕРВИКАЛЬНАЯ ДИСТОНИЯ)
Дистоническое заболевание, вид кривошеи, в которой неправильное положение

головы вызвано патологическим напряжением мышц шеи. Причины: -самостоятельное заболевание -симптоматическая дистония( начало генерализованной торсионной дистонии (у детей), болезнь Вильсона-Коновалова, введение нейролептиков, рахит, слияние, переломов и вывихов шейных позвонков, травмы мышц шеи, невралгии затылочных нервов, опухоли, рубцы в области шеи, деформирующий спондилез, остеохондроз шейного отдела позвоночника).

СПАСТИЧЕСКАЯ КРИВОШЕЯ (ЦЕРВИКАЛЬНАЯ ДИСТОНИЯ)Дистоническое заболевание, вид кривошеи, в которой неправильное положение головы вызвано патологическим напряжением мышц шеи.

Слайд 56КЛИНИКА
Первые симптомы болезни появляются обычно между 30 и 50 годами жизни.

Мышцы-антагонисты, отвечающие за движение в другую сторону, атрофируются. Со временем пораженные мышцы гипертрофируются, и наступает устойчивое ограничение движения.
КЛИНИКАПервые симптомы болезни появляются обычно между 30 и 50 годами жизни.  Мышцы-антагонисты, отвечающие за движение в

Слайд 57ЛЕЧЕНИЕ.
Плохо поддается лечению.
-антихолинергические средства(инъекции ботулинического токсина в пораженную мышцу, вызывают

временное, в течение нескольких недель, поражение мышц, возвращая голову в правильное положение и прекращая боль),
-оперативное лечение.

ЛЕЧЕНИЕ.Плохо поддается лечению. -антихолинергические средства(инъекции ботулинического токсина в пораженную мышцу, вызывают временное, в течение нескольких недель, поражение

Слайд 60БОКОВОЙ АМИОТРОФИЧЕСКИЙ СКЛЕРОЗ
Поражение центрального и периферического двигательных нейронов.
Этиология заболевания до

конца не выяснена(генетическая недостаточность иммунной системы, нейротропные вирусы).
Мужчины болеют в 3-4 раза чаще женщин, частота встречаемости -4-6 случаев на 100000 населения.

БОКОВОЙ АМИОТРОФИЧЕСКИЙ СКЛЕРОЗПоражение центрального и периферического двигательных нейронов. Этиология заболевания до конца не выяснена(генетическая недостаточность иммунной системы,

Слайд 61КЛИНИКА
Вялые и спастические параличи конечностей, бульбарные расстройства (дисфагия, дисфония, нарушение глоточного,

небного рефлексов).
За 1-2 года до развития парезов у больных можно наблюдать фасцикуляции (подергивание мышц в различных участках тела).
Заболевание протекает медленно, в среднем продолжается 3-10 лет и заканчивается смертью.
 

КЛИНИКАВялые и спастические параличи конечностей, бульбарные расстройства (дисфагия, дисфония, нарушение глоточного, небного рефлексов). За 1-2 года до

Слайд 62ДИАГНОСТИКА
-клиника
-миография

ДИАГНОСТИКА-клиника -миография

Слайд 63ЛЕЧЕНИЕ
Общеукрепляющие препараты, физиопроцедуры.
На поздних стадиях болезни больным необходим уход: зондовое

кормление, профилактика пролежней, застойных пневмоний, сепсиса.
 

ЛЕЧЕНИЕОбщеукрепляющие препараты, физиопроцедуры. На поздних стадиях болезни больным необходим уход: зондовое кормление, профилактика пролежней, застойных пневмоний, сепсиса.

Слайд 65СИРИНГОМИЕЛИЯ
Хроническое прогрессирующее заболевание, характеризующееся образованием полостей в сером веществе головного (ствол)

и спинного мозга.

СИРИНГОМИЕЛИЯХроническое прогрессирующее заболевание, характеризующееся образованием полостей в сером веществе головного (ствол) и спинного мозга.

Слайд 67ПРИЧИНЫ
1.Нарушение процесса превращения зародышевых эктодермальных клеток, из которых формируется нервная ткань,

в нейробласты. 2.Дефект эмбрионального развития ликворных каналов спинного мозга и желудочков ствола головного мозга. Факторами, способствующими возникновению клинических проявлений заболевания, являются травмы, инфекции, тяжелый физический труд.

ПРИЧИНЫ1.Нарушение процесса превращения зародышевых эктодермальных клеток, из которых формируется нервная ткань, в нейробласты. 2.Дефект эмбрионального развития ликворных

Слайд 68КЛИНИКА
1. Расстройства чувствительности проявляются преимущественно снижением болевой и температурной чувствительности по

сегментарному типу. Из-за снижения температурной чувствительности больные получают ожоги, с чем чаще всего впервые обращаются к врачу. 2. Двигательные нарушения-периферические/центральные парезы, расстройства речи, глотания.
3. Вегетативные нарушения (разрушение боковых рогов спинного мозга)-трофические язвы на коже, разрушение суставов (аргропатия), бледность, синюшность кожи, непереносимость ультрафиолетовых лучей.

КЛИНИКА1. Расстройства чувствительности проявляются преимущественно снижением болевой и температурной чувствительности по сегментарному типу. Из-за снижения температурной чувствительности

Слайд 69ДИАГНОСТИКА
Клиническая картина, КТ.

ДИАГНОСТИКАКлиническая картина, КТ.

Слайд 70ЛЕЧЕНИЕ.
Симптоматическое: -витамины -ноотропы -при вялых парезах (прозерин, дибазол, электрофорез этих препаратов), сероводородные, радоновые ванны -

при наличии больших полостей, нарушении оттока ликвора (по данным компьютерной томографии)-нейрохирургические операции
-при глиозных формах(М РТ)-рентгенотерапия.

ЛЕЧЕНИЕ.Симптоматическое: -витамины -ноотропы -при вялых парезах (прозерин, дибазол, электрофорез этих препаратов), сероводородные, радоновые ванны - при наличии

Слайд 71МИАСТЕНИИ
Группа заболеваний нервной и мышечной систем, проявляющихся слабостью и повышенной утомляемостью

различных групп мышц, преимущественно поражаются мышцы лица, губ, глаз, языка, глотки и шеи.
В типичных случаях заболевание начинается в молодом возрасте. Женщины болеют в 2 раза чаще мужчин.

МИАСТЕНИИГруппа заболеваний нервной и мышечной систем, проявляющихся слабостью и повышенной утомляемостью различных групп мышц, преимущественно поражаются мышцы

Слайд 72ЭТИОЛОГИЯ И ПАТОГЕНЕЗ
Заболевание аутоиммунное.
Нередко имеется сочетание миастении с гиперплазией или

опухолью вилочковой железы.
ЭТИОЛОГИЯ И ПАТОГЕНЕЗЗаболевание аутоиммунное. Нередко имеется сочетание миастении с гиперплазией или опухолью вилочковой железы.

Слайд 73КЛИНИКА
Утомляемость мышц ,диплопия/ косоглазие, одно- или двусторонний птоз верхних

век, наиболее выраженному к концу дня, слабость лицевой и жевательной мускулатуры, трудность речи и глотания после длительного разговора и употребления пищи, слабость и утомляемость мышц языка, носовой оттенок голоса.
Генерализованная форма- сопровождается расстройством дыхания. Локальная форма -поражение мышц глаз, глотки, гортани, мимической мускулатуры или мускулатуры туловища.
КЛИНИКА  Утомляемость мышц ,диплопия/ косоглазие, одно- или двусторонний птоз верхних век, наиболее выраженному к концу дня,

Слайд 74
Ухудшение состояния в виде криза с генерализованной мышечной слабостью, глазодвигательными и

бульбарными симптомами (афония, дизартрия, дисфагия), нарушениями дыхания, психомоторным возбуждением, сменяющимся вялостью, а также вегетативными расстройствами, с развитием острой гипоксии головного мозга (расстройство сознания), возможен летальный исход.
Ухудшение состояния в виде криза с генерализованной мышечной слабостью, глазодвигательными и бульбарными симптомами (афония, дизартрия, дисфагия), нарушениями

Слайд 75ЛЕЧЕНИЕ
Направлено на коррекцию относительного дефицита ацетилхолина и подавление аутоиммунного

процесса.
-антихолинэстеразные средства: прозерин, оксазил, калимин, -тимэктомия -рентгенотерапия -при генерализованной форме- иммуносупресоры (преднизолон) -для купирования криза(недостаточные дозы антихолинестеразных средств) -прозерин
ЛЕЧЕНИЕ  Направлено на коррекцию относительного дефицита ацетилхолина и подавление аутоиммунного процесса. -антихолинэстеразные средства: прозерин, оксазил, калимин,

Слайд 76МИОПАТИЯ ДЮШЕННА
Заболевание описано Дюшенном в 1853 году.
Частота встречаемости 3,3 на

100 000 населения.
Наследуется по рецессивному типу, связанному с Х- хромосомой. В подавляющем большинстве случаев болеют мальчики.
МИОПАТИЯ ДЮШЕННАЗаболевание описано Дюшенном в 1853 году. Частота встречаемости 3,3 на 100 000 населения. Наследуется по рецессивному

Слайд 77КЛИНИКА
Первые признаки – в первые 1-3 года жизни ребенка. На первом

году жизни дети – отставание в моторном развитии, с задержкой начинают сидеть, ходить, вставать, движения неловкие, они часто спотыкаются и падают. В 2-3 летнем возрасте -утомляемость мышц, возникают проблемы при подъеме по лестнице, походка изменяется и приобретает тип «утиной», «взбирание по лесенке» или «взбирание по самому себе»,симметричные атрофии мышц проксимальных отделов конечностей, сначала нижних, затем – верхних, атрофии мышц тазового пояса, бедер, через 1-3 года присоединяются атрофии мышц плечевого пояса, мышцы спины.
КЛИНИКАПервые признаки – в первые 1-3 года жизни ребенка.  На первом году жизни дети – отставание

Слайд 78
Характерные симптомы- осиная талия, крыловидные лопатки, отошедшие от грудной клетки, гиперлордоз

в поясничном отделе позвоночника, псевдогипертрофия икроножных мышц и их контрактуры, дистрофические изменения в костно-суставной системе. деформации стоп, позвоночника, изменения в сердечно- сосудистой системе( лабильность пульса,АГ, глухость тонов, расширение границ сердца, возможны изменения на ЭКГ), возможно развитие синдрома Иценко -Кушинга.
Течение данного заболевания прогрессирующее и злокачественное. К 7-10-летнему возрасту возникают значительные двигательные дефекты, а к 14 годам полная обездвиженность больных.

Характерные симптомы- осиная талия, крыловидные лопатки, отошедшие от грудной клетки, гиперлордоз в поясничном отделе позвоночника, псевдогипертрофия икроножных

Слайд 79ДИАГНОСТИКА
1.Клиника 2.Генеология 3.Биохимическое исследование(увеличение активности креатинфосфокиназы (КФК) в 30-50 раз выше нормы.

ДИАГНОСТИКА1.Клиника 2.Генеология 3.Биохимическое  исследование(увеличение активности креатинфосфокиназы (КФК) в 30-50 раз выше нормы.

Слайд 81МИОПАТИЯ ЭРБА- РОТА (ТАЗО- ПЛЕЧЕВАЯ ФОРМА)
Частота встречаемости 1,5 на 100 000

населения. Наследуется по аутосомно-рецессивному типу. Начинается заболевание в 14-16 лет(5-10). Встречается с одинаковой частотой у мальчиков и девочек.
МИОПАТИЯ ЭРБА- РОТА  (ТАЗО- ПЛЕЧЕВАЯ ФОРМА)Частота встречаемости 1,5 на 100 000 населения. Наследуется по аутосомно-рецессивному типу.

Слайд 82КЛИНИКА
Атрофии мышц плечевого или тазового пояса(восходящий и нисходящий типы развития заболевания),

«осиная»талия, «утиная» походка, крыловидные лопатки, гиперлордоз в поясничном отделе позвоночника,контрактуры и псевдогипертрофий выражены слабо.
Течение болезни чаще всего медленно-прогрессирующее.
КЛИНИКААтрофии мышц плечевого или тазового пояса(восходящий и нисходящий типы развития заболевания), «осиная»талия, «утиная» походка, крыловидные лопатки, гиперлордоз

Слайд 83ДИАГНОСТИКА
1.Клиника(возраст больных 14-16 лет) 2.Генеалогия больных
3.Б/Х(КФК либо не повышена, либо умеренно

повышена)
4.ЭМГ(признаки первично-мышечного поражения).
ДИАГНОСТИКА1.Клиника(возраст больных 14-16 лет) 2.Генеалогия больных 3.Б/Х(КФК либо не повышена, либо умеренно повышена)4.ЭМГ(признаки первично-мышечного поражения).

Слайд 84ЛЕЧЕНИЕ
-сохранение и поддержание двигательной активности больных в течение как можно более

длительного периода времени. -ЛФК(позволяет отсрочить обездвиженность больных, предотвращают развитие контрактур и деформаций) -раннее применение шин
-поддержание массы тела
-медикаментозные препараты(АТФ, витамины группы В, витамин Е, анаболические стероиды (ретаболил, неробол)).

ЛЕЧЕНИЕ-сохранение и поддержание двигательной активности больных в течение как можно более длительного периода времени. -ЛФК(позволяет отсрочить обездвиженность

Слайд 86МИОТОНИЯ
Нарушение мышечного тонуса в виде замедления расслабления мышц после активного сокращения.

Частота встречаемости 0.3-0.7 на 100 000 населения. Тип наследования – аутосомно-доминантный.
МИОТОНИЯНарушение мышечного тонуса в виде замедления расслабления мышц после активного сокращения.   Частота встречаемости 0.3-0.7 на

Слайд 87КЛИНИКА
-В 8-15 лет- миотонические спазмы в различных группах мышц(кисти, ноги, жевательные

мышцы, круговые мышцы глаза). -Сильное сжатие кисти в кулак, или сжатие челюстей, или плотное зажмуривание глаз, или длительное стояние вызывает тонические спазмы. Фаза расслабления мышц задерживается на продолжительное время. Больные не могут быстро разжать руку, челюсть или открыть глаза. Повторные движения уменьшают миотонические спазмы. -Атлеты(мышцы плотные, твердые, сила их в то же время снижена). Течение заболевания медленно прогрессирующее.

КЛИНИКА-В 8-15 лет- миотонические спазмы в различных группах мышц(кисти, ноги, жевательные мышцы, круговые мышцы глаза).

Слайд 88ЛЕЧЕНИЕ
Противоэпитлептические препараты(дифенин (оказывает тормозящее действие на полисинаптическое проведение в ЦНС

) по 0,1-0,2 3 раза в день в течение 2-3 недель.
Диуретики(диакарб (изменяет проницаемость мембран) по 0,125 2 раза в день в течение 2-3 недель.
ЛЕЧЕНИЕ Противоэпитлептические препараты(дифенин (оказывает тормозящее действие на полисинаптическое проведение в ЦНС ) по 0,1-0,2 3 раза в

Слайд 91
Интоксикационные поражения нервной системы
(нейротоксикозы)

Интоксикационные поражения нервной системы(нейротоксикозы)

Слайд 92
Острый нейротоксикоз- симптомы поражения нервной системы развиваются через несколько часов или

дней. Хронический нейротоксикоз- длительном действие токсического фактора и медленном нарастании симптомов. -экзогенные (токсический агент поступает извне) -эндогенные (токсический агент возникает в самом организме из-за нарушения обменных процессов).

Острый нейротоксикоз- симптомы поражения нервной системы развиваются через несколько часов или дней. Хронический нейротоксикоз- длительном действие токсического

Слайд 93ОТРАВЛЕНИЕ ОКСИДОМ УГЛЕРОДА (УГАРНЫМ ГАЗОМ)
Чаще острое(в производственных условиях у людей, работающих

на обжиге угля, в гаражах, в быту - в домах с печным отоплением, банях, гаражах.
Первая стадия- головная боль, головокружение, шум в ушах, рвота, сонливость, снижение остроты зрения и слуха.
Вторая стадия- слабость резко нарастает, человек теряет способность передвигаться, кожные покровы, особенно кистей, стоп, носа, ушей, а далее и всего тела резко бледнеют. Третья стадия -патологическая сонливость, сопор, кома, А/Д на фоне тахикардии падает, развивается замедленное поверхностное дыхание,смерть.

ОТРАВЛЕНИЕ ОКСИДОМ УГЛЕРОДА (УГАРНЫМ ГАЗОМ)Чаще острое(в производственных условиях у людей, работающих на обжиге угля, в гаражах, в

Слайд 94
Первая помощь-эвакуация больного, 100% кислород(при тяжелых отравлениях гипербарическая оксигенация).
Для снижения

потребностей тканей в кислороде- транквилизаторы, покой.
При гипертермии снижают температуру тела.
При возникновении паркинсонизма-стимуляторы дофаминовых рецепторов (бромокриптин, проноран, мирапекс).

Первая помощь-эвакуация больного, 100% кислород(при тяжелых отравлениях гипербарическая оксигенация). Для снижения потребностей тканей в кислороде- транквилизаторы, покой.

Слайд 95ОТРАВЛЕНИЕ МЕТИЛОВЫМ СПИРТОМ (МЕТАНОЛОМ)
-При употреблении внутрь или при вдыхании его паров.


-На ранней стадии -головокружение, шаткая походка, смазанная речь, эйфория, сонливость, при большой дозе возможно развитие коллапса, которому предшествуют головная боль, боли в животе, рвота, мелькание мушек перед глазами, потеря зрения, двигательное возбуждение, бледность кожных покровов. -Специфический симптомом -снижение остроты зрения, прогрессирует, слепота.
ОТРАВЛЕНИЕ МЕТИЛОВЫМ СПИРТОМ (МЕТАНОЛОМ)-При употреблении внутрь или при вдыхании его паров. -На ранней стадии -головокружение, шаткая походка,

Слайд 96
-Первая помощь- промывание желудка 2% раствором соды (натрия гидрокарбоната).
-В медицинском

учреждении внутривенно 100 мл 30% этилового спирта, а затем с интервалом в два часа еще по 50 мл этилового спирта 4-5 раз.
-Дезинтоксикация(физиологический раствор, гемодез, 5% раствор глюкозы). -Мочегонные препараты. -Гемосорбция.
Профилактика -осторожность при работе с метиловым спиртом, информировании работающих о последствиях отравления. Смертельная доза метанола для взрослого человека - 30-100 мл.

-Первая помощь- промывание желудка 2% раствором соды (натрия гидрокарбоната). -В медицинском учреждении внутривенно 100 мл 30% этилового

Слайд 97ОТРАВЛЕНИЯ СНОТВОРНЫМИ ПРЕПАРАТАМИ
-при передозировке препаратов или умышленном, с целью самоубийства, приеме

большого количества лекарства.
-на ранней -нарастающая сонливость, слабость мышц, шаткость походки, мышечная слабость, ослабление рефлексов, кома, поражение печени и почек, смерть от острой сердечно- сосудистой недостаточности.

ОТРАВЛЕНИЯ СНОТВОРНЫМИ ПРЕПАРАТАМИ-при передозировке препаратов или умышленном, с целью самоубийства, приеме большого количества лекарства.  -на ранней

Слайд 98
Первая помощь- промывания желудка, солевое слабительное, диазепам(при судорогах) 2-4 мл,форсированный диурез

под контролем электролитного состава крови, лечение острой сердечно- сосудистой и острой почечной недостаточности.

Первая помощь- промывания желудка, солевое слабительное, диазепам(при судорогах) 2-4 мл,форсированный диурез под контролем электролитного состава крови, лечение

Слайд 99ОТРАВЛЕНИЕ МЫШЬЯКОМ И ЕГО СОЕДИНЕНИЯМИ
-в качестве ядохимикатов для протравливания семян и

борьбы с сельскохозяйственными вредителями используются кальция арсенат, натрия арсенит, парижская зелень и др.
-смертельная доза внутрь - 0,06-0,2 г. - через 2-8 ч рвота содержимым зеленого цвета, металлический вкус во рту, сильные боли в животе, жидкий частый стул, напоминающий рисовый отвара, повторные рвота и понос вызывают резкое обезвоживание организма, сопровождающееся судорогами, острая почечная и печеночная недостаточность, анемия. -смерть наступает от острой сердечно- сосудистой недостаточности, паралича дыхательной мускулатуры.
-диагностика осуществляется на обнаружении мышьяка в моче, в волосах, и ногтях.

ОТРАВЛЕНИЕ МЫШЬЯКОМ И ЕГО СОЕДИНЕНИЯМИ-в качестве ядохимикатов для протравливания семян и борьбы с сельскохозяйственными вредителями используются кальция

Слайд 100
Первая помощь -немедленное промывание желудка водой со взвесью слабительных - магния

оксидом или сульфатом (20 г на 1 л воды). Лечение- устранение источника интоксикации.
Первая помощь -немедленное промывание желудка водой со взвесью слабительных - магния оксидом или сульфатом (20 г на

Слайд 101ОТРАВЛЕНИЕ РТУТЬЮ
-оказывает местное раздражающее, нефротическое, энтеротоксическое, нейротоксическое действие - поступление

в организм через легкие, желудочно-кишечный тракт, кожу
-при отравлении парами ртути- насморк, трахеобронхит, тяжелая пневмония, токсический отек легких, частый жидкий стул, сонливость, на 3-4-й признаки поражения почек (олигоурия, протеинурия, увеличивается содержание мочевины, креатинина в сыворотке крови).

ОТРАВЛЕНИЕ РТУТЬЮ  -оказывает местное раздражающее, нефротическое, энтеротоксическое, нейротоксическое действие  - поступление в организм через легкие,

Слайд 102
При отравлении парами ртути -лечение токсической пневмонии и токсического отека легких:

антибиотики, 5 % раствор унитиола по 1О мл внутримышечно 2 раза в сутки, форсированный диурез, при токсическом отеке легких внутривенно вводят 100-150 мг nреднизолона, 100-150 мл 30% раствора мочевины или 100 мг лазикса.
При отравлении сулемой повторно промывают желудок, дают активированный уголь. Внутримышечно вводят унитиол (как при отравлении парами ртути), тиосульфат натрия - 100 мл 30% раствора, витамин В 12 до 1000 мг/сут.

При отравлении парами ртути -лечение токсической пневмонии и токсического отека легких: антибиотики, 5 % раствор унитиола по

Слайд 103ОТРАВЛЕНИЕ СВИНЦОМ
-при работе с красками, содержащими свинец, при контакте

с тетраэтил- свинцом (он используется для этилирования бензина), при работе на бензохранилищах. -свинцовая энцефалопатия –психические изменения, заторможенностью, раздражительность, сонливость, атаксия, эпилептические припадки, кома, смерть.
-свинцовая колика(взрослые) -анорексия, запоры, тошнота, рвота, пальпация живота безболезненная. -свинцовая нейропатия – мышечная слабость, парестезии, снижение чувствительности.
ОТРАВЛЕНИЕ СВИНЦОМ   -при работе с красками, содержащими свинец, при контакте с тетраэтил- свинцом (он используется

Слайд 105ЛЕЧЕНИЕ
-устранить контакт со свинцом

ЛЕЧЕНИЕ-устранить контакт со свинцом

Слайд 106ОТРАВЛЕНИЕ ФОС
-при вдыхании веществ(хлорофос, тиофос), при всасывании через увлажненную поверхность кожи.


-оказывают ингибирующее влияние на холинэстеразу. В результате этого в синапсах ЦНС и ПНС скапливается ацетилхолин-перевозбуждению ЦНС- нарушение проведения нервных импульсов. - короткий инкубационный период, тошнота, рвота, головная боль, головокружение, резкие боли в животе, повышение пото- и слюноотделения, резко сужаются зрачки, подергивание отдельных мышц, атаксия, артериальная дистония, дизартрия, обмороки, нарушения сознания, галлюцинации, делириозное состояние, злобное настроение, агрессия, кома ,летальный исход. -при отравлении легкой и средней тяжести -через 1-2 месяца полинейропатия(двигательные расстройства, парестезии, миофибриллярные подергивания, атрофия мышц кистей, повышаются коленные рефлекс(боковой амиотрофический склероз).
ОТРАВЛЕНИЕ ФОС-при вдыхании веществ(хлорофос, тиофос), при всасывании через увлажненную поверхность кожи. -оказывают ингибирующее влияние на холинэстеразу. В

Слайд 107
Лечение: - острое отравление -атропин внутривенно 0.1% - 1-2 мл - терапия полинейропатии

–по основным принципам лечения нейропатий
Лечение: - острое отравление -атропин внутривенно 0.1% - 1-2 мл - терапия полинейропатии –по основным принципам лечения

Слайд 108
Объемные процессы центральной нервной системы

Объемные процессы центральной нервной системы

Слайд 109
-опухоли, абсцессы, паразитарные заболевания мозга (цистицеркоз, эхинококкоз)
Три группы неврологических симптомов: 1) очаговые

симптомы; 2)симптомы повышения внутричерепного давления; 3) симптомы смещения мозга.

-опухоли, абсцессы, паразитарные заболевания мозга (цистицеркоз, эхинококкоз)Три группы неврологических симптомов: 1) очаговые симптомы;   2)симптомы повышения

Слайд 110
Очаговые симптомы зависят от места расположения опухоли и проявляются симптомами раздражения

и выпадения.
Симптомы раздражения - это различные формы эпилептических пароксизмов: психомоторные, чувствительные, моторные пароксизмы, психические эквиваленты.
Симптомы выпадения связаны с разрушением мозговых центров и проявляются парезами, параличами, нарушениями чувствительности, координации, речи, письма, интеллектуальных функций. При опухолях гипофиза к очаговым симптомам условно можно отнести признаки гормональных расстройств.

Очаговые симптомы зависят от места расположения опухоли и проявляются симптомами раздражения и выпадения. Симптомы раздражения - это

Слайд 111
Симптомы повышения внутричерепного давления (гипертензионный синдром)- головная боль, тошнота, рвота, ригидность

затылочных мышц, симптомы Кернига, Брудзинского, застойные диски зрительных нервов, изменения на краниограммах («пальцевые вдавления», расширение входа в турецкое седло, истончение внутренней костной пластинки черепа, у детей - расхождение швов), повышение ликворного давления при спинномозговой пункции.

Симптомы повышения внутричерепного давления (гипертензионный синдром)- головная боль, тошнота, рвота, ригидность затылочных мышц, симптомы Кернига, Брудзинского, застойные

Слайд 112
Симптомы смещения (обусловлены увеличением объема внутричерепной жидкости и тканей)-нарастает менингеальный синдром,нарастают

расстройства сознания, нарушаются зрение, глотание, расстраиваются витальные функции.
Некоторые формы опухолей могут протекать без выраженных очаговых знаков. При них идет нарастание обшемозговой симптоматики.

Симптомы смещения (обусловлены увеличением объема внутричерепной жидкости и тканей)-нарастает менингеальный синдром,нарастают расстройства сознания, нарушаются зрение, глотание, расстраиваются

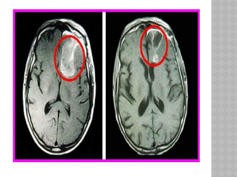
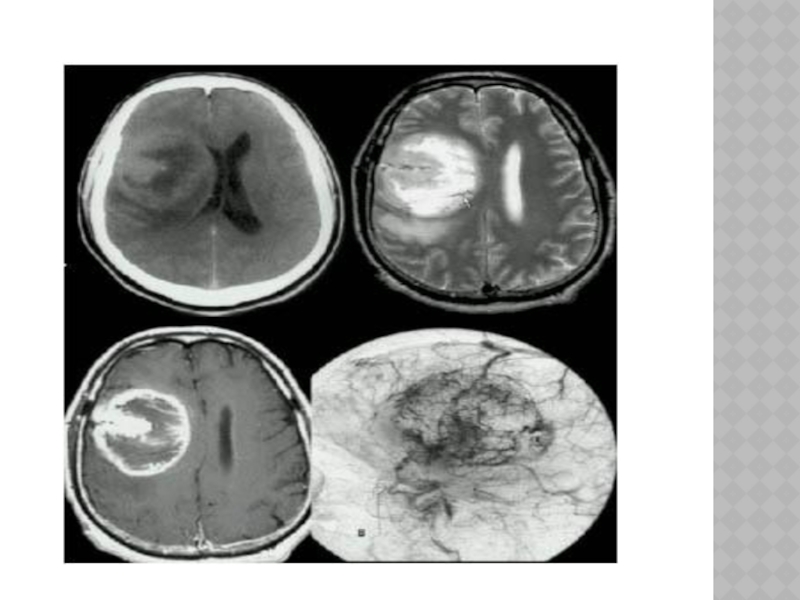
Слайд 113ОПУХОЛИ ГОЛОВНОГО МОЗГА
Классификация:
1) от вида ткани, из которой они растут,- менингеомы,

арахноэндотелиомы, глиомы, астроцитомы и т.д.;
2) от локализации - внемозговые, внутримозговые, больших полушарий, мозжечка, ствола, гипофиза и др.
3) от доброкачественности - доброкачественные, злокачественные;
4) от расположения по отношению к намету мозжечка (супратенториальные - расположенные над наметом, субтенториальные);
5) от локализации основного очага - первичные, растущие из тканей мозга, и метастатические, занесенные из других систем организма.

ОПУХОЛИ ГОЛОВНОГО МОЗГА Классификация:1) от вида ткани, из которой они растут,- менингеомы, арахноэндотелиомы, глиомы, астроцитомы и т.д.;

Слайд 114
Доброкачественными считаются ограниченные опухоли с медленным ростом, злокачественными - опухоли, обладающие

инфильтративным ростом.
Опухоли составляют 4,5% всех органических заболеваний головного мозга и встречаются преимущественно в возрасте 20-40 лет.

Доброкачественными считаются ограниченные опухоли с медленным ростом, злокачественными - опухоли, обладающие инфильтративным ростом. Опухоли составляют 4,5% всех

Слайд 115КЛИНИКА
-симптомы зависят от локализации опухоли.
-при опухолях полушарий -очаговые симптомы, общемозговые.


-при опухолях ствола, мозжечка на первый план выступают общемозговые симптомы, что обусловлено ограниченным пространством задней черепной ямки, сдавлением ликворопроводящих путей.
-при опухолях гипофиза ранними признаками являются нарушения эндокринных функций (расстройство менструального цикла, ожирение, усиленный рост пальцев рук, ног и т.д.).

КЛИНИКА-симптомы зависят от локализации опухоли. -при опухолях полушарий -очаговые симптомы, общемозговые. -при опухолях ствола, мозжечка на первый

Слайд 116
-при опухолях затылочной доли -расстройства зрения (зрительная агнозия, скотомы, зрительные галлюцинации).


-при поражении височной доли -обонятельные, вкусовые галлюцинации, расстройство памяти, психомоторные пароксизмы.
-опухоли лобной доли -моторные и эпилептические пароксизмы, парезы, расстройства речи, «лобная психика» (слабодушие, неряшливость, пассивность, ограничение круга интересов).
-опухоли мозжечка –нарушение походки(«пьяная походка»), координации произвольных и непроизвольных движений (нистагм, промахивание и интенционный тремор при выполнении пальценосовой, колено- пяточной проб и др.).

-при опухолях затылочной доли -расстройства зрения (зрительная агнозия, скотомы, зрительные галлюцинации). -при поражении височной доли -обонятельные, вкусовые

Слайд 117ДИАГНОСТИКА
Электроэнцефалография, эхоэнцефалоскопия, рентгенография черепа, ангиография, компьютерная рентгеновская и магниторезонансная томография, офтальмологическое

обследование.

ДИАГНОСТИКАЭлектроэнцефалография, эхоэнцефалоскопия, рентгенография черепа, ангиография, компьютерная рентгеновская и магниторезонансная томография, офтальмологическое обследование.

Слайд 122ЛЕЧЕНИЕ
-хирургическое вмешательство
-симптоматическая терапия- дегидратационные средства, анальгетики, противосудорожные препараты (финлепсин, корбамазепин, соли

вальпроевой кислотыи др.) - при опухолях гипофиза -рентгенотерапия(эпендиома, медуллобластома, герминома, аденома гипофиза) -химиотерапия- прокарбазин, ломустин, винкристин (глиомы, астроцитомы), при пинеобластомах, медуллобластомах, герминомах наряду с радиотерапией используются производные платины (цисnлатин, карбоплатин), этопозид, блеоиин.


ЛЕЧЕНИЕ-хирургическое вмешательство-симптоматическая терапия- дегидратационные средства, анальгетики, противосудорожные препараты (финлепсин, корбамазепин, соли вальпроевой кислотыи др.) - при опухолях

Слайд 123ОПУХОЛИ СПИННОГО МОЗГА
Классификация:
-интрамедуллярные(развивающиеся из вещества спинного мозга и

располагающиеся внутри нег - экстрамедуллярные( образующиеся из мозговых оболочек, корешков и локализующиеся вне спинного мозга).

ОПУХОЛИ СПИННОГО МОЗГА    Классификация:-интрамедуллярные(развивающиеся из вещества спинного мозга и располагающиеся внутри нег - экстрамедуллярные(

Слайд 124КЛИНИКА
Экстрамедуллярные опухоли- развиваются развитии в три стадии : корешковые расстройства, частичного

и полного сдавливания спинного мозга.
-корешковая стадия- корешковые боли(радикулит) -стадия частичного сдавливания спинного мозга синдром Броуна - Секара: спастический парез конечности (конечностей),расстройство глубокой чувствительности на стороне поражения, расстройство поверхностной чувствительности на противоположной стороне.
- стадия полного сдавливания спинного мозга- двухсторонний парез/ паралич, расстройства чувствительности, тазовые нарушения.


КЛИНИКАЭкстрамедуллярные опухоли- развиваются развитии в три стадии : корешковые расстройства, частичного и полного сдавливания спинного мозга. -корешковая

Слайд 125
Интрамедуллярные опухоли- обнаруживаются неврологическими нарушениями в месте своего роста:
- в

шейном отделе-вялый парез рук, снижение поверхностной чувствительности на руках, признаки сдавливания спинного мозга - центральные парезы ног, расстройства чувствительности по проводниковому типу, боли, оболочечные симптомы.
Интрамедуллярные опухоли- обнаруживаются неврологическими нарушениями в месте своего роста: - в шейном отделе-вялый парез рук, снижение поверхностной

Слайд 126ДИАГНОСТИКА.
Клиника, люмбальная пункция, миелография, КТ, МРТ.

ДИАГНОСТИКА.Клиника, люмбальная пункция, миелография, КТ, МРТ.

Слайд 127ЛЕЧЕНИЕ
1.Оперативное. 2. Симптоматическая терапия(уменьшение болей, отека спинного мозга).

ЛЕЧЕНИЕ1.Оперативное. 2. Симптоматическая терапия(уменьшение болей, отека спинного мозга).

Слайд 130ОПУХОЛЕПОДОБНЫЕ ЗАБОЛЕВАНИЯ ГОЛОВНОГО МОЗГА
Абсцесс, эхинококкоз, цистецтркоз.

ОПУХОЛЕПОДОБНЫЕ ЗАБОЛЕВАНИЯ ГОЛОВНОГО МОЗГААбсцесс, эхинококкоз, цистецтркоз.

Слайд 131АБСЦЕСС ГОЛОВНОГО МОЗГА
Развивается при попадании микроорганизмов в мозговую ткань при открытом

ранении черепа, отите, пневмонии и других воспалительных процессах.

АБСЦЕСС ГОЛОВНОГО МОЗГАРазвивается при попадании микроорганизмов в мозговую ткань при открытом ранении черепа, отите, пневмонии и других

Слайд 132КЛИНИКА
протекают в две стадии:
1.Обнаруживаются симптомы, указывающие на наличие воспалительного

процесса (менингит, энцефалит), которые в процессе лечения уменьшаются или (реже) исчезают. 2.Мозговые симптомы, указывающие на внутричерепной объемный мозговой процесс+ признаки воспалительного процесса (лейкоцитоз в крови, ускоренное СОЭ, повышенное содержание белка и клеток в ликворе, повышение температуры).

КЛИНИКА протекают в две стадии: 1.Обнаруживаются симптомы, указывающие на наличие воспалительного процесса (менингит, энцефалит), которые в процессе

Слайд 133ДИАГНОСТИКА.
Анамнез, данные состава ликвора, компьютерная томография.

ДИАГНОСТИКА.Анамнез, данные состава ликвора, компьютерная томография.

Слайд 136ЛЕЧЕНИЕ
Хирургическое +антибиотики + сульфаниламиды

ЛЕЧЕНИЕХирургическое +антибиотики + сульфаниламиды

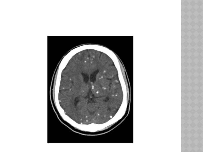
Слайд 137ЦИСТИЦЕРКОЗ ГОЛОВНОГО МОЗГА
-множественная гематогенная инвазия в мозг личинок свиного цепня.
-три

основные формы заболевания: 1).поражение больших полушарий(нарушения психики, мультифокальные эпилептические припадки, очаговые симптомамы, головные боли оболочечного характера), 2).поражение желудочковой системы(цистицеркоз желудочков мозга чаще бывает одиночным и локализуется в IV желудочке мозга, внутричерепная гипертензия, гидроцефалия боковых и III желудочков), 3).поражение основания мозга.
ЦИСТИЦЕРКОЗ ГОЛОВНОГО МОЗГА-множественная гематогенная инвазия в мозг личинок свиного цепня. -три основные формы заболевания: 1).поражение больших полушарий(нарушения

Слайд 138ЛЕЧЕНИЕ
Симптоматическое- дегидратирующие и противосудорожные средства.
Оперативное вмешательство(при доминировании в клинике окклюзионно-

гидроцефального синдрома) -удаление паразитов, разъединение сращений, восстановление или создание новых путей оттока цереброспинальной жидкости.
 

ЛЕЧЕНИЕСимптоматическое- дегидратирующие и противосудорожные средства. Оперативное вмешательство(при доминировании в клинике окклюзионно- гидроцефального синдрома) -удаление паразитов, разъединение сращений,

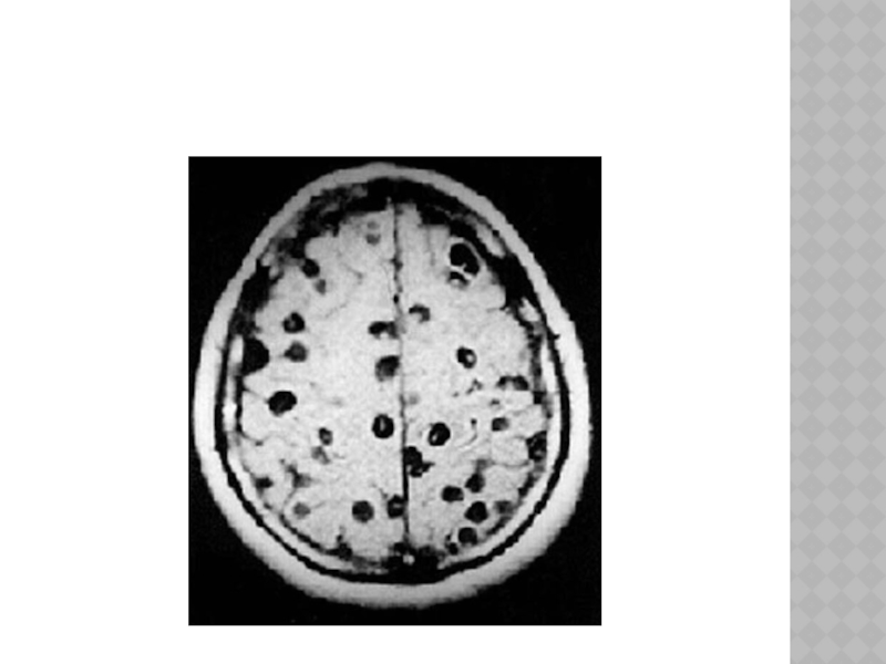
Слайд 141ЭХИНОКОККОЗ ГОЛОВНОГО МОЗГА
-инвазия в мозг личинок Echinococcus granulosus.
-

киста однокамерная (гидатидозная) большого объема (до 700 мл)/многокамерная(множество пузырьков).
Однокамерный эхинококк при локализации в толще ткани г. м.- клиника опухоли; при внутрижелудочковом расположении -окклюзионно- гипертензионный синдром.

ЭХИНОКОККОЗ ГОЛОВНОГО МОЗГА -инвазия в мозг личинок Echinococcus granulosus. - киста однокамерная (гидатидозная) большого объема (до 700

Слайд 142
Многокамерный эхинококк- общемозговые симптомы, очаговые симптомы(эпилептические приступы). Течение заболевания реммитирующее. Иногда

происходит абсцедирование кист; при прорыве содержимого кисты в подоболочечное пространство или желудочки г. м. развиваются явления острого менингоэнцефалита.

Многокамерный эхинококк- общемозговые симптомы, очаговые симптомы(эпилептические приступы).  Течение заболевания реммитирующее.  Иногда происходит абсцедирование кист; при

Слайд 143ДИАГНОСТИКА
1.Анамнез (контакт с домашними животными) и объективном обследовании. 2.Пальпация костей свода(при

суб- и эпидуральном расположении паразита иногда выражена атрофия прилежащих костей черепа и ощущение хруста пергамента). 3.Краниография- врутричерепные кольцевидные обызвествления.
4.КТ. 5. Кожно-аллергическая реакция Касони 6.Реакция связывания комплемента.
Эхинококкоз г. м., как правило, сочетается с эхинококкозом других органов, чаще печени.
ДИАГНОСТИКА1.Анамнез (контакт с домашними животными) и объективном обследовании.  2.Пальпация костей свода(при суб- и эпидуральном расположении паразита

Слайд 144ЛЕЧЕНИЕ
Оперативное; при однокамерном эхинококке проводят тотальное его удаление, при многокамерном нередко

ограничиваются операциями, направленными на снижение внутричерепного давления.


ЛЕЧЕНИЕОперативное; при однокамерном эхинококке проводят тотальное его удаление, при многокамерном нередко ограничиваются операциями, направленными на снижение внутричерепного

Слайд 146
Спасибо за внимание!!!

Спасибо за внимание!!!

Что такое shareslide.ru?

Это сайт презентаций, где можно хранить и обмениваться своими презентациями, докладами, проектами, шаблонами в формате PowerPoint с другими пользователями. Мы помогаем школьникам, студентам, учителям, преподавателям хранить и обмениваться учебными материалами.


Для правообладателей

Яндекс.Метрика

Обратная связь

Email: Нажмите что бы посмотреть