Презентация, доклад Курильщик-сам себе могильщик.

 История приобщения европейцев к курению начиналась так. 12 октября 1492 года матрос Родриго Триана с корабля «Пинта» знаменитой флотилии Христофора Колумба закричал: «Впереди Земля!»         Грянул пушечный салют. На кораблях  убрали  паруса, и они

Слайд 1Курильщик- сам себе могильщик.

Курильщик- сам себе могильщик.

Слайд 2 История приобщения европейцев к курению начиналась так.
 12 октября 1492 года матрос

Родриго Триана с корабля «Пинта» знаменитой флотилии Христофора Колумба закричал: «Впереди Земля!»         Грянул пушечный салют. На кораблях  убрали  паруса, и они медленно двигались к неведомой земле. Колумб полагал, что перед ним восточный берег сказочной Индии , а в действительности оказалось, что это Америка.  В числе подарков местные жители поднесли Колумбу сушеные листья растения «петум». Они курили эти подсушенные на солнце листья, свернутые в трубочки и называли их «сигаро».
 История приобщения европейцев к курению начиналась так. 12 октября 1492 года матрос Родриго Триана с корабля «Пинта» знаменитой

Слайд 3В России торговля табаком и курение были разрешены в 1697 году

в царствование Петра I , который сам стал заядлым курильщиком после посещения Голландии. Более того, он всячески склонял к курению своих приближенных.
В России торговля табаком и курение были разрешены в 1697 году в царствование Петра I , который

Слайд 4

Говорили, говорили,
                      Чтоб мальчишки не курили.
                      А мальчишки за углом
                      Подавились табаком.

                      Степанов Петя, мой сосед,
                      Повсюду с пачкой сигарет.
                      Он курит не стесняется,
                      На взрослых огрызается.
Говорили, говорили, 

Слайд 5 Одной из основных причин начала курения является любопытство.

 Одной из основных причин начала курения является любопытство.

Слайд 6Другая причина начала курения в молодом возрасте – подражание взрослым.

Другая причина начала курения в молодом возрасте – подражание взрослым.

Слайд 7 Курил! Курю! Что

вам за беда?                 Курит давно мой дед,                А деду исполнилось семьдесят лет!                 Он жив, как видите и здоров,                 Редко бывает у докторов.                 К тому же, повсюду реклама –                 Курят папы и мамы,                 Кури, что захочешь, везде и всегда,                 А остальное – вранье, ерунда!
Курил! Курю! Что вам за беда?      

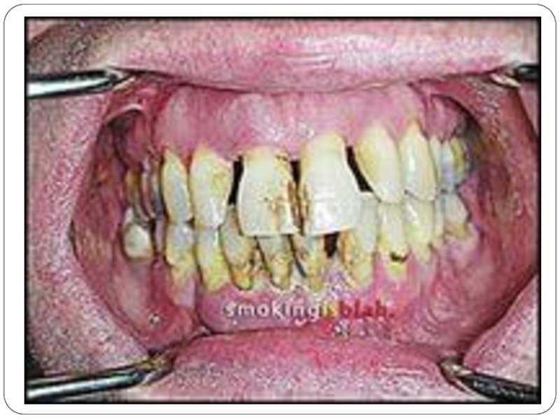
Слайд 8 Совсем не ерунда! В сигаретном дыме содержится около 800 различных вредных

веществ и ни одного полезного. Самое вредное из них – никотин. Он ослабляет работу сердца, повышает давление крови. У курильщиков ухудшается память, внимание, снижается сопротивляемость болезням. Курильщики чаще болеют различными заболеваниями легких, особенно таким страшным, 
 Совсем не ерунда! В сигаретном дыме содержится около 800 различных вредных веществ и ни одного полезного. Самое

Слайд 9Запомните! В табачном дыму обнаружено 30 природных ядов, способных вызвать рак.

Запомните! В табачном дыму обнаружено  30 природных ядов, способных вызвать рак.

Слайд 10Давным-давно Минздрав твердит: «Курильщик сам себе вредит.» Давно родные просят, Но вам никак

не бросить, А вы попробуйте пока Прожить хоть день без табака. Не трудно с этим справиться Вдруг это вам понравиться?
Давным-давно Минздрав твердит:  «Курильщик сам себе вредит.» Давно родные просят, Но вам никак не бросить, А

Слайд 11Наши аргументы против курения: Курение разрушает организм.  Курение приводит к неизлечимым болезням. Курение снижает

физическую активность. Курение портит цвет кожи. Никотин забирает свободу Человек становится его рабом.
Наши аргументы против курения: Курение разрушает организм.  Курение приводит к неизлечимым болезням. Курение снижает физическую активность. Курение

Что такое shareslide.ru?

Это сайт презентаций, где можно хранить и обмениваться своими презентациями, докладами, проектами, шаблонами в формате PowerPoint с другими пользователями. Мы помогаем школьникам, студентам, учителям, преподавателям хранить и обмениваться учебными материалами.


Для правообладателей

Яндекс.Метрика

Обратная связь

Email: Нажмите что бы посмотреть