Презентация, доклад по биологии на тему Эукариотическая клетка

Содержание

План лекции:Особенности строения эукариот;Органоиды эукариот;Клеточное ядро;Деление клетки.

Слайд 1Тема занятия:
Эукариотическая клетка

Тема занятия:Эукариотическая клетка

Слайд 2План лекции:
Особенности строения эукариот;
Органоиды эукариот;
Клеточное ядро;
Деление клетки.

План лекции:Особенности строения эукариот;Органоиды эукариот;Клеточное ядро;Деление клетки.

Слайд 31. Особенности строения

эукариот
1. Особенности строения           		эукариот

Слайд 4Эукариотическая клетка – это клетка в которой имеется ядро.
К эукариотам относятся

клетки растений, животных и грибов.
Эукариотическая клетка – это клетка в которой имеется ядро.К эукариотам относятся клетки растений, животных и грибов.

Слайд 5Растительная клетка


Растительная клетка

Слайд 6Дилленииды. Верхний ряд, слева направо: бегониевые (бегония густолиственная), крестоцветные порядка каперсовые

(капуста брюссельская, горчица белая, хрен деревенский, пастушья сумка обыкновенная). Нижний ряд, слева направо: ивовые (осина, тополь пирамидальный, ива полярная, верба), вересковые (вереск душистый).
Дилленииды. Верхний ряд, слева направо: бегониевые (бегония густолиственная), крестоцветные порядка каперсовые (капуста брюссельская, горчица белая, хрен деревенский,

Слайд 7Животная клетка
 

Животная клетка 

Слайд 8Паукообразные. Верхний ряд, слева направо: сольпуга эремобатес, обыкновенный сенокосец, гигантский телифон-мастигопроктус,

мексиканский парафрин. Нижний ряд – скорпионы, слева направо: африканский скорпион, саблевидный скорпион, суперститиония, смерингурус.
Паукообразные. Верхний ряд, слева направо: сольпуга эремобатес, обыкновенный сенокосец, гигантский телифон-мастигопроктус, мексиканский парафрин. Нижний ряд – скорпионы,

Слайд 9Окунеобразные. Верхний ряд, слева направо: обыкновенный окунь, обыкновенная скумбрия, рыба-брызгун, жемчужный

нитеносец. Нижний ряд, слева направо: обыкновенный ёрш, щетинозуб-пинцетник, императорская рыба-ангел, желтопёрый тунец.
Окунеобразные. Верхний ряд, слева направо: обыкновенный окунь, обыкновенная скумбрия, рыба-брызгун, жемчужный нитеносец. Нижний ряд, слева направо: обыкновенный

Слайд 10Кошачьи. Верхний ряд, слева направо: лев, ягуар, леопард. Нижний ряд, слева

направо: тигр, снежный барс, пума.
Кошачьи. Верхний ряд, слева направо: лев, ягуар, леопард. Нижний ряд, слева направо: тигр, снежный барс, пума.

Слайд 112. Органоиды эукариот

2. Органоиды эукариот

Слайд 12 I . Клеточная мембрана – это оболочка клетки.


Клеточная мембрана выполняющая

следующие функции:
разделение содержимого клетки и внешней среды;
регуляция обмена веществ между клеткой и средой;
место протекания некоторых биохимических реакций (в том числе фотосинтеза, окислительного фосфорилирования);
объединение клеток в ткани.
I . Клеточная мембрана – это оболочка клетки. Клеточная мембрана выполняющая следующие функции: разделение содержимого клетки

Слайд 13Оболочки делятся на плазматические (клеточные мембраны) и наружные. Важнейшее свойство плазматической

мембраны – полупроницаемость, то есть способность пропускать только определённые вещества. Через неё медленно диффундируют глюкоза, аминокислоты, жирные кислоты и ионы, причём сами мембраны могут активно регулировать процесс диффузии.
Оболочки делятся на плазматические (клеточные мембраны) и наружные. Важнейшее свойство плазматической мембраны – полупроницаемость, то есть способность

Слайд 14Строение мембраны.

Строение мембраны.

Слайд 15Важной проблемой является транспорт веществ через плазматические мембраны. Он необходим для

доставки питательных веществ в клетку, вывода токсичных отходов, создания градиентов для поддержания нервной и мышечной активности.




Важной проблемой является транспорт веществ через плазматические мембраны. Он необходим для доставки питательных веществ в клетку, вывода

Слайд 16Существуют следующие механизмы транспорта веществ через мембрану:
1) диффузия -

газы, жирорастворимые молекулы проникают прямо через плазматическую мембрану;
осмос - диффузия воды через полунепроницаемые мембраны;
активный транспорт - перенос молекул из области с меньшей концентрацией в область с большей, например, посредством специальных транспортных белков, требует затраты энергии АТФ;
при эндоцитозе мембрана образует впячивания, которые затем трансформируются в пузырьки или вакуоли. Различают фагоцитоз – поглощение твёрдых частиц (например, лейкоцитами крови) – и пиноцитоз – поглощение жидкостей;
экзоцитоз – процесс, обратный эндоцитозу; из клеток выводятся непереварившиеся остатки твёрдых частиц и жидкий секрет

Существуют следующие механизмы транспорта веществ через мембрану:1)   диффузия - газы, жирорастворимые молекулы проникают прямо через

Слайд 17
Эндоцитоз.

Эндоцитоз.

Слайд 18Экзоцитоз

Экзоцитоз

Слайд 19II. Цитоплазма
Цитоплазма представляет собой водянистое вещество – цитозоль (90 % воды), в

котором располагаются различные органеллы, а также питательные вещества (в виде истинных и коллоидных растворов) и нерастворимые отходы метаболических процессов. В цитозоле протекает гликолиз, синтез жирных кислот, нуклеотидов и других веществ. Цитоплазма является динамической структурой. Органеллы движутся, а иногда заметен и циклоз – активное движение, в которое вовлекается вся протоплазма.
II. ЦитоплазмаЦитоплазма представляет собой водянистое вещество – цитозоль (90 % воды), в котором располагаются различные органеллы, а также

Слайд 20III. Митохондрии.
Митохондрии иногда называют «клеточными электростанциями». Это спиральные, округлые, вытянутые или

разветвлённые органеллы, длина которых изменяется в пределах 1,5–10 мкм, а ширина – 0,25–1 мкм. Митохондрии могут изменять свою форму и перемещаться в те области клетки, где потребность в них наиболее высока. Важнейшей функцией митохондрий является синтез АТФ, происходящий за счёт окисления органических веществ
III. Митохондрии.Митохондрии иногда называют «клеточными электростанциями». Это спиральные, округлые, вытянутые или разветвлённые органеллы, длина которых изменяется в

Слайд 21Строение митохондрии

Строение митохондрии

Слайд 22IV. Эндоплазматическая сеть.
Эндоплазматическая сеть – это сеть мембран, пронизывающих цитоплазму эукариотических

клеток. Её можно наблюдать только при помощи электронного микроскопа. Эндоплазматическая сеть связывает органеллы между собой, по ней происходит транспорт питательных веществ. Гладкая ЭПС имеет вид трубочек, стенки которых представляют собой мембраны, сходные по своей структуре с плазматической мембраной. В ней осуществляется синтез липидов и углеводов. На мембранах каналов и полостей гранулярной ЭПС расположено множество рибосом; данный тип сети участвует в синтезе белка.
IV. Эндоплазматическая сеть.Эндоплазматическая сеть – это сеть мембран, пронизывающих цитоплазму эукариотических клеток. Её можно наблюдать только при

Слайд 23Эндоплазматическая сеть: гладкая и гранулярная структуры. Рядом фотография с увеличением в

10 000 раз.
Эндоплазматическая сеть: гладкая и гранулярная структуры. Рядом фотография с увеличением в 10 000 раз.

Слайд 24V. Рибосома.
Рибосомы – мелкие (15–20 нм в диаметре) органеллы, состоящие из р-РНК

и полипептидов. Важнейшая функция рибосом – синтез белка. Их количество в клетке весьма велико: тысячи и десятки тысяч. Рибосомы могут быть связаны с эндоплазматической сетью или находиться в свободном состоянии. В процессе синтеза обычно одновременно участвуют множество рибосом, объединённых в цепи, называемые полирибосомами.
V. Рибосома.Рибосомы – мелкие (15–20 нм в диаметре) органеллы, состоящие из р-РНК и полипептидов. Важнейшая функция рибосом –

Слайд 25Полирибосомы.

Полирибосомы.

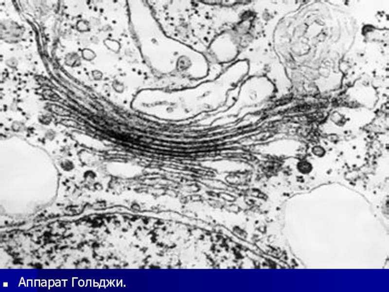
Слайд 26VI. Аппарат Гольджи.
Аппарат Гольджи представляет собой стопку мембранных мешочков (цистерн) и

связанную с ними систему пузырьков. На наружной, вогнутой стороне стопки из пузырьков (отпочковывающихся, по-видимому, от гладкой эндоплазматической сети) постоянно образуются новые цистерны, на внутренней стороне цистерны превращаются обратно в пузырьки. Основной функцией аппарата Гольджи является транспорт веществ в цитоплазму и внеклеточную среду, а также синтез жиров и углеводов, в частности, гликопротеина муцина, образующего слизь, а также воска, камеди и растительного клея. Аппарат Гольджи участвует в росте и обновлении плазматической мембраны и в формировании лизосом.
VI. Аппарат Гольджи.Аппарат Гольджи представляет собой стопку мембранных мешочков (цистерн) и связанную с ними систему пузырьков. На

Слайд 27Аппарат Гольджи.

Аппарат Гольджи.

Слайд 28VII. Лизосомы.
Лизосомы представляют собой мембранные мешочки, наполненные пищеварительными ферментами. Особенно много

лизосом в животных клетках, здесь их размер составляет десятые доли микрометра. Лизосомы расщепляют питательные вещества, переваривают попавшие в клетку бактерии, выделяют ферменты, удаляют путём переваривания ненужные части клеток. Лизосомы также являются «средствами самоубийства» клетки: в некоторых случаях (например, при отмирании хвоста у головастика) содержимое лизосом выбрасывается в клетку, и она погибает.
VII. Лизосомы.Лизосомы представляют собой мембранные мешочки, наполненные пищеварительными ферментами. Особенно много лизосом в животных клетках, здесь их

Слайд 29Лизосомы.

Лизосомы.

Слайд 30Фагоцитоз.

Фагоцитоз.

Слайд 31VIII. Центриоли.
В клетках животных и низших растений встречаются центриоли – мелкие

полые цилиндры длиной в десятые доли микрометра, построенные из 27 микротрубочек. Во время деления клетки они образуют веретено, вдоль которого выстраиваются хромосомы. Центриолям по структурам идентичны базальные тельца, содержащиеся в жгутиках и ресничках. Эти органеллы вызывают биение жгутиков. Другая функция микротрубочек – транспорт питательных веществ. Микротрубочки представляют собой достаточно жёсткие структуры и поддерживают форму клетки, образуя своеобразный цитоскелет. С опорой и движением связана и ещё одна форма органелл – микрофиламенты – тонкие белковые нити диаметром 5–7 нм.
VIII. Центриоли.В клетках животных и низших растений встречаются центриоли – мелкие полые цилиндры длиной в десятые доли

Слайд 32Центриоли

Центриоли

Слайд 33 3) Клеточное ядро

3) Клеточное ядро

Слайд 34Ядро имеется в клетках всех эукариот за исключением эритроцитов млекопитающих. У

некоторых простейших имеются два ядра, но как правило, клетка содержит только одно ядро. Ядро обычно принимает форму шара или яйца; по размерам (10–20 мкм) оно является самой крупной из органелл.
Ядро имеется в клетках всех эукариот за исключением эритроцитов млекопитающих. У некоторых простейших имеются два ядра, но

Слайд 35Строение ядра
ядерной оболочкой, которая состоит из двух мембран: наружной и внутренней,

имеющих такое же строение, как и плазматическая мембрана. Между ними находится узкое пространство, заполненное полужидким веществом
кариоплазма (ядерный сок), в которую поступают вещества из цитоплазмы. Кариоплазма содержит хроматин – вещество, несущее ДНК, и ядрышки.
Ядрышко – это округлая структура внутри ядра, в которой происходит формирование рибосом.

Строение ядраядерной оболочкой, которая состоит из двух мембран: наружной и внутренней, имеющих такое же строение, как и

Слайд 36Ядро клетки.

Ядро клетки.

Слайд 37 4) Деление клетки.

4) Деление клетки.

Слайд 38Деление клеток:
Митоз;
Мейоз.

Деление клеток:Митоз;Мейоз.

Слайд 39Митоз.
Интерфаза состоит из трех этапов. В течение 4–8 часов после рождения клетка

увеличивает свою массу. Некоторые клетки (например, нервные клетки мозга) навсегда остаются в этой стадии, у других же в течение 6–9 часов удваивается хромосомная ДНК. Когда масса клетки увеличивается в два раза, начинается митоз.
Митоз.Интерфаза состоит из трех этапов. В течение 4–8 часов после рождения клетка увеличивает свою массу. Некоторые клетки (например,

Слайд 40Цикл деления митоза

Цикл деления митоза

Слайд 41Митоз:

Митоз:

Слайд 42Стадии деления митоза.
Следующая после профазы стадия называется метафазой. Хромосомы, влекомые нитями

веретена, выстраиваются в экваториальной плоскости клетки. Центромеры, скреплявшие хромосомы, делятся, после чего дочерние хромосомы полностью разъединяются
В стадии анафазы хромосомы перемещаются к полюсам клетки. Когда хромосомы достигают полюсов, начинается телофаза. Клетка делится надвое в экваториальной плоскости, нити веретена разрушаются, вокруг хромосом формируются ядерные мембраны. Каждая дочерняя клетка получает собственный набор хромосом и возвращается в стадию интерфазы. Весь процесс занимает около часа.

Стадии деления митоза.Следующая после профазы стадия называется метафазой. Хромосомы, влекомые нитями веретена, выстраиваются в экваториальной плоскости клетки.

Слайд 43Деление бактериальной клетки.

Деление бактериальной клетки.

Слайд 44Митоз

Митоз

Слайд 45Цитокинез на завершающей стадии в животной клетке.

Цитокинез на завершающей стадии в животной клетке.

Слайд 46Мейоз
Мейоз, в отличие от митоза, является важным элементом полового размножения. При

мейозе образуются клетки, содержащие лишь один набор хромосом, что делает возможным последующее слияние половых клеток (гамет) двух родителей. По сути, мейоз является разновидностью митоза. Он включает два последовательных деления клетки, однако хромосомы удваиваются только в первом из этих делений. Биологическая сущность мейоза заключается в уменьшении числа хромосом в два раза и образовании гаплоидных гамет (то есть гамет, имеющих по одному набору хромосом).
МейозМейоз, в отличие от митоза, является важным элементом полового размножения. При мейозе образуются клетки, содержащие лишь один

Слайд 47В результате мейотического деления у животных образуются четыре гаметы. Мужские и

женские гаметы сливаются, образуя зиготу. Хромосомные наборы при этом объединяются (этот процесс называется сингамией), в результате чего в зиготе восстанавливается удвоенный набор хромосом – по одному от каждого из родителей. Случайное расхождение хромосом и обмен генетическим материалом между гомологичными хромосомами приводят к возникновению новых комбинаций генов, повышая генетическое разнообразие. Образовавшаяся зигота развивается в самостоятельный организм.
В результате мейотического деления у животных образуются четыре гаметы.  Мужские и женские гаметы сливаются, образуя зиготу.

Слайд 48Домашнее задание:
Выучить лекцию!

Домашнее задание:Выучить лекцию!

Что такое shareslide.ru?

Это сайт презентаций, где можно хранить и обмениваться своими презентациями, докладами, проектами, шаблонами в формате PowerPoint с другими пользователями. Мы помогаем школьникам, студентам, учителям, преподавателям хранить и обмениваться учебными материалами.


Для правообладателей

Яндекс.Метрика

Обратная связь

Email: Нажмите что бы посмотреть